跳转至内容
Merck
CN

MABC942

Anti-PLA2R1 Antibody

mouse monoclonal, 5F5.1

别名:

PLA2-R, PLA2R, Secretory phospholipase A2 receptor, 180 kDa secretory phospholipase A2 receptor, C-type lectin domain family 13 member C, M-type receptor

登录 查看组织和合同定价。

选择尺寸

变更视图

关于此项目

UNSPSC Code:
12352203
eCl@ss:
32160702
NACRES:
NA.41
Clone:
5F5.1, monoclonal
Species reactivity:
human
Application:
IHC, WB
Citations:
-
技术服务
需要帮助?我们经验丰富的科学家团队随时乐意为您服务。
让我们为您提供帮助


产品名称

抗-PLA2R抗体,克隆5F5.1, clone 5F5.1, from mouse

biological source

mouse

Quality Level

antibody form

purified immunoglobulin

antibody product type

primary antibodies

clone

5F5.1, monoclonal

species reactivity

human

technique(s)

immunohistochemistry: suitable, western blot: suitable

isotype

IgG1κ

NCBI accession no.

UniProt accession no.

shipped in

wet ice

target post-translational modification

unmodified

Gene Information

human ... PLA2R1(22925)

General description

分泌型磷脂酶A2受体(UniProt Q13018;也称为180kDa分泌型磷脂酶A2受体、C型凝集素结构域家族13成员C、M型受体、磷脂酶A2受体1)由人的PLA2R1(也称为CLEC13C、PLA2G1R、PLA2R、PLA2IR)基因(基因ID 22925)编码。PLA2R产生时带有一个信号肽序列(a.a.1-20),其裂解产生由一个短的细胞质尾组成的成熟I型跨膜受体(a.a.1419-1463),一个跨膜段(aa1419-1463),以及一个由N末端富含半胱氨酸的区域、一个纤连蛋白样II型结构域和八个碳水化合物识别结构域(CRD)的串联重复组成的大的细胞外部分。IB组和X分泌型磷脂酶A2(sPLA2)酶均被鉴定为配体orf PLA2R,而与IB组和X sPLA2相比,IIA组sPLA2结合PLA2R的亲和力低约10倍。据报道,在小鼠中,PLA2R的细胞外部分在血液中被切割成可溶形式(sPLA2R),在其中它起循环sPLA2抑制蛋白(PLI)的作用,阻断sPLA2的受体结合和酶促活性。
观测分子量〜180 kDa。由于翻译后糖基化,目标条带似乎大于计算的分子量(166.6 kDa/亚型1和150.8 kDa/亚型2)。某些裂解物中可能会出现未表征的条带。

Immunogen

GST标记的重组蛋白,对应于人PLA2R的细胞外C型凝集素结构域3-5。
表位:细胞外C型凝集素结构域3-5

Application

蛋白质印迹分析:0.5 µg/mL的代表性批次在10 µg人肾组织裂解物中检测到PLA2R。
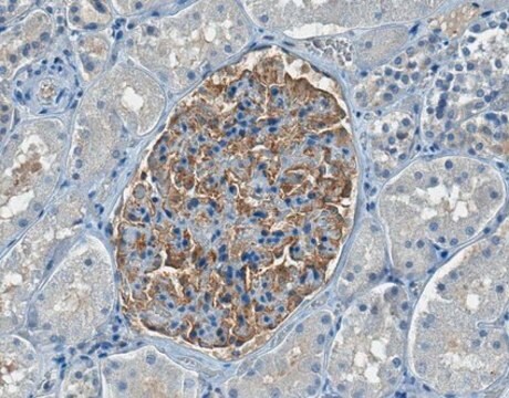
免疫组织化学分析:一个代表性批次以1:250稀释度在人肾组织中检测到PLA2R。
该抗PLA2R抗体(克隆5F5.1)经验证可用于蛋白质印迹和免疫组织化学检测PLA2R。

Biochem/physiol Actions

预期与两种剪接的亚型以及源自金属蛋白酶介导的膜结合受体裂解的可溶性受体(sPLA2R)反应。

Physical form

形式:纯化

Analysis Note

通过蛋白质印迹法在人肺组织裂解物中进行评价。

蛋白质印迹分析:0.5 µg/mL的该抗体在10 µg人肺组织裂解物中检测到PLA2R。

Other Notes

浓度:请参考特定批次的数据表。


Still not finding the right product?

Explore all of our products under 抗-PLA2R抗体,克隆5F5.1

或者

试用我们的 产品选型工具 工具缩小选择范围


存储类别

12 - Non Combustible Liquids

wgk

WGK 1

flash_point_f

Not applicable

flash_point_c

Not applicable



分析证书(COA)

输入产品批号来搜索 分析证书(COA) 。批号可以在产品标签上"批“ (Lot或Batch)字后找到。

已有该产品?

在文件库中查找您最近购买产品的文档。

访问文档库


相关内容

"Mods – modifications – small alterations can have a big impact on form and function. In the motorsports world, stock vehicles are modified to enhance their performance. Modifications, or mods, to the engine, drive train, intake and exhaust components add up to provide phenomenal performance gains that can be measured as horsepower and torque increases, which yield a competitive advantage, and result in reduced run times. In biology, proteins undergo modifications that alter their function. Some proteins require the modifications in order to perform their function effectively, whether it’s a pro-protein that is cleaved to produce an active enzyme, or a protein that is phosphorylated to facilitate a signaling process. Other proteins, such as histones, undergo modifications that regulate gene expression and alter cellular function. There are several post translational modifications such as acetylation, methylation, phosphorylation, and ubiquitination that impact protein function and activity. As a result, the analysis of proteins and their post-translational modifications are particularly important for the study of normal and disease-associated processes. New antibodies to detect phospho Histidines are now available from EMD Millipore."





全球贸易项目编号

货号GTIN
MABC94204055977296426