跳转至内容
Merck
CN

MABD634

Anti-Retinal Dehydrogenase 1/ALDH1A1 Antibody, clone 16B4.2

clone 16B4.2, from mouse

别名:

Retinal dehydrogenase 1, EC: 1.2.1.36, RALDH 1, RalDH1, ALDH-E1, ALHDII, Aldehyde dehydrogenase family 1 member A1, Aldehyde dehydrogenase, cytosolic

登录 查看组织和合同定价。

选择尺寸

变更视图

关于此项目

UNSPSC Code:
12352203
NACRES:
NA.41
eCl@ss:
32160702
Conjugate:
unconjugated
Clone:
16B4.2, monoclonal
Application:
IHC, WB
Citations:
-
技术服务
需要帮助?我们经验丰富的科学家团队随时乐意为您服务。
让我们为您提供帮助


biological source

mouse

conjugate

unconjugated

antibody form

purified immunoglobulin

antibody product type

primary antibodies

clone

16B4.2, monoclonal

species reactivity

human, rat

packaging

antibody small pack of 25 μg

technique(s)

immunohistochemistry: suitable (paraffin), western blot: suitable

isotype

IgG2bκ

NCBI accession no.

UniProt accession no.

target post-translational modification

unmodified

Gene Information

human ... ALDH1A1(216)

General description

Retinal dehydrogenase 1 (UniProt: P00352; also known as EC: 1.2.1.36, RALDH 1, RalDH1, ALDH-E1, ALHDII, Aldehyde dehydrogenase family 1 member A1, Aldehyde dehydrogenase, cytosolic) is encoded by the ALDH1A (also known as ALDC, ALDH1, PUMB1) gene (Gene ID: 216) in human. Retinal dehydrogenase 1 is a ubiquitously distributed cytosolic enzyme that serves as a detoxification enzyme and also generates retinoic acid. It catalyzes the oxidation of retinal to retinoic acid that is essential for differentiation, development, and survival of dopaminergic neurons. It can also play a role in cellular defense against oxidative stress by oxidizing 4-hydroxynonenal (4-HNE) produced during lipid peroxidation. It is also involved in several other biological processes, such as stem cell maintenance, UV-radiation resistance, melanogenesis, and spermatogenesis, by catalyzing the conversion of specific aldehydes to their corresponding carboxylic acids. Retinal dehydrogenase 1 contains multiple NAD binding sites. (Ref.: Paval, D., et al. (2017). Clin. Psychopharmacol. Neurosci. 5(3); 229-236).
~55 kDa observed; 54.86 kDa calculated. Uncharacterized bands may be observed in some lysate(s).

Immunogen

KLH-conjugated linear peptide corresponding to 18 amino acids from the C-terminal region of human retinal dehydrogenase 1.

Application

Anti-Retinal Dehydrogenase 1/ALDH1A1, clone 16B4.2, Cat. No. MABD634, is a mouse monoclonal antibody that detects Retinal Dehydrogenase 1 and has been tested for use in Immunohistochemistry (Paraffin) and Western Blotting.
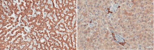
Immunohistochemistry (Paraffin) Analysis: A 1:50 dilution from a representative lot detected Retinal Dehydrogenase 1/ALDH1A1 in human liver and rat liver tissue sections.
Research Category
Neuroscience

Biochem/physiol Actions

Clone 16B4.2 detects Retinal dehydrogenase 1/ALDH1A1. it targets an epitope with in 18 ammo acids from the C-terminal region.

Physical form

Format: Purified
Protein G purified
Purified mouse monoclonal antibody IgG2b in buffer containing 0.1 M Tris-Glycine (pH 7.4), 150 mM NaCl with 0.05% sodium azide.

Preparation Note

Stable for 1 year at 2-8°C from date of receipt.

Analysis Note

Evaluated by Western Blotting in human liver tissue lysate.

Western Blotting Analysis: 0.5 µg/mL of this antibody detected Retinal Dehydrogenase 1/ALDH1A1 in human liver tissue lysate.

Other Notes

Concentration: Please refer to lot specific datasheet.

Disclaimer

Unless otherwise stated in our catalog or other company documentation accompanying the product(s), our products are intended for research use only and are not to be used for any other purpose, which includes but is not limited to, unauthorized commercial uses, in vitro diagnostic uses, ex vivo or in vivo therapeutic uses or any type of consumption or application to humans or animals.


Still not finding the right product?

试用我们的 产品选型工具 工具缩小选择范围


存储类别

12 - Non Combustible Liquids

wgk

WGK 1

flash_point_f

Not applicable

flash_point_c

Not applicable

法规信息

新产品

此项目有



分析证书(COA)

输入产品批号来搜索 分析证书(COA) 。批号可以在产品标签上"批“ (Lot或Batch)字后找到。

已有该产品?

在文件库中查找您最近购买产品的文档。

访问文档库



全球贸易项目编号

货号GTIN
MABD634-100UG04054839551079
MABD634-25UG04054839551086