跳转至内容
Merck
CN

MABE1790

Anti-ADAR1 Antibody, clone RD4B11

clone RD4B11, from rat

别名:

Double-stranded RNA-specific adenosine deaminase, EC: 3.5.4.37, DRADA, RNA adenosine deaminase 1

登录 查看组织和合同定价。

选择尺寸

变更视图

关于此项目

UNSPSC Code:
12352203
NACRES:
NA.43
eCl@ss:
32160702
Conjugate:
unconjugated
Clone:
RD4B11, monoclonal
Application:
WB
Citations:
-
技术服务
需要帮助?我们经验丰富的科学家团队随时乐意为您服务。
让我们为您提供帮助


biological source

rat

conjugate

unconjugated

antibody form

purified immunoglobulin

antibody product type

primary antibodies

clone

RD4B11, monoclonal

species reactivity

mouse, human

packaging

antibody small pack of 25 μg

technique(s)

western blot: suitable

isotype

IgG2aκ

NCBI accession no.

UniProt accession no.

target post-translational modification

unmodified

Gene Information

mouse ... Adar(56417)

General description

Double-stranded RNA-specific adenosine deaminase (UniProt: Q99MU3; also known as EC: 3.5.4.37, DRADA, RNA adenosine deaminase 1) is encoded by the Adar gene (Gene ID: 56417) in murine species. ADAR catalyzes the editing of adenosine-to-inosine (A to I) by deaminating genomically encoded A-to-I in double stranded RNA (DsRNA). A-to-I editing predominantly occurs in noncoding, repetitive elements and short interspersed nuclear elements (SINEs). A-to-I editing affects gene expression and function in several ways, including mRNA translation by changing codons and hence the amino acid sequence of proteins. It also affects pre-mRNA splicing by altering splice site recognition sequences; RNA stability by changing sequences involved in nuclease recognition; and genetic stability in the case of RNA virus genomes by changing sequences during viral RNA replication. In mammals three different ADAR proteins have been described: ADAR1, -2, and -3. ADAR1 is shown to be expressed during embryonic and postnatal development and is present predominantly in the nucleus. Highest levels of ADAR1 are reported in brain and spleen and lowest levels are observed in liver. Five different isoforms of ADAR1 have been reported that are produced by alternative splicing. Isoforms 1 and 2 (long forms) are predominantly found in cytoplasm and shuttle between the cytoplasm and nucleus. Isoforms 3 and 4 (short forms starting at Met-519) are exclusively found in the nucleolus. Under normal conditions long forms are dominant, however, under conditions of inflammation short forms are selectively induced. (Ref.: Liddicoat, BJ et al., (2015). Science 349 (6252); 1115-1120).
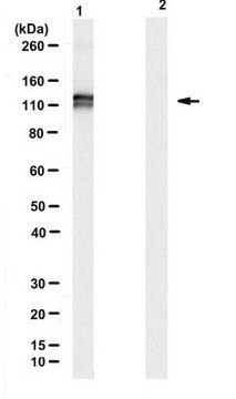
~110 kDa observed; 130.45 kDa calculated. Uncharacterized bands may be observed in some lysate(s).

Immunogen

His-tagged recombinant fragment corresponding to 401 amino acids from the internal region of murine Double-stranded RNA-specific adenosine deaminase (ADAR1). Immunogen sequnece is conserved isoforms 1 and 2.

Application

Anti-ADAR1, clone RD4B11, Cat. No. MABE1790, is a highly specific rat monoclonal antibody that targets ADAR1 and has been tested for use in Western Blotting.
Western Blotting Analysis: A representative lot detected ADAR1 in Western Blotting applications (Liddicoat, B.J., et. al. (2015). Science. 349(6252):1115-20).

Biochem/physiol Actions

Clone RD4B11 is a rat monoclonal antibody that detects Double-stranded RNA-specific adenosine deaminase in human and murine cells.

Physical form

Format: Purified

Analysis Note

Evaluated by Western Blotting in Kusa4b10 mouse cell line overexpressing mouse ADAR1 p110.

Western Blotting Analysis: 4 µg/mL of this antibody detected ADAR1 in Kusa4b10 mouse cell line overexpressing mouse ADAR1 p110.

Other Notes

Concentration: Please refer to lot specific datasheet.


Still not finding the right product?

试用我们的 产品选型工具 工具缩小选择范围


法规信息

新产品

此项目有



分析证书(COA)

输入产品批号来搜索 分析证书(COA) 。批号可以在产品标签上"批“ (Lot或Batch)字后找到。

已有该产品?

在文件库中查找您最近购买产品的文档。

访问文档库



全球贸易项目编号

货号GTIN
MABE1790-100UG04054839499579
MABE1790-25UG04054839499586