biological source
mouse
Quality Level
conjugate
unconjugated
antibody form
purified antibody
antibody product type
primary antibodies
clone
9F2.2.4, monoclonal
mol wt
calculated mol wt 20.01 kDa, observed mol wt ~17 kDa
purified by
using protein G
species reactivity
human
packaging
antibody small pack of 100 μg
technique(s)
immunofluorescence: suitable, immunohistochemistry (formalin-fixed, paraffin-embedded sections): suitable, western blot: suitable
isotype
IgG1κ
epitope sequence
Unknown
Protein ID accession no.
UniProt accession no.
shipped in
ambient
target post-translational modification
unmodified
Gene Information
human ... IL22(50616)
General description
Interleukin-22 (UniProt: Q9GZX6; also known as IL-22, Cytokine Zcyto18, IL-10-related T-cell-derived-inducible factor, IL-TIF) is encoded by the IL22 (also known as ILTIF, ZCYTO18, UNQ3099/PRO10096) gene (Gene ID: 50616) in human. IL-22 is an -helical cytokine that contributes to the inflammatory response in vivo. It is a secretory protein that is synthesized with a signal peptide (aa 1-33), which is subsequently cleaved off to produce the mature protein. It is immediately produced to initiate immune response against several tissue impairments. It is considered as a fundamental mediator in inflammation, mucous production, protective role against pathogens, wound healing, and tissue regeneration. It is produced by several populations of immune cells, including macrophages, β T cells classes Th1, Th22, and Th17 cells at the site of inflammation. It is shown to up-regulate a number of mucus associated genes, such as MUC1, MUC3, MUC10, and MUC13 in colonic and tracheal epithelial cells. Along with IL-17A, it also produces pulmonary mucus as a control against Gram negative pathogens. Its biological activity is initiated by binding to a cell-surface complex composed of IL-22R1 and IL-10R2 receptor chains and further regulated by interactions with a soluble binding protein (IL-22BP). IL-22 is shown to have a very high affinity for binding to IL-22BP, which acts as a natural antagonist of IL-22. IL-22BP binding occurs at specific sites on IL-22 that are also utilized by IL-22R1. (Ref.: Arshad, T., et al. (2020). Front. Immunol. 11; 2148).
Immunogen
A full-length mature human IL-22 (without the signal peptide).
Application
Quality Control Testing
Evaluated by Western Blotting with recombinant human IL-22.
Western Blotting Analysis: A 1:1,000 dilution of this antibody detected recombinant human IL-22.
Tested Applications
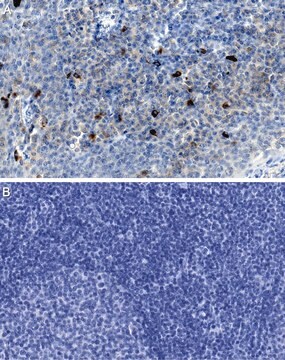
Immunohistochemistry (Paraffin) Analysis: A 1:50 dilution from a representative lot detected IL-22 in human tonsil tissue sections.
Note: Actual optimal working dilutions must be determined by end user as specimens, and experimental conditions may vary with the end user
Evaluated by Western Blotting with recombinant human IL-22.
Western Blotting Analysis: A 1:1,000 dilution of this antibody detected recombinant human IL-22.
Tested Applications
Immunohistochemistry (Paraffin) Analysis: A 1:50 dilution from a representative lot detected IL-22 in human tonsil tissue sections.
Note: Actual optimal working dilutions must be determined by end user as specimens, and experimental conditions may vary with the end user
Anti-IL-22, clone 9F2.2.4, Cat. No. MABF3178, is a mouse monoclonal antibody that detects human IL-22 and is tested for use in Immunohistochemistry (Paraffin) and Western Blotting.
Biochem/physiol Actions
Clone 9F2.2.4 is a mouse monoclonal antibody that detects human IL-22.
Physical form
Purified mouse monoclonal antibody IgG1 in PBS with 0.05% sodium azide.
Preparation Note
Recommend storage at +2°C to +8°C. For long term storage antibodies can be kept at -20°C. Avoid repeated freeze-thaws.
Other Notes
Concentration: Please refer to the Certificate of Analysis for the lot-specific concentration.
Disclaimer
Unless otherwise stated in our catalog or other company documentation accompanying the product(s), our products are intended for research use only and are not to be used for any other purpose, which includes but is not limited to, unauthorized commercial uses, in vitro diagnostic uses, ex vivo or in vivo therapeutic uses or any type of consumption or application to humans or animals.
Still not finding the right product?
试用我们的 产品选型工具 工具缩小选择范围
存储类别
12 - Non Combustible Liquids
wgk
WGK 2
flash_point_f
Not applicable
flash_point_c
Not applicable
法规信息
新产品
此项目有
全球贸易项目编号
| 货号 | GTIN |
|---|---|
| MABF3178-100UG | 04065267403946 |
| MABF3178-25UG | 04065267403953 |