biological source
mouse
Quality Level
conjugate
unconjugated
antibody form
purified immunoglobulin
antibody product type
primary antibodies
clone
4F5, monoclonal
species reactivity
human
technique(s)
flow cytometry: suitable, immunocytochemistry: suitable, immunohistochemistry: suitable (paraffin), immunoprecipitation (IP): suitable, western blot: suitable
isotype
IgG1κ
NCBI accession no.
UniProt accession no.
shipped in
dry ice
target post-translational modification
unmodified
Gene Information
human ... FCGR2B(2213)
General description
FcγRI/CD64、FcγRII/CD32、FcγRIII/CD16 和 FcγRIV/CD16-2 代表 IgG Fc 受体(FcγR)的四种已知的类型。FcγRII、FcγRIII 和 FcγRIV 是单体 IgG 的低亲和力受体,而 FcγRI 是唯一的高亲和力 FcγR。FcγR 在炎症细胞活化、清除,Ag 呈递和维持 IgG 动态平衡方面起着重要作用。研究表明,除了结合免疫复合物(IC),FcγR 还结合非 IgG 配体。例如, FcγRII 可结合 oxLDL,而据报道,与大肠杆菌成分结合的 FcγRIII 负向调控具有胶原结构(MARCO)的巨噬细胞受体的功能。还报道了 FcγRII 激活转导针对 CD38 交联诱导的静息成熟 B 细胞增殖的负调控信号。低亲和力免疫球蛋白 γ Fc 区受体 II-a/b/c(IgG Fc 受体 II-a/-b/c,CDw32,Fc-γ RII-a/-b/-c,Fc-γ-RIIa/ b/c,FcRII-a/-b/-c,CD32)由人中的 FCGR2A/B/C(CD32、FCG2、IGFR2)基因编码(UniProt P12318、P31994、P31995;基因 ID 2212、2213、9103)。FcγRII 由这三个在其胞外部分高度保守、在跨膜和胞内区域具有显着差异的基因编码。所有这三种类型的转录本都可以通过可变剪接生成其他同工型。
计算得出的分子量:29.49 kDa(FcγRIIB1),27.39 kDa(FcγRIIB2),29.22 kDa(FcγRIIB3),31.03 kDa(FcγRIIC1),25.69 kDa(FcγRIIC2),24.82 kDa(FcγRIIC3),21.35 kDa(FcγRIIC4)。
Immunogen
表位:胞外域。
重组人 FcγRIIb 胞外域。
Application
免疫组化分析:一个代表性批次以 1:50 的稀释度在人扁桃体组织切片生发中心细胞中检测到 FcγRIIb/c 免疫反应性。
流式细胞术分析:10 µg/mL 的一个代表性批次与 Alexa Fluor™ 647 偶联,在人全血 CD19 + B 淋巴细胞群中检测到 FcγRIIb/c 免疫反应性(由美国阿拉巴马大学,Jeffrey C. Edberg 博士提供)。
流式细胞术分析:一个代表性批次与 Alexa Fluor 488 偶联,在来自各种供体的 EBV 转化的人 B 细胞表面检测到 FcγRIIb/c 免疫反应性(Li, X., et al. (2013).Sci. Transl.Med. 5(216):216ra175)。
流式细胞术分析:一个代表性批次与 Alexa Fluor 488 偶联,用于检测多种人 PBMC 群体上的 FcγRIIb 表达。在 CD19 + B 淋巴细胞上发现 FcγRIIb 表达水平最高,而在 CD14 + 单核细胞/中性粒细胞中发现表达水平较低,而对 CD3 + T 细胞进行 FcγRIIb 染色呈阴性(Su, K., et al. (2007).J. Immunol. 178(5):3272-3280)。
流式细胞术分析:克隆 4F5 杂交瘤上清液免疫染色的外源转染的人 FcγRIIa 的鼠类 B 淋巴瘤 IIA1.6 细胞,但无法免疫染色人 FcγRIIa 的两种多态形式(Arg131 或 His131)中的任何一种(Su,K.,et al。(2007)。J. Immunol. 178(5):3272-3280)。
免疫沉淀分析:一个代表性批次从 EBV 转化的人 B 细胞和原代人 CD19+ 细胞中免疫沉淀 FcγRIIb 和 FcγRIIc(Li, X., et al. (2013).Sci. Transl.Med. 5(216):216ra175)。
免疫沉淀分析:一个代表性批次在转染表达各自人蛋白的鼠 B 淋巴瘤 IIA1.6 中免疫沉淀外源表达的人 FcγRIIb,但无法免疫沉淀 FcγRIIa 的两种多态形式(Arg131 或 His131)(Su, K., et al. (2007).J. Immunol. 178(5):3272-3280)。
蛋白质印迹分析:一个有代表性批次在鼠 B 淋巴瘤 IIA1.6 转染子的裂解物中检测到外源表达的人 FcγRIIb,但没有检测到人 FcγRIIa 多态形式(Arg131 或 His131)的中的任何一种(Su, K., et al. (2007).J. Immunol. 178(5):3272-3280)。
免疫细胞化学分析:一个代表性批次与 Alexa Fluor 488 偶联,在来自各种供体的 EBV 转化的人 B 细胞表面检测到 FcγRIIb/c 免疫反应性(Li, X., et al. (2013).Sci. Transl.Med. 5(216):216ra175)。
功能分析:与在没有克隆 4F5 F(ab′)2 的情况下由 GαM 触发的信号相比,在表达转染的人 FcγRIIb 的 IIA1.6 鼠 B 淋巴瘤细胞中,克隆 4F5 F(ab′)2 结合的人 FcγRIIb 和内源性表面 IgG-BCR 的克隆通过山羊抗小鼠IgG(GαM)交联会导致钙反应降低在 U937 细胞表面,FcγRIa 与克隆 4F5 F(ab′)2 结合的人 FcγRIIb 的交联,同样降低了钙反应(与 FcγRIa 交联单独触发的钙反应相比)(Su, K., et al. (2007).J. Immunol. 178(5):3272-3280)。
ELISA分析:克隆 4F5 杂交瘤上清液检测到人 FcγRIIb 的重组胞外域(EC),但检测不到两种重组人 FcγRIIa EC 的多态形式(Arg131 或 His131)(Su, K., et al. (2007).J. Immunol. 178(5):3272-3280)。
流式细胞术分析:10 µg/mL 的一个代表性批次与 Alexa Fluor™ 647 偶联,在人全血 CD19 + B 淋巴细胞群中检测到 FcγRIIb/c 免疫反应性(由美国阿拉巴马大学,Jeffrey C. Edberg 博士提供)。
流式细胞术分析:一个代表性批次与 Alexa Fluor 488 偶联,在来自各种供体的 EBV 转化的人 B 细胞表面检测到 FcγRIIb/c 免疫反应性(Li, X., et al. (2013).Sci. Transl.Med. 5(216):216ra175)。
流式细胞术分析:一个代表性批次与 Alexa Fluor 488 偶联,用于检测多种人 PBMC 群体上的 FcγRIIb 表达。在 CD19 + B 淋巴细胞上发现 FcγRIIb 表达水平最高,而在 CD14 + 单核细胞/中性粒细胞中发现表达水平较低,而对 CD3 + T 细胞进行 FcγRIIb 染色呈阴性(Su, K., et al. (2007).J. Immunol. 178(5):3272-3280)。
流式细胞术分析:克隆 4F5 杂交瘤上清液免疫染色的外源转染的人 FcγRIIa 的鼠类 B 淋巴瘤 IIA1.6 细胞,但无法免疫染色人 FcγRIIa 的两种多态形式(Arg131 或 His131)中的任何一种(Su,K.,et al。(2007)。J. Immunol. 178(5):3272-3280)。
免疫沉淀分析:一个代表性批次从 EBV 转化的人 B 细胞和原代人 CD19+ 细胞中免疫沉淀 FcγRIIb 和 FcγRIIc(Li, X., et al. (2013).Sci. Transl.Med. 5(216):216ra175)。
免疫沉淀分析:一个代表性批次在转染表达各自人蛋白的鼠 B 淋巴瘤 IIA1.6 中免疫沉淀外源表达的人 FcγRIIb,但无法免疫沉淀 FcγRIIa 的两种多态形式(Arg131 或 His131)(Su, K., et al. (2007).J. Immunol. 178(5):3272-3280)。
蛋白质印迹分析:一个有代表性批次在鼠 B 淋巴瘤 IIA1.6 转染子的裂解物中检测到外源表达的人 FcγRIIb,但没有检测到人 FcγRIIa 多态形式(Arg131 或 His131)的中的任何一种(Su, K., et al. (2007).J. Immunol. 178(5):3272-3280)。
免疫细胞化学分析:一个代表性批次与 Alexa Fluor 488 偶联,在来自各种供体的 EBV 转化的人 B 细胞表面检测到 FcγRIIb/c 免疫反应性(Li, X., et al. (2013).Sci. Transl.Med. 5(216):216ra175)。
功能分析:与在没有克隆 4F5 F(ab′)2 的情况下由 GαM 触发的信号相比,在表达转染的人 FcγRIIb 的 IIA1.6 鼠 B 淋巴瘤细胞中,克隆 4F5 F(ab′)2 结合的人 FcγRIIb 和内源性表面 IgG-BCR 的克隆通过山羊抗小鼠IgG(GαM)交联会导致钙反应降低在 U937 细胞表面,FcγRIa 与克隆 4F5 F(ab′)2 结合的人 FcγRIIb 的交联,同样降低了钙反应(与 FcγRIa 交联单独触发的钙反应相比)(Su, K., et al. (2007).J. Immunol. 178(5):3272-3280)。
ELISA分析:克隆 4F5 杂交瘤上清液检测到人 FcγRIIb 的重组胞外域(EC),但检测不到两种重组人 FcγRIIa EC 的多态形式(Arg131 或 His131)(Su, K., et al. (2007).J. Immunol. 178(5):3272-3280)。
抗 FcγRIIb/c 抗体,克隆 4F5 是抗 FcγRIIb/c 的抗体,用于免疫组化(石蜡)、流式细胞术、免疫沉淀、蛋白质印迹、免疫细胞化学。
研究子类别
免疫球蛋白 & 免疫学
免疫球蛋白 & 免疫学
研究类别
炎症&免疫学
炎症&免疫学
Biochem/physiol Actions
克隆 4F5 识别人 FcγRIIb 和 FcγRIIc,但不识别人 FcγRIIa 的两种多态形式(Arg131 或 His131)(Li, X., et al. (2013)。Sci. Transl.Med. 5(216):216ra175; Su, K., et al. (2007).J. Immunol. 178(5):3272-3280)。预计将结合 UniProt 报告的人 FCGR2B 和 FCGR2C(P31994 & P31995)的所有剪接同工型。
Physical form
不含防腐剂的 PBS 中的纯化的小鼠单克隆 IgG1κ 抗体。
形式:纯化的
蛋白 G 纯化
Preparation Note
自收到之日起,在 -20°C 条件下可稳定保存 1 年。
处理建议:收到后,在取下瓶盖之前,将小瓶离心并轻轻混合溶液。分装到微量离心管中,并储存于 -20°C。避免反复冻融循环,以免损坏 IgG 和影响产品性能。
处理建议:收到后,在取下瓶盖之前,将小瓶离心并轻轻混合溶液。分装到微量离心管中,并储存于 -20°C。避免反复冻融循环,以免损坏 IgG 和影响产品性能。
Analysis Note
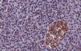
通过免疫组化对人体胰腺组织进行了评估。
免疫组化分析:将该抗体以 1:50 的稀释度在人胰腺组织切片的朗格汉斯胰岛中检测到 FcγRIIb/c 免疫反应性。
免疫组化分析:将该抗体以 1:50 的稀释度在人胰腺组织切片的朗格汉斯胰岛中检测到 FcγRIIb/c 免疫反应性。
Other Notes
浓度:请参考特定批次的数据表。
Legal Information
ALEXA FLUOR is a trademark of Life Technologies
Disclaimer
除非我们的产品目录或产品附带的其他公司文档另有说明,否则我们的产品仅供研究使用,不得用于任何其他目的,包括但不限于未经授权的商业用途、体外诊断用途、离体或体内治疗用途或任何类型的消费或应用于人类或动物。
Still not finding the right product?
试用我们的 产品选型工具 工具缩小选择范围
存储类别
12 - Non Combustible Liquids
wgk
WGK 2
flash_point_f
Not applicable
flash_point_c
Not applicable
法规信息
新产品
此项目有
全球贸易项目编号
| 货号 | GTIN |
|---|---|
| MABF842 | 04055977335293 |