跳转至内容
Merck
CN

MABN1190

Anti-DLG4 Antibody

mouse monoclonal, 1A8.1

别名:

Disks large homolog 4, Postsynaptic density protein 95, PSD-95, Synapse-associated protein 90, SAP-90, SAP90

登录 查看组织和合同定价。

选择尺寸

变更视图

关于此项目

UNSPSC Code:
12352203
eCl@ss:
32160702
NACRES:
NA.41
Clone:
1A8.1, monoclonal
Species reactivity:
rat, human
Application:
IHC, WB
Citations:
1
技术服务
需要帮助?我们经验丰富的科学家团队随时乐意为您服务。
让我们为您提供帮助


产品名称

抗-PSD95抗体,克隆1A8.1, clone 1A8.1, from mouse

biological source

mouse

Quality Level

antibody form

purified immunoglobulin

antibody product type

primary antibodies

clone

1A8.1, monoclonal

species reactivity

rat, human

technique(s)

immunohistochemistry: suitable, western blot: suitable

isotype

IgG1κ

NCBI accession no.

UniProt accession no.

target post-translational modification

unmodified

Gene Information

human ... DLG4(1742)

General description

Disks大同源物4(UniProt P78352;又称突触后密度蛋白95、PSD-95、SAP-90、SAP90、突触相关蛋白90)由人类DLG4(又称PSD95)基因(基因ID 1742)编码。PSD-95属于膜相关鸟苷酸激酶(MAGUK)家族,该家族还包括PSD-93、SAP97和SAP102。PSD95主要在海马CA1区和大脑前额皮质表达,它以体表树突模式定位于抑制性神经元的突触后膜和突触前轴突末端。PDS-95是兴奋性突触后密度(PSD)的主要支架蛋白,通过与多种PSD蛋白的相互作用,包括NMDA受体(NMDAR)、AMPA受体(AMPAR)复合物(通过Stargazin/TARP)、粘附分子以及其他支架蛋白(如GKAP和Shank),成为突触强度的有效调节剂。PSD95和神经元一氧化氮合酶(nNOS)相互作用在急性和慢性疼痛中维持超敏反应中起作用。此外,GluR6-PSD95-CaMKII复合物的组装被认为是通过促进CaMKII对GluR6丝氨酸的磷酸化和JNK的激活介导脑缺血损伤的主要信号传导模块。
观测值〜80 kDa。计算值80.50/80.47/80.47 kDa(人/小鼠/大鼠亚型1;PSD95-α)、85.43/85.42 kDa(人/小鼠亚型2;PSD95-β), 80.13/80.10 kDa(人/小鼠亚型3)。

Immunogen

KLH偶联的线性肽,对应于人PSD95的PDZ结构域2 & 3之间的区域。
表位:PDZ结构域2 & 3之间的区域。

Application

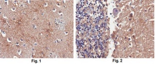
免疫组化分析:代表性批次的1:50稀释液在人大脑皮层、肾脏和扁桃体组织切片中检测到PSD95。
抗PSD95抗体,克隆1A8.1是抗PSD95的抗体,用于蛋白质印迹、免疫组织化学。
研究子类别
突触&突触生物学
研究类别
神经科学

Biochem/physiol Actions

克隆1A8.1表位序列存在于UniProt报道的人、小鼠和大鼠PSD95的所有剪接亚型(P78352、Q62108、P31016)中。

Physical form

形式:纯化
纯化的小鼠单克隆IgG1κ抗体,溶于含0.1 M Tris-甘氨酸(pH 7.4)、150 mM NaCl和0.05%叠氮化钠的缓冲液中。
纯化蛋白G。

Preparation Note

自收到之日起,在2-8°C条件下可稳定保存1年。

Analysis Note

通过蛋白质印迹对大鼠海马组织裂解液进行了评估。

蛋白质印迹分析:0.5 µg/mL的该抗体在10 µg大鼠海马体组织裂解物中检测到PSD95。

Other Notes

浓度:请参考特定批次的数据表。

Disclaimer

除非我们的产品目录或产品附带的其他公司文档另有说明,否则我们的产品仅供研究使用,不得用于任何其他目的,包括但不限于未经授权的商业用途、体外诊断用途、离体或体内治疗用途或任何类型的消费或应用于人类或动物。


Still not finding the right product?

Explore all of our products under 抗-PSD95抗体,克隆1A8.1

或者

试用我们的 产品选型工具 工具缩小选择范围


存储类别

12 - Non Combustible Liquids

wgk

WGK 1

flash_point_f

Not applicable

flash_point_c

Not applicable



分析证书(COA)

输入产品批号来搜索 分析证书(COA) 。批号可以在产品标签上"批“ (Lot或Batch)字后找到。

已有该产品?

在文件库中查找您最近购买产品的文档。

访问文档库



Angela O Dorigatti et al.
GeroScience, 43(1), 115-124 (2020-10-17)
The ability to generate in vitro cultures of neuronal cells has been instrumental in advancing our understanding of the nervous system. Rodent models have been the principal source of brain cells used in primary cultures for over a century, providing



全球贸易项目编号

货号GTIN
MABN119004055977350999