biological source
mouse
conjugate
unconjugated
antibody form
ascites fluid
antibody product type
primary antibodies
clone
3D3, monoclonal
species reactivity
human
technique(s)
flow cytometry: suitable, immunohistochemistry: suitable, western blot: suitable
isotype
IgG1
UniProt accession no.
shipped in
wet ice
target post-translational modification
unmodified
Gene Information
human ... HK2(3099)
General description
There are four hexokinases in most vertebrates, hexokinase I, II, III, and IV; HK2 is hexokinase-II (Hexokinase-2). Hexokinase-2 (HK2) or alternatively Hexokinase type II (HK II) or muscle form hexokinase is the predominant hexokinase enzyme expressed in insulin-responsive tissues like skeletal muscle and other tissues like brain. HK2 is also expressed at high levels in many cancers which is thought to aid in their survival. HK2 is responsible for the phosphorylation of hexoses such as glucose into glucose-6-phosphate; the initial step in carbohydrate metabolism. HK2 is typically associated with mitochondrial membranes. Over expression of HK2 is associated with resistance to cell death and often given the name of the “Warburg Effect” after the initial discover of the relationship between energy metabolism and cell death. While HK2 overexpression has been shown to be one of the mechanisms for the survival of cancers, it has also been shown to facilitate the survival of normal, non-cancerous tissues such as neurons and astrocytes in response to injury and stress. Thus because of its relationship to energy metabolism and its connection with cell death and survival, HK2 is being examined as a potential target for treatment of everything from brain tumors to aging. EMD-Millipore’s Anti-HK2 mouse monoclonal has been tested in western blot on Jurkat, HeLa, and HEK293 cell lysates and in paraffin embedded immunohistochemistry on esophagus and human lung cancer tissues and in flow cytometry on K562 cells in culture.
~102 kDa observed. Uncharacterized bands may appear in some lysate(s).
Immunogen
Purified recombinant fragment of human HK2 expressed in E. Coli.
Application
Detect Hexokinase II using this mouse monoclonal antibody, Anti-HK2 Antibody, clone 3D3 validated for use in western blotting, IHC & Flow Cytometry.
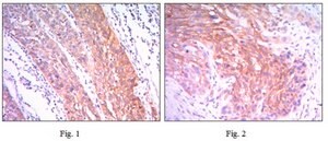
Immunohistochemistry Analysis: A 1:200-1,000 dilution from a representative lot detected HK2 in human esophagus cancer and lung cancer tissues.
Flow cytometry analysis: A 1:200-400 dilution from a representative lot detected HK2 in K562 cells.
Optimal working dilutions must be determined by end user.
Flow cytometry analysis: A 1:200-400 dilution from a representative lot detected HK2 in K562 cells.
Optimal working dilutions must be determined by end user.
Research Category
Neuroscience
Neuroscience
Research Sub Category
Signaling Neuroscience
Signaling Neuroscience
Physical form
Mouse monoclonal IgG1 ascitic fluid containing up to 0.1% sodium azide.
Unpurified
Preparation Note
Stable for 1 year at -20°C from date of receipt.
Handling Recommendations: Upon receipt and prior to removing the cap, centrifuge the vial and gently mix the solution. Aliquot into microcentrifuge tubes and store at -20°C. Avoid repeated freeze/thaw cycles, which may damage IgG and affect product performance.
Handling Recommendations: Upon receipt and prior to removing the cap, centrifuge the vial and gently mix the solution. Aliquot into microcentrifuge tubes and store at -20°C. Avoid repeated freeze/thaw cycles, which may damage IgG and affect product performance.
Analysis Note
Control
Jurkat, HeLa, and HEK293 cell lysates
Jurkat, HeLa, and HEK293 cell lysates
Evaluated by Western Blotting in Jurkat, HeLa, and HEK293 cell lysates.
Western Blotting Analysis: A 1:500-2,000 dilution of this antibody detected HK2 in Jurkat, HeLa, and HEK293 cell lysates.
Western Blotting Analysis: A 1:500-2,000 dilution of this antibody detected HK2 in Jurkat, HeLa, and HEK293 cell lysates.
Disclaimer
Unless otherwise stated in our catalog or other company documentation accompanying the product(s), our products are intended for research use only and are not to be used for any other purpose, which includes but is not limited to, unauthorized commercial uses, in vitro diagnostic uses, ex vivo or in vivo therapeutic uses or any type of consumption or application to humans or animals.
Still not finding the right product?
试用我们的 产品选型工具 工具缩小选择范围
存储类别
12 - Non Combustible Liquids
wgk
nwg
flash_point_f
Not applicable
flash_point_c
Not applicable
全球贸易项目编号
| 货号 | GTIN |
|---|---|
| MABN702 | 04053252918537 |