biological source
rat
conjugate
unconjugated
antibody form
purified immunoglobulin
antibody product type
primary antibodies
clone
8G5, monoclonal
species reactivity
mouse, human
packaging
antibody small pack of 25 μg
technique(s)
immunocytochemistry: suitable, immunofluorescence: suitable, immunohistochemistry: suitable (paraffin), immunoprecipitation (IP): suitable, western blot: suitable
isotype
IgG2aκ
NCBI accession no.
UniProt accession no.
target post-translational modification
unmodified
Gene Information
human ... YAP1(10413)
General description
54.46 kDa calculated.
Transcriptional coactivator YAP1 (UniProt: P46937; also known as Yes-associated protein 1, Protein yorkie homolog, Yes-associated protein YAP65 homolog) is encoded by the YAP1 (also known as YAP65) gene (Gene ID: 10413) in human. YAP1 is a transcriptional regulator that can act both as a coactivator and a corepressor and is the critical downstream regulatory target in the Hippo signaling pathway. It also plays a key role in tissue tension and 3D tissue shape by regulating cortical actomyosin network formation. YAP1 contains two WW domains (aa 171-204 and 230-263) and a transactivation domain (aa 291-504). It also has two coiled coil regions (aa 86-100 and 298-359) and the first coiled-coil region is reported to mediate most of the interaction with TEAD transcription factors. The presence of TEAD transcription factors is required for YAP1 to stimulate gene expression, cell growth, anchorage-independent growth, and epithelial mesenchymal transition (EMT) induction. YAP1 phosphorylation status and cell density can regulate its subcellular localization. Its phosphorylation by LATS1 and LATS2 leads to its cytoplasmic translocation and inactivation. YAP1 can also be phosphorylated by ABL1, which leads to its stabilization, increased interaction with TP73, and recruitment onto proapoptotic genes in response to DNA damage. Nine isoforms of YAP1 have been described that are produced by alternative splicing. Mutations in YAP1 gene have been linked to ocular coloboma that is characterized by uveal colobomata, microphthalmia, cataract and cleft lip/palate. Higher expression of YAP1 has been reported in some liver and prostate cancers.
Immunogen
KLH-conjugated linear peptide corresponding to 12 amino acids from the C-terminal region of human Transcriptional coactivator YAP1.
Application
Anti-YAP, clone 8G5, Cat. No. MABS2029, is a rat monoclonal antibody that detects Transcriptional coactivator YAP1 and has been tested or use in Immunocytochemistry, Immunofluorescence, Immunohistochemistry (Paraffin), Immunoprecipitation, and Western Blotting.
Immunohistochemistry (Paraffin) Analysis: A 1:50 dilution from a representative lot detected YAP in mouse colon tissue sections.
Western Blotting Analysis: A representative lot detected YAP in Western Blotting applications (Miyamura, N.,et. al. (2017). Nat Commun. 8:16017; Matsudaira, T., et. al. (2017). Nat Commun. 8(1):1246; Hata, S., et. al. (2012). J Biol Chem. 287(26):22089-98; Maruyama, J., et. al. (2017). Mol Cancer Res. 16(2):197-211).
Immunoprecipitation Analysis: A representative lot detected YAP in Immunoprecipitation applications (Hata, S., et. al. (2012). J Biol Chem. 287(26):22089-98).
Immunofluorescence Analysis: A representative lot detected YAP in Immunofluorescence applications (Miyamura, N.,et. al. (2017). Nat Commun. 8:16017).
Immunocytochemistry Analysis: A representative lot detected YAP in Immunocytochemistry applications (Matsudaira, T., et. al. (2017). Nat Commun. 8(1):1246; Hata, S., et. al. (2012). J Biol Chem. 287(26):22089-98).
Western Blotting Analysis: A representative lot detected YAP in Western Blotting applications (Miyamura, N.,et. al. (2017). Nat Commun. 8:16017; Matsudaira, T., et. al. (2017). Nat Commun. 8(1):1246; Hata, S., et. al. (2012). J Biol Chem. 287(26):22089-98; Maruyama, J., et. al. (2017). Mol Cancer Res. 16(2):197-211).
Immunoprecipitation Analysis: A representative lot detected YAP in Immunoprecipitation applications (Hata, S., et. al. (2012). J Biol Chem. 287(26):22089-98).
Immunofluorescence Analysis: A representative lot detected YAP in Immunofluorescence applications (Miyamura, N.,et. al. (2017). Nat Commun. 8:16017).
Immunocytochemistry Analysis: A representative lot detected YAP in Immunocytochemistry applications (Matsudaira, T., et. al. (2017). Nat Commun. 8(1):1246; Hata, S., et. al. (2012). J Biol Chem. 287(26):22089-98).
Biochem/physiol Actions
Clone 8G5 is a rat monoclonal antibody that detects Transcriptional coactivator YAP1. It targets an epitope with in 12 amino acids from the C-terminal region.
Physical form
Format: Purified
Analysis Note
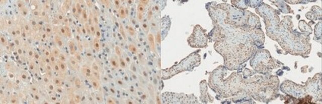
Evaluated by Immunohistochemistry (Paraffin) in human placenta tissue sections.
Immunohistochemistry (Paraffin) Analysis: A 1:50 dilution of this antibody detected YAP in human placenta tissue sections.
Immunohistochemistry (Paraffin) Analysis: A 1:50 dilution of this antibody detected YAP in human placenta tissue sections.
Other Notes
Concentration: Please refer to lot specific datasheet.
Still not finding the right product?
试用我们的 产品选型工具 工具缩小选择范围
法规信息
新产品
此项目有
Sakurako Kobayashi et al.
Inflammation and regeneration, 42(1), 49-49 (2022-11-30)
The emerging concepts of fetal-like reprogramming following tissue injury have been well recognized as an important cue for resolving regenerative mechanisms of intestinal epithelium during inflammation. We previously revealed that the remodeling of mesenchyme with collagen fibril induces YAP/TAZ-dependent fate
全球贸易项目编号
| 货号 | GTIN |
|---|---|
| MABS2029-100UG | 04054839519451 |
| MABS2029-25UG | 04054839519468 |