biological source
mouse
Quality Level
conjugate
unconjugated
antibody form
ascites fluid
antibody product type
primary antibodies
clone
4B7B2, monoclonal
species reactivity
mouse, human
technique(s)
ELISA: suitable, flow cytometry: suitable, immunohistochemistry: suitable, western blot: suitable
isotype
IgG1
UniProt accession no.
shipped in
wet ice
target post-translational modification
unmodified
Gene Information
human ... BMPR1A(657)
General description
BMPR-1A (bone morphogenic protein receptor type 1A) signaling is known to be important for inner root sheath differentiation, hair follicle cycling and tooth development. Mutations in BMPR-1A are a common cause of juvenile polyposis syndrome (JPS). BMPR-1A is expressed in a high quantity during the formation of the primary and secondary palate and the loss of BMPR-1A could be a cause for the cleft palate birth defect.
~65 kDa observed. Uncharacterized bands may be observed in some lysate(s).
Immunogen
Purified recombinant fragment of human BMPR1A expressed in E. Coli
Application
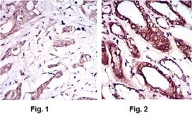
Immunohistochemistry Analysis: A 1:200-1,000 dilution from a representative lot detected BMPR-1A in colon cancer and kidney tissues.
Flow Cytometry Analysis: A 1;200-400 dilution from a representative lot detected BMPR-1A in HeLa cells.
ELISA: A representative lot detected control Antigen (100 ng) and Antigen (10 ng, 50 ng, 100 ng) in ELISA (Direct).
Flow Cytometry Analysis: A 1;200-400 dilution from a representative lot detected BMPR-1A in HeLa cells.
ELISA: A representative lot detected control Antigen (100 ng) and Antigen (10 ng, 50 ng, 100 ng) in ELISA (Direct).
Research Category
Signaling
Signaling
Research Sub Category
Developmental Signaling
Developmental Signaling
This Anti-BMPR-1A, clone 4B7B2 Antibody is validated for use in western blotting, IHC, flow cytometry & ELISA for the detection of BMPR-1A.
Physical form
Mouse monoclonal IgG1 ascitic fluid containing up to 0.1% sodium azide.
Unpurified
Preparation Note
Stable for 1 year at -20°C from date of receipt.
Handling Recommendations: Upon receipt and prior to removing the cap, centrifuge the vial and gently mix the solution. Aliquot into microcentrifuge tubes and store at -20°C. Avoid repeated freeze/thaw cycles, which may damage IgG and affect product performance.
Handling Recommendations: Upon receipt and prior to removing the cap, centrifuge the vial and gently mix the solution. Aliquot into microcentrifuge tubes and store at -20°C. Avoid repeated freeze/thaw cycles, which may damage IgG and affect product performance.
Analysis Note
Evaluated by Western Blotting in PC-3, K562 and mouse liver lysates.
Western Blotting Analysis: A 1:500-2,000 dilution of this antibody detected BMPR-1A in PC-3, K562 and mouse liver lysates.
Western Blotting Analysis: A 1:500-2,000 dilution of this antibody detected BMPR-1A in PC-3, K562 and mouse liver lysates.
Disclaimer
Unless otherwise stated in our catalog or other company documentation accompanying the product(s), our products are intended for research use only and are not to be used for any other purpose, which includes but is not limited to, unauthorized commercial uses, in vitro diagnostic uses, ex vivo or in vivo therapeutic uses or any type of consumption or application to humans or animals.
Still not finding the right product?
试用我们的 产品选型工具 工具缩小选择范围
存储类别
12 - Non Combustible Liquids
wgk
nwg
flash_point_f
Not applicable
flash_point_c
Not applicable
全球贸易项目编号
| 货号 | GTIN |
|---|---|
| MABS419 | 04053252957826 |