biological source
mouse
Quality Level
conjugate
unconjugated
antibody form
purified immunoglobulin
antibody product type
primary antibodies
clone
4A3, monoclonal
species reactivity
human, rat
packaging
antibody small pack of 25 μL
technique(s)
immunocytochemistry: suitable, immunohistochemistry: suitable (paraffin), immunoprecipitation (IP): suitable, western blot: suitable
isotype
IgG2bκ
NCBI accession no.
UniProt accession no.
target post-translational modification
unmodified
Gene Information
rat ... Golga2(64528)
General description
112.87 kDa calculated.
Golgin subfamily A member 2 (UniProt: Q62839; also known as 130 kDa cis-Golgi matrix protein, GM130) is encoded by the Golga2 gene (Gene ID: 64528) in rat. GM130 is a peripheral membrane component of the cis-Golgi stack that acts as a membrane skeleton to maintain the structure of the Golgi apparatus, and as a vesicle tether that facilitates vesicle fusion to the Golgi membrane. GM130 is a homotetramer with a flexible rod-like structure. It has a nuclear localization sequence (aa 26-49) that mediates interaction with importin-alpha and recruits it to the Golgi membrane and liberates TPX2. GM130 promotes the mitotic spindle pole assembly by activating TPX2 to nucleate microtubules around the Golgi and capture them to couple mitotic membranes to the spindle. Phosphorylation of GM130 at Ser37 by CDK1 at the onset of mitosis inhibits its interaction with p115/USO1, which prevents its tethering of COPI vesicles and thereby inhibits transport through the Golgi apparatus during mitosis.
Immunogen
A full length recombinant human Golgin subfamily A member 2 (GM130).
Application
Anti-GM130, clone 4A3, Cat. No. MABT1363, is a mouse monoclonal antibody that detects Golgin subfamily A member 2. (GM130) and is tested for use in Immunocytochemistry, Immunohistochemistry (Paraffin), Immunoprecipitation, and Western Blotting.
Immunohistochemistry Analysis: A 1:50 dilution of this antibody detected GM130 in human liver cancer tissue.
Western Blotting Analysis: A representative lot detected GM130 in Western Blotting applications (Diao, A., et. al. (2003) J Cell Biol. 160(2):201-12).
Immunocytochemistry Analysis: A representative lot detected GM130 in Immunocytochemistry applications (Seemann, J., et. al. (2002). Science. 295(5556):848-51; Diao, A., et. al. (2003) J Cell Biol. 160(2):201-12).
Immunohistochemistry Analysis: A representative lot detected GM130 in Immunohistochemistry applications (Seemann, J., et. al. (2002). Science. 295(5556):848-51).
Immunoprecipitation Analysis: A representative lot detected GM130 in Immunoprecipitation applications (Diao, A., et. al. (2003) J Cell Biol. 160(2):201-12; Diao, A., et. al. (2008) J Cell Biol. 283(11):6957-67).
Western Blotting Analysis: A representative lot detected GM130 in Western Blotting applications (Diao, A., et. al. (2003) J Cell Biol. 160(2):201-12).
Immunocytochemistry Analysis: A representative lot detected GM130 in Immunocytochemistry applications (Seemann, J., et. al. (2002). Science. 295(5556):848-51; Diao, A., et. al. (2003) J Cell Biol. 160(2):201-12).
Immunohistochemistry Analysis: A representative lot detected GM130 in Immunohistochemistry applications (Seemann, J., et. al. (2002). Science. 295(5556):848-51).
Immunoprecipitation Analysis: A representative lot detected GM130 in Immunoprecipitation applications (Diao, A., et. al. (2003) J Cell Biol. 160(2):201-12; Diao, A., et. al. (2008) J Cell Biol. 283(11):6957-67).
Research Category
Cell Structure
Cell Structure
Biochem/physiol Actions
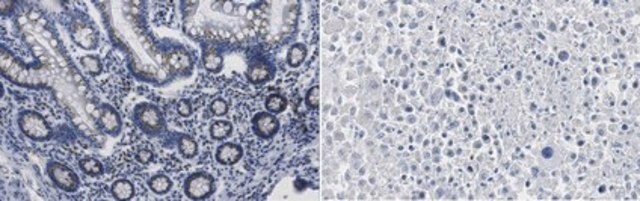
Clone 4A3 detected Golgin subfamily A member 2 (GM130) in human liver cancer and human intestine sections.
Physical form
Format: Purified
Protein G purified
Purified mouse monoclonal antibody IgG2b in buffer containing 0.1 M Tris-Glycine (pH 7.4), 150 mM NaCl with 0.05% sodium azide.
Preparation Note
Stable for 1 year at 2-8°C from date of receipt.
Analysis Note
Evaluated by Immunohistochemistry in human small intestine tissue.
Immunohistochemistry Analysis: A 1:50 dilution of this antibody detected GM130 in human small intestine tissue sections.
Immunohistochemistry Analysis: A 1:50 dilution of this antibody detected GM130 in human small intestine tissue sections.
Other Notes
Concentration: Please refer to lot specific datasheet.
Disclaimer
Unless otherwise stated in our catalog or other company documentation accompanying the product(s), our products are intended for research use only and are not to be used for any other purpose, which includes but is not limited to, unauthorized commercial uses, in vitro diagnostic uses, ex vivo or in vivo therapeutic uses or any type of consumption or application to humans or animals.
Still not finding the right product?
试用我们的 产品选型工具 工具缩小选择范围
存储类别
12 - Non Combustible Liquids
wgk
WGK 1
flash_point_f
Not applicable
flash_point_c
Not applicable
全球贸易项目编号
| 货号 | GTIN |
|---|---|
| MABT1363 | 04054839330728 |
| MABT1363-25UL | 04054839553660 |