biological source
rabbit
Quality Level
antibody form
serum
antibody product type
primary antibodies
clone
polyclonal
form
lyophilized
contains
≤0.1% sodium azide as preservative
species reactivity
rat
manufacturer/tradename
Calbiochem®
storage condition
OK to freeze
dilution
(Frozen Sections (1:400-1:800, Cy3; 1:2000-1:4000, Bn-SA/HRP)
Immunofluorescence (1:200-1:400))
isotype
IgG
shipped in
ambient
storage temp.
−20°C
target post-translational modification
unmodified
Gene Information
rat ... Avp(24221)
General description
Rabbit polyclonal antibody supplied as lyophilized undiluted serum. Recognizes vasopressin.
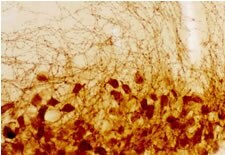
Recognizes vasopressin in rat hypothalamus.
This Anti-Vasopressin Rabbit pAb is validated for use in Frozen Sections, Immunofluorescence for the detection of Vasopressin.
Immunogen
Rat
rat arginine vasopressin
Application

Frozen Sections (1:400-1:800, Cy3; 1:2000-1:4000, Bn-SA/HRP)
Immunofluorescence (1:200-1:400)
Physical form
Undiluted serum.
Preparation Note
Reconstitute the lyophilized antibody with 100 µl sterile distilled H₂O. Be careful to reconstitute the entire contents of the vial; during shipment and handling portions of the lyophilized pellet may have become dislodged and may not be in the bottom of the vial. Dilute with sterile PBS or Tris buffer at dilutions no higher than 1:10. Following reconstitution, aliquot and freeze (-20°C). Stock solutions are stable for up to 6 months. Avoid freeze/thaw cycles of solutions.
Analysis Note
Positive Control
Rat hypothalamus
Rat hypothalamus
Other Notes
Antibody specificity was examined in the rat paraventricular nucleus and supraoptic nucleus. Staining is completely eliminated by pretreatment of antibody with arginine vasopressin (10 µg/ml). Preabsorption of antibody with oxytocin (100 µg/ml) resulted in no loss of immunostaining. Antibody should be titrated for optimal results in individual systems.
Sudhof, T.C. 1995. Nature375, 645.
Hokfelt, T., et al. 1987. Experientia Suppl.56, 154.
Hokfelt, T., et al. 1987. Experientia Suppl.56, 154.
Legal Information
CALBIOCHEM is a registered trademark of Merck KGaA, Darmstadt, Germany
Disclaimer
Toxicity: Standard Handling (A)
Still not finding the right product?
试用我们的 产品选型工具 工具缩小选择范围
存储类别
10 - Combustible liquids
wgk
WGK 1
flash_point_f
Not applicable
flash_point_c
Not applicable
Leqiang Sun et al.
Molecular neurodegeneration, 14(1), 8-8 (2019-02-10)
Neurotropic virus-based tracers have been extensively applied in mapping and manipulation of neural circuits. However, their neurotropic and neurotoxic properties remain to be fully characterized. Through neural circuit tracing, we systematically compared the neurotropism discrepancy among different multi-trans-synaptic and mono-synaptic
全球贸易项目编号
| 货号 | GTIN |
|---|---|
| PC234L-100UL | 04055977224689 |