biological source
mouse
Quality Level
antibody form
purified antibody
antibody product type
primary antibodies
clone
4G4, monoclonal
form
liquid
does not contain
preservative
species reactivity
human, rat, mouse
manufacturer/tradename
Calbiochem®
storage condition
OK to freeze, avoid repeated freeze/thaw cycles
dilution
(ELISA (see coments)
Immunoblotting (1-5 µg/mL)
Immunocytochemistry (10 µg/mL)
Paraffin Sections (3 µg/mL))
isotype
IgG2a
shipped in
wet ice
storage temp.
−20°C
target post-translational modification
unmodified
Gene Information
human ... TOMM22(56993)
General description
Purified mouse monoclonal antibody. Recognizes the ~18 kDa TOMM22 protein.
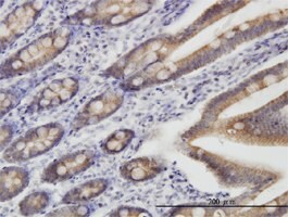
Recognizes the ~18 kDa TOMM22 protein in PC-12, NIH3T3, Raw 264.7, and HeLa cells and human small intestine tissue.
This Anti-TOMM22 Mouse mAb (4G4) is validated for use in ELISA, Immunoblotting, Immunocytochemistry, Paraffin Sections for the detection of TOMM22.
Immunogen
Full-length, recombinant, human TOMM22 (aa 1-143), expressed as a GST fusion protein
Application




ELISA (see coments)
Immunoblotting (1-5 g/ml)
Immunocytochemistry (10 g/ml)
Paraffin Sections (3 g/ml)
Physical form
In PBS, pH 7.2.
Preparation Note
Following initial thaw, aliquot and freeze (-20°C).
Analysis Note
Negative Control
293T cells
293T cells
Positive Control
PC 12 cells, NIH3T3 cells, Raw 264.7 cells, HeLa cells, Human small intestine tissue
PC 12 cells, NIH3T3 cells, Raw 264.7 cells, HeLa cells, Human small intestine tissue
Other Notes
For ELISA, this antibody can be used as the capture antibody; recommended concentration is 10 ng/ml, 1 µg/well, 100 µl total volume. Variables associated with assay conditions will dictate the proper working dilution.
Legal Information
CALBIOCHEM is a registered trademark of Merck KGaA, Darmstadt, Germany
Disclaimer
Toxicity: Regulatory Review (Z)
Still not finding the right product?
试用我们的 产品选型工具 工具缩小选择范围
存储类别
12 - Non Combustible Liquids
wgk
nwg
flash_point_f
Not applicable
flash_point_c
Not applicable
法规信息
新产品
此项目有
全球贸易项目编号
| 货号 | GTIN |
|---|---|
| ST1704-100UG | 04055977207330 |