biological source
mouse
conjugate
unconjugated
antibody form
culture supernatant
antibody product type
primary antibodies
clone
4C9, monoclonal
description
For In Vitro Diagnostic Use in Select Regions (See Chart)
form
buffered aqueous solution
species reactivity
human
packaging
vial of 0.1 mL concentrate (125M-14), vial of 0.5 mL concentrate (125M-15), bottle of 1.0 mL predilute (125M-17), vial of 1.0 mL concentrate (125M-16), bottle of 7.0 mL predilute (125M-18)
manufacturer/tradename
Cell Marque®
technique(s)
immunohistochemistry (formalin-fixed, paraffin-embedded sections): 1:10-1:50
isotype
IgG2b
control
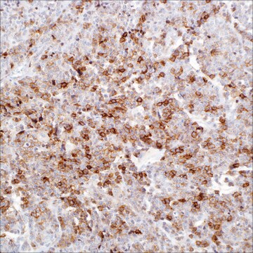
lesions of mastocytosis
shipped in
wet ice
storage temp.
2-8°C
visualization
cytoplasmic, membranous
Gene Information
human ... IL2RA(3559)
General description
According to the World Health Organization classification system, the major diagnostic criterion for bone marrow involvement by Systemic Mastocytosis (SM) is the presence of dense aggregates (>15 cells) of mast cells. Expression of CD25, a low-affinity receptor for interleukin-2 (IL-2), is a reliable diagnostic tool for distinguishing neoplastic mast cell aggregates from reactive proliferations, and has therefore recently become a minor criterion for the diagnosis of SM. Hahn et al. demonstrated that aberrant staining of Mast cell clusters by anti-CD25 antibody in GI biopsies was essentially diagnostic of SM. Anti-CD25 antibody has also been useful in identifying mast cells in skin biopsies in the setting of Urticaria Pigmentosa, which is predictive of Systemic Mastocytosis. Quantitation of regulatory T cells (Treg) in the setting of hepatocellular carcinoma has been used as an independent predictive factor of tumor recurrence after hepatic resection for HCC. Also, the percentage of tumor-infiltrating CD25+FOXP3+ regulatory T cells among tumor cells, inside tumor parenchyma and at its periphery, is significantly higher in recurrent cutaneous melanoma than in non-recurrent melanoma.
Physical form
Solution in Tris Buffer, pH 7.3-7.7, with 1% BSA and <0.1% Sodium Azide
Preparation Note
Download the IFU specific to your product lot and formatNote: This requires a keycode which can be found on your packaging or product label.
Analysis Note
![]() IVD | ![]() IVD | ![]() IVD | ![]() RUO |
Other Notes
CD25 Positive Control Slides, Product No. 125S, are available for immunohistochemistry (formalin-fixed, paraffin-embedded sections).
For Technical Service please contact: 800-665-7284 or email: service@cellmarque.com
Legal Information
Cell Marque is a registered trademark of Merck KGaA, Darmstadt, Germany
Still not finding the right product?
试用我们的 产品选型工具 工具缩小选择范围
存储类别
12 - Non Combustible Liquids
wgk
WGK 2
flash_point_f
Not applicable
flash_point_c
Not applicable
法规信息
监管及禁止进口产品
此项目有
Clelia Miracco et al.
Oncology reports, 18(5), 1115-1122 (2007-10-05)
Tumour-infiltrating lymphocytes (TILs) represent the local immune response to cancer, however, their correlation with tumour behaviour is not unanimously considered in the literature. Most studies have not characterized TILs, that are known to comprise distinct subsets, bearing different roles in
Travis J Hollmann et al.
The American journal of surgical pathology, 32(1), 139-145 (2007-12-29)
Urticaria pigmentosa (UP) is a clinicopathologic term used to describe reddish-brown cutaneous macules and papules, characterized histologically by mast cell infiltration of the papillary and upper reticular dermis and reactive basal hyperpigmentation of the overlying epidermis. Although typically a benign
Sameer A Siddiqui et al.
Clinical cancer research : an official journal of the American Association for Cancer Research, 13(7), 2075-2081 (2007-04-04)
Regulatory T cells (Tregs) have been implicated as inhibitors of antitumoral immunity, and evidence suggests that elimination of Tregs may augment natural and pharmacologic immunity. We tested for the presence of putative Tregs within renal cell carcinoma (RCC) tumors. We
全球贸易项目编号
| 货号 | GTIN |
|---|---|
| 125M-14 | 0841683124344 |
| 125M-17 | 0841683124375 |
| 125M-15 | 0841683124351 |
| 125M-16 | 0841683124368 |
| 125M-16-RUO | 04061836549862 |
| 125M-18 | 0841683124382 |



