biological source
rabbit
conjugate
unconjugated
antibody form
culture supernatant
antibody product type
primary antibodies
clone
EPR3097Y, monoclonal
description
For In Vitro Diagnostic Use in Select Regions (See Chart)
form
buffered aqueous solution
species reactivity
human
packaging
vial of 0.1 mL concentrate (199R-14), vial of 0.5 mL concentrate (199R-15), bottle of 1.0 mL predilute (199R-17), vial of 1.0 mL concentrate (199R-16), bottle of 7.0 mL predilute (199R-18)
manufacturer/tradename
Cell Marque®
technique(s)
immunohistochemistry (formalin-fixed, paraffin-embedded sections): 1:100-1:500
isotype
IgG
control
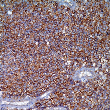
Ewing’s sarcoma
shipped in
wet ice
storage temp.
2-8°C
visualization
cytoplasmic, membranous
Gene Information
human ... CD99(4267)
General description
CD99, as detected with a variety of antibodies, is expressed by virtually almost all Ewings sarcoma and primitive peripheral neuroectodermal tumors (ES/PNET) and demonstrates strong and diffuse membranous staining. Other tumors that may show CD99 expression include neuroendocrine carcinomas, mesenchymal chondrosarcomas, solitary fibrous tumors, synovial sarcomas, vascular tumors, small round blue cell group of pediatric neoplasms, lymphoblastic lymphoma, acute myeloid leukemia, and myeloid sarcoma. However, strong and diffuse membranous reactivity for CD99 favors ES/PNET over the other diagnostic considerations. The other CD99+ tumors usually show cytoplasmic and more heterogeneous staining. Therefore, when making a final diagnostic interpretation, CD99 must be considered in a panel with other antibodies.
Physical form
Solution in Tris Buffer, pH 7.3-7.7, with 1% BSA and <0.1% Sodium Azide
Preparation Note
Download the IFU specific to your product lot and formatNote: This requires a keycode which can be found on your packaging or product label.
Analysis Note
![]() IVD | ![]() IVD | ![]() IVD | ![]() RUO |
Other Notes
CD99 Positive Control Slides, Product No. 199S, are available for immunohistochemistry (formalin-fixed, paraffin-embedded sections).
For Technical Service please contact: 800-665-7284 or email: service@cellmarque.com
Legal Information
Cell Marque is a registered trademark of Merck KGaA, Darmstadt, Germany
Still not finding the right product?
试用我们的 产品选型工具 工具缩小选择范围
法规信息
监管及禁止进口产品
此项目有
Diagnostic Immunohistochemistry: Theranostic and Genomic Applications, 126-126 (2014)
Joseph D Khoury
Advances in anatomic pathology, 12(4), 212-220 (2005-08-13)
The Ewing sarcoma family of tumors (ESFT) comprises morphologically heterogeneous tumors that are characterized by nonrandom chromosomal translocations involving the EWS gene and one of several members of the ETS family of transcription factors. The translocation t(11;22)(q24;q12) is the most
Ewing's sarcoma: new approaches to histogenesis and molecular plasticity.
W J Rettig et al.
Laboratory investigation; a journal of technical methods and pathology, 66(2), 133-137 (1992-02-01)
全球贸易项目编号
| 货号 | GTIN |
|---|---|
| 199R-14 | 0841683125655 |
| 199R-15 | 0841683120216 |
| 199R-16 | 0841683120223 |
| 199R-16-RUO | 04061836550622 |
| 199R-17 | 0841683125662 |
| 199R-18 | 0841683120230 |



