biological source
mouse
conjugate
unconjugated
antibody form
diluted ascites fluid
antibody product type
primary antibodies
clone
MRQ-20, monoclonal
description
For In Vitro Diagnostic Use in Select Regions (See Chart)
form
buffered aqueous solution
species reactivity
human
packaging
vial of 0.1 mL concentrate (293M-94), vial of 0.5 mL concentrate (293M-95), bottle of 1.0 mL predilute (293M-97), vial of 1.0 mL concentrate (293M-96), bottle of 7.0 mL predilute (293M-98)
manufacturer/tradename
Cell Marque®
technique(s)
immunohistochemistry (formalin-fixed, paraffin-embedded sections): 1:100-1:500
isotype
IgG1
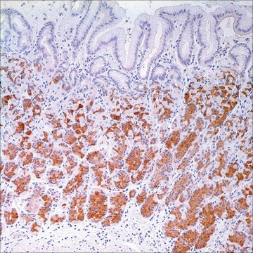
control
stomach
shipped in
wet ice
storage temp.
2-8°C
visualization
cytoplasmic
Gene Information
human ... MUC6(4588)
General description
MUC6 is a secretory mucin that is part of a family of at least 14 high molecular-weightglycoproteins made by many epithelial tissues. MUC6 is preferentially expressed in nonneoplastic gastric tissue, specifically in the pyloric glands. During neoplastic transformation,mucin expression may be altered within these tissues leading to particular patterns ofexpression.
Physical form
Solution in Tris Buffer, pH 7.3-7.7, with 1% BSA and <0.1% Sodium Azide
Preparation Note
Download the IFU specific to your product lot and formatNote: This requires a keycode which can be found on your packaging or product label.
Analysis Note
![]() IVD | ![]() IVD | ![]() IVD | ![]() RUO |
Other Notes
For Technical Service please contact: 800-665-7284 or email: service@cellmarque.com
MUC6 Positive Control Slides, Product No. 293S, are available for immunohistochemistry (formalin-fixed, paraffin-embedded sections).
Legal Information
Cell Marque is a registered trademark of Merck KGaA, Darmstadt, Germany
Still not finding the right product?
试用我们的 产品选型工具 工具缩小选择范围
法规信息
监管及禁止进口产品
此项目有
Seog-Yun Park et al.
Archives of pathology & laboratory medicine, 131(10), 1561-1567 (2007-10-10)
Although identification of the primary tumor in patients with metastatic adenocarcinoma has a profound clinical impact, diagnosing the organ of origin is frequently difficult. Because none of the individual immunohistochemical markers used for tissue identification are both site specific and
P Chaves et al.
Diseases of the esophagus : official journal of the International Society for Diseases of the Esophagus, 18(6), 383-387 (2005-12-13)
Intestinal metaplasia is a prerequisite criterion for the diagnosis of Barrett's metaplasia and the sole columnar esophageal lining associated with malignancy. It is recognized by the presence of goblet cells, but columnar non-goblet elements, producing gastric or intestinal proteins, are
Fionnuala P O'Connell et al.
Archives of pathology & laboratory medicine, 129(3), 338-347 (2005-03-02)
Breast carcinoma often metastasizes to the gastrointestinal tract, especially the stomach, where it is frequently difficult to distinguish from a primary gastric carcinoma. To evaluate the utility of immunohistochemical stains in differentiating primary gastric carcinomas from metastatic breast carcinomas. Mucosal
全球贸易项目编号
| 货号 | GTIN |
|---|---|
| 293M-95 | 0841683133803 |
| 293M-98 | 0841683133834 |
| 293M-94 | 0841683133797 |
| 293M-96 | 0841683133810 |
| 293M-96-RUO | 04061836543372 |
| 293M-97 | 0841683133827 |



