biological source
mouse
conjugate
unconjugated
antibody form
culture supernatant
antibody product type
primary antibodies
clone
F5D, monoclonal
description
For In Vitro Diagnostic Use in Select Regions (See Chart)
form
buffered aqueous solution
species reactivity
human
packaging
vial of 0.1 mL concentrate (296M-14), vial of 0.5 mL concentrate (296M-15), bottle of 1.0 mL predilute (296M-17), vial of 1.0 mL concentrate (296M-16), bottle of 7.0 mL predilute (296M-18)
manufacturer/tradename
Cell Marque®
technique(s)
immunohistochemistry (formalin-fixed, paraffin-embedded sections): 1:25-1:100
isotype
IgG1κ
control
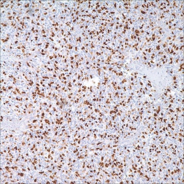
rhabdomyosarcoma
shipped in
wet ice
storage temp.
2-8°C
visualization
nuclear
Gene Information
human ... MYOG(4656)
General description
Myogenin also identified as myogenic factor 4 is a muscle-specific transcription factorassociated with muscle differentiation and cell cycle. Anti-myogenin reactivity isseen in the nuclei of myoblasts in developing muscle tissue. Anti-myogenin is a usefulimmunohistochemical reagent for the identification of rhabdomyosarcoma.
Physical form
Solution in Tris Buffer, pH 7.3-7.7, with 1% BSA and <0.1% Sodium Azide
Preparation Note
Download the IFU specific to your product lot and formatNote: This requires a keycode which can be found on your packaging or product label.
Analysis Note
![]() IVD | ![]() IVD | ![]() IVD | ![]() RUO |
Other Notes
For Technical Service please contact: 800-665-7284 or email: service@cellmarque.com
Myogenin Positive Control Slides, Product No. 296S, are available for immunohistochemistry (formalin-fixed, paraffin-embedded sections).
Legal Information
Cell Marque is a registered trademark of Merck KGaA, Darmstadt, Germany
Still not finding the right product?
试用我们的 产品选型工具 工具缩小选择范围
法规信息
监管及禁止进口产品
此项目有
N P Wang et al.
The American journal of pathology, 147(6), 1799-1810 (1995-12-01)
The distinction of rhabdomyosarcoma (RMS) from other small blue round cell tumors of childhood, such as Ewing's sarcoma/peripheral primitive neuroectodermal tumor (pPNET) and neuroblastoma, continues to present a diagnostic challenge to pathologists. The recent recognition of the master role of
S Cui et al.
Pathology international, 49(1), 62-68 (1999-05-05)
New monoclonal anti-MyoD1 and anti-myogenin antibodies were evaluated immunohistochemically to determine whether they are useful in discriminating rhabdomyosarcoma (RMS) from other soft tissue tumors in routinely processed sections. Neither MyoD1 nor myogenin was expressed in normal, mature striated muscle. In
J B Miller
The Journal of cell biology, 111(3), 1149-1159 (1990-09-01)
Different mouse muscle cell lines were found to express distinct patterns of myosin heavy chain (MHC) isoforms, MyoD1, and myogenin, but there appeared to be no correlation between the pattern of MHC expression and the patterns of MyoD1 and myogenin
全球贸易项目编号
| 货号 | GTIN |
|---|---|
| 296M-15 | 0841683134039 |
| 296M-17 | 0841683134053 |
| 296M-14 | 0841683134022 |
| 296M-16 | 0841683134046 |
| 296M-16-RUO | 04061836543808 |
| 296M-18 | 0841683134060 |



