biological source
mouse
conjugate
unconjugated
antibody form
culture supernatant
antibody product type
primary antibodies
clone
SMMS-1, monoclonal
description
For In Vitro Diagnostic Use in Select Regions (See Chart)
form
buffered aqueous solution
species reactivity
human
packaging
vial of 0.1 mL concentrate (298M-14), vial of 0.5 mL concentrate (298M-15), bottle of 1.0 mL predilute (298M-17), vial of 1.0 mL concentrate (298M-16), bottle of 7.0 mL predilute (298M-18)
manufacturer/tradename
Cell Marque®
technique(s)
immunohistochemistry (formalin-fixed, paraffin-embedded sections): 1:100-1:500
isotype
IgG1κ
control
breast
shipped in
wet ice
storage temp.
2-8°C
visualization
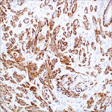
cytoplasmic
Gene Information
human ... MYH11(4629)
General description
Smooth Muscle Myosin, heavy chain (SMMS-1) is a cytoplasmic structural protein that is a major component of the contractile apparatus of the smooth muscle cells. SMMS-1 is also an amyoepithelium-associated protein. Anti-SMMS-1 is a mouse monoclonal antibody to smooth muscle myosin, a heavy chain that reacts with human visceral and vascular smooth muscle cells. The antibody also reacts with human myoepithelial cells. It is very helpful in identifying myoepithelial cells in benign sclerosing breast lesions and demonstrating their absence of invasive breast carcinomas.
Physical form
Solution in Tris Buffer, pH 7.3-7.7, with 1% BSA and <0.1% Sodium Azide
Preparation Note
Download the IFU specific to your product lot and formatNote: This requires a keycode which can be found on your packaging or product label.
Analysis Note
![]() IVD | ![]() IVD | ![]() IVD | ![]() RUO |
Other Notes
For Technical Service please contact: 800-665-7284 or email: service@cellmarque.com
Myosin, Smooth Muscle Positive Control Slides, Product No. 298S, are available for immunohistochemistry (formalin-fixed, paraffin-embedded sections).
Legal Information
Cell Marque is a registered trademark of Merck KGaA, Darmstadt, Germany
Still not finding the right product?
试用我们的 产品选型工具 工具缩小选择范围
法规信息
监管及禁止进口产品
此项目有
Nikolay K Popnikolov et al.
American journal of clinical pathology, 120(2), 161-167 (2003-08-23)
We immunohistochemically compared benign myoepithelial tumors (adenomyoepitheliomas [AMEs]) and metaplastic matrix-producing (MMP-CA) and spindle cell (MSC-CA) carcinomas of the breast to identify helpful diagnostic markers. Normal myoepithelial cells (MECs) consistently expressed cytokeratin, alpha-smooth muscle actin (SMA), myosin, S-100, CD10, and
S N Agoff et al.
Applied immunohistochemistry & molecular morphology : AIMM, 9(2), 164-169 (2001-06-09)
Distinguishing low grade endometrial stromal sarcoma (ESS) from benign smooth muscle proliferations like cellular leiomyoma (CL) can be problematic; because of differing treatments and prognosis, this distinction is important. The authors tested the hypothesis that low grade ESS could be
Robert W Werling et al.
The American journal of surgical pathology, 27(1), 82-90 (2002-12-28)
Identification of myoepithelial cells using antibodies to cytoskeletal proteins, such as smooth muscle myosin heavy chain (SMM-HC) and calponin, can play an important role in distinguishing invasive carcinoma from its histologic mimics. However, antibodies to these proteins may also cross-react
全球贸易项目编号
| 货号 | GTIN |
|---|---|
| 298M-16 | 0841683134213 |
| 298M-18 | 0841683134237 |
| 298M-14 | 0841683134190 |
| 298M-15 | 0841683134206 |
| 298M-16-RUO | 04061836543877 |
| 298M-17 | 0841683134220 |



