biological source
mouse
conjugate
unconjugated
antibody form
culture supernatant
antibody product type
primary antibodies
clone
ER-PR8, monoclonal
description
For In Vitro Diagnostic Use in Select Regions (See Chart)
form
buffered aqueous solution
species reactivity
human
packaging
vial of 0.1 mL concentrate (324M-14), vial of 0.5 mL concentrate (324M-15), bottle of 1.0 mL predilute (324M-17), vial of 1.0 mL concentrate (324M-16), bottle of 7.0 mL predilute (324M-18)
manufacturer/tradename
Cell Marque®
technique(s)
immunohistochemistry (formalin-fixed, paraffin-embedded sections): 1:50-1:200
isotype
IgG1κ
control
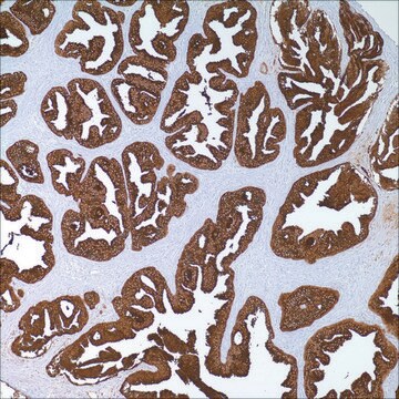
prostate
shipped in
wet ice
storage temp.
2-8°C
visualization
cytoplasmic
Gene Information
human ... KLK3(354)
General description
Prostate-Specific Antigen (PSA) is a 33 kDa protein primarily produced by the prostatic epithelium and the epithelial lining of the periurethral glands . PSA is strongly expressed in both normal and neoplastic prostatic tissue. Although PSA can be considered prostate-specific, PSA and/or PSA gene expression has been detected at low levels in some extra-prostatic tissues such as normal breast tissue, breast tumors, endometrium, adrenal neoplasms and renal cell carcinomas. Anti-PSA is most useful in determining the prostatic origin of carcinomas in non-prostate tissues (metastatic disease) using IHC techniques. This product is best used in conjunction with a panel of antibodies as, up to 27% of prostate carcinoma cases (predominantly poorly differentiated carcinomas) can be negative for this marker.
Physical form
Solution in Tris Buffer, pH 7.3-7.7, with 1% BSA and <0.1% Sodium Azide
Preparation Note
Download the IFU specific to your product lot and formatNote: This requires a keycode which can be found on your packaging or product label.
Analysis Note
![]() IVD | ![]() IVD | ![]() RUO | ![]() RUO |
Other Notes
For Technical Service please contact: 800-665-7284 or email: service@cellmarque.com
PSA Positive Control Slides, Product No. 324S, are available for immunohistochemistry (formalin-fixed, paraffin-embedded sections).
Legal Information
Cell Marque is a registered trademark of Merck KGaA, Darmstadt, Germany
Still not finding the right product?
试用我们的 产品选型工具 工具缩小选择范围
法规信息
监管及禁止进口产品
此项目有
U H Stenman et al.
Seminars in cancer biology, 9(2), 83-93 (1999-04-15)
Prostate specific antigen (PSA) is serine protease produced at high concentrations by normal and malignant prostatic epithelium. It is mainly secreted into seminal fluid, where it digests the gel forming after ejaculation. Only minor amounts of PSA leak out into
K A Alanen et al.
Pathology, research and practice, 192(3), 233-237 (1996-03-01)
Immunohistochemical detection of prostate specific antigen (PSA) in metastases of adenocarcinomas is widely used as an aid to identify the prostatic origin of metastatic cells. However, on the one hand, PSA may not be expressed in some poorly differentiated prostatic
M Varma et al.
Histopathology, 47(1), 1-16 (2005-06-29)
Varma M & Jasani B (2005) Histopathology47, 1-16 Diagnostic utility of immunohistochemistry in morphologically difficult prostate cancer: review of current literatureImmunohistochemistry is widely used to distinguish prostate cancer from benign mimics and to establish the prostatic origin of poorly differentiated
全球贸易项目编号
| 货号 | GTIN |
|---|---|
| 324M-15 | 0841683136217 |
| 324M-15-RUO | 0841683136224 |
| 324M-17 | 0841683136255 |
| 324M-17-RUO | 0841683136262 |
| 324M-14 | 0841683136194 |
| 324M-14-RUO | 0841683136200 |
| 324M-16 | 0841683136231 |
| 324M-16-RUO | 0841683136248 |
| 324M-18 | 0841683136279 |
| 324M-18-RUO | 0841683136286 |



