biological source
rabbit
conjugate
unconjugated
antibody form
culture supernatant
antibody product type
primary antibodies
clone
EP310, monoclonal
description
For In Vitro Diagnostic Use in Select Regions
form
buffered aqueous solution
species reactivity
human
packaging
vial of 0.1 mL concentrate (442R-14), vial of 0.1 mL concentrate Research Use Only (442R-14-RUO), vial of 0.5 mL concentrate (442R-15), vial of 1.0 mL concentrate (442R-16), vial of 1.0 mL concentrate Research Use Only (442R-16-RUO), vial of 1.0 mL pre-dilute Research Use Only (442R-17-RUO), vial of 1.0 mL pre-dilute ready-to-use (442R-17), vial of 7.0 mL pre-dilute ready-to-use (442R-18), vial of 7.0 mL pre-dilute ready-to-use Research Use Only (442R-18-RUO)
manufacturer/tradename
Cell Marque®
technique(s)
immunohistochemistry (formalin-fixed, paraffin-embedded sections): 1:25-1:100 (concentrated)
isotype
IgG
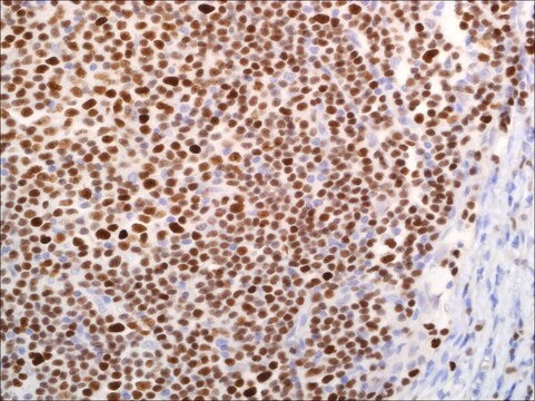
control
small lymphocytic lymphoma, tonsil
shipped in
wet ice
storage temp.
2-8°C
visualization
nuclear
Gene Information
human ... LEF1(51176)
General description
Physical form
Preparation Note
Note: This requires a keycode which can be found on your packaging or product label.
Download the latest released IFU
Note: This IFU may not apply to your specific product lot.
Analysis Note
![]() IVD | ![]() IVD | ![]() IVD | ![]() RUO |
Other Notes
Legal Information
Still not finding the right product?
试用我们的 产品选型工具 工具缩小选择范围
存储类别
12 - Non Combustible Liquids
wgk
WGK 2
flash_point_f
Not applicable
flash_point_c
Not applicable
法规信息
此项目有
全球贸易项目编号
| 货号 | GTIN |
|---|---|
| 442R-16-RUO | 04061836548421 |



