跳转至内容
Merck
CN

HPA000593

Anti-MECP2 antibody produced in rabbit

Ab1, Prestige Antibodies® Powered by Atlas Antibodies, affinity isolated antibody, buffered aqueous glycerol solution

别名:

Anti-MeCP-2 protein antibody produced in rabbit, Anti-MeCP2 antibody produced in rabbit, Anti-Methyl-CpG-binding protein 2 antibody produced in rabbit

登录 查看组织和合同定价。

选择尺寸

变更视图

关于此项目

UNSPSC Code:
12352203
Human Protein Atlas Number:
NACRES:
NA.41
MDL number:
Conjugate:
unconjugated
Clone:
polyclonal
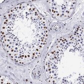
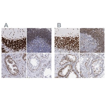
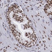
Application:
IF, IHC
Citations:
3
技术服务
需要帮助?我们经验丰富的科学家团队随时乐意为您服务。
让我们为您提供帮助


biological source

rabbit

Quality Level

conjugate

unconjugated

antibody form

affinity isolated antibody

antibody product type

primary antibodies

clone

polyclonal

product line

Prestige Antibodies® Powered by Atlas Antibodies

form

buffered aqueous glycerol solution

species reactivity

human

enhanced validation

independent
Learn more about Antibody Enhanced Validation

technique(s)

immunofluorescence: 0.25-2 μg/mL, immunohistochemistry: 1:500-1:1000

immunogen sequence

ATTSTQVMVIKRPGRKRKAEADPQAIPKKRGRKPGSVVAAAAAEAKKKAVKESSIRSVQETVLPIKKRKTRETVSIEVKEVVKPLLVSTLGEKSGKGLKTCKSPGRKSKESS

UniProt accession no.

shipped in

wet ice

storage temp.

−20°C

target post-translational modification

unmodified

Gene Information

human ... MECP2(4204)

Immunogen

methyl CpG binding protein 2

Application

All Prestige Antibodies Powered by Atlas Antibodies are developed and validated by the Human Protein Atlas (HPA) project and as a result, are supported by the most extensive characterization in the industry.

The Human Protein Atlas project can be subdivided into three efforts: Human Tissue Atlas, Cancer Atlas, and Human Cell Atlas. The antibodies that have been generated in support of the Tissue and Cancer Atlas projects have been tested by immunohistochemistry against hundreds of normal and disease tissues and through the recent efforts of the Human Cell Atlas project, many have been characterized by immunofluorescence to map the human proteome not only at the tissue level but now at the subcellular level. These images and the collection of this vast data set can be viewed on the Human Protein Atlas (HPA) site by clicking on the Image Gallery link. We also provide Prestige Antibodies® protocols and other useful information.

Features and Benefits

Prestige Antibodies® are highly characterized and extensively validated antibodies with the added benefit of all available characterization data for each target being accessible via the Human Protein Atlas portal linked just below the product name at the top of this page. The uniqueness and low cross-reactivity of the Prestige Antibodies® to other proteins are due to a thorough selection of antigen regions, affinity purification, and stringent selection. Prestige antigen controls are available for every corresponding Prestige Antibody and can be found in the linkage section.

Every Prestige Antibody is tested in the following ways:
  • IHC tissue array of 44 normal human tissues and 20 of the most common cancer type tissues.
  • Protein array of 364 human recombinant protein fragments.

Physical form

Solution in phosphate-buffered saline, pH 7.2, containing 40% glycerol and 0.02% sodium azide

Other Notes

Corresponding Antigen APREST74105

Legal Information

Prestige Antibodies is a registered trademark of Merck KGaA, Darmstadt, Germany

Disclaimer

Unless otherwise stated in our catalog or other company documentation accompanying the product(s), our products are intended for research use only and are not to be used for any other purpose, which includes but is not limited to, unauthorized commercial uses, in vitro diagnostic uses, ex vivo or in vivo therapeutic uses or any type of consumption or application to humans or animals.


Still not finding the right product?

或者

试用我们的 产品选型工具 工具缩小选择范围


存储类别

10 - Combustible liquids

wgk

WGK 1

flash_point_f

Not applicable

flash_point_c

Not applicable

ppe

Eyeshields, Gloves, multi-purpose combination respirator cartridge (US)

法规信息

低风险生物材料
常规特殊物品

此项目有



历史批次信息供参考:

分析证书(COA)

Lot/Batch Number

没有发现合适的版本?

如果您需要特殊版本,可通过批号或批次号查找具体证书。

已有该产品?

在文件库中查找您最近购买产品的文档。

访问文档库


实验方案

Subcellular protein location often correlates with function; nucleus proteins implicated in gene regulation, mitochondria proteins in energy production.

相关内容

Prestige Antibodies Immunofluorescence Procedure


Carlos Bueno et al.
PloS one, 11(4), e0153262-e0153262 (2016-04-12)
Dysfunctions of MeCP2 protein lead to various neurological disorders such as Rett syndrome and Autism. The exact functions of MeCP2 protein is still far from clear. At a molecular level, there exist contradictory data. MeCP2 protein is considered a single
Charlotte Stadler et al.
Nature methods, 10(4), 315-323 (2013-02-26)
Imaging techniques such as immunofluorescence (IF) and the expression of fluorescent protein (FP) fusions are widely used to investigate the subcellular distribution of proteins. Here we report a systematic analysis of >500 human proteins comparing the localizations obtained in live
Hanna-Mari Koskimaa et al.
Cancer epidemiology, biomarkers & prevention : a publication of the American Association for Cancer Research, cosponsored by the American Society of Preventive Oncology, 19(8), 2003-2012 (2010-07-22)
Human papillomavirus can induce a stepwise progression of precursor lesions to carcinoma. Sensitive and specific molecular markers are needed to identify the cervical lesions (CIN) at risk for this progression. hTERT activation could be one indicator of a point of



全球贸易项目编号

货号GTIN
HPA000593-25UL04061842764693
HPA000593-100UL04061836317645