跳转至内容
Merck
CN

HPA048982

抗-CD68 兔抗

Prestige Antibodies® Powered by Atlas Antibodies, affinity isolated antibody, buffered aqueous glycerol solution

别名:

抗-CD68分子, 抗-DKFZp686M18236, 抗-GP110, 抗-LAMP4, 抗-巨唾液酸蛋白

登录 查看组织和合同定价。

选择尺寸

变更视图

关于此项目

UNSPSC Code:
12352203
NACRES:
NA.41
Human Protein Atlas Number:
Conjugate:
unconjugated
Clone:
polyclonal
Application:
IHC
Citations:
29
技术服务
需要帮助?我们经验丰富的科学家团队随时乐意为您服务。
让我们为您提供帮助


biological source

rabbit

Quality Level

conjugate

unconjugated

antibody form

affinity isolated antibody

antibody product type

primary antibodies

clone

polyclonal

product line

Prestige Antibodies® Powered by Atlas Antibodies

form

buffered aqueous glycerol solution

species reactivity

human

enhanced validation

RNAi knockdown
orthogonal RNAseq
Learn more about Antibody Enhanced Validation

technique(s)

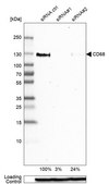
immunoblotting: 0.04-0.4 μg/mL, immunohistochemistry: 1:2500-1:5000

immunogen sequence

SPTSKETIGDYTWTNGSQPCVHLQAQIQIRVMYTTQGGGEAWGISVLNPNKTKVQGSCEGAHPHLLLSFPYG

UniProt accession no.

application(s)

research pathology

shipped in

wet ice

storage temp.

−20°C

target post-translational modification

unmodified

Gene Information

human ... CD68(968)

General description

编码CD68(分化簇68)的基因位于人类染色体17p13。它的基因编码macrosialin糖蛋白。编码的蛋白属于LAMP(溶酶体相关膜糖蛋白)家族蛋白。Macrosialin是一种清道夫受体,含有糖基化粘蛋白样结构域。

Immunogen

CD68分子重组蛋白表位标记标签(PrEST)

Application

成功使用该抗体的应用以及相关的同行评审论文如下所示。
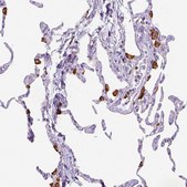
免疫组织化学(1篇论文)
由Atlas Antibodies提供技术支持的所有Prestige Antibodies抗体均由人类蛋白质图集(HPA)项目开发和验证,因此受到业内最广泛的表征支持。

人类蛋白质图集项目可以分为三大部分: 人体组织图谱、癌症图谱和人类细胞图谱。在组织和癌症图谱项目支持下产生的抗体已通过对数百种正常和疾病组织的免疫组织化学分析得到了验证,并且通过近期人类细胞图谱项目的努力,许多抗体已经过免疫荧光分析的表征,从而绘制人类蛋白质组图谱,不仅是在组织水平上,现在已经达到亚细胞水平。在人类蛋白质图集项目网站上单击图像库链接,可以查看这些图像和庞大的数据集。我们还提供Prestige Antibodies® 抗体的实验方案和其他有用信息。

Biochem/physiol Actions

CD68(分化簇68)参与阿尔茨海默病的进展。它可作为肿瘤细胞的预后标记物(prognostic marker)。现已确知CD68基因的缺失导致骨吸收能力下降。

Features and Benefits

Prestige Antibodies®是经过高度表征和广泛验证的抗体,同时还有一个优点是其每个靶标的所有可用表征数据都可以通过位于此页面顶部产品名称下方的人类蛋白质图谱门户进行访问。Prestige Antibodies®对其他蛋白质的独特性和低交叉反应性是通过严密的抗原区域选择、亲和纯化和严格的选择来实现的。针对每一个Prestige Antibody都存在有对应的Prestige抗原对照,并可在链接区域内找到。

每个Prestige Antibody都是按照以下方法进行测试的:
  • 44例正常人类组织以及20例最常见癌症类型组织的IHC组织阵列。
  • 364个人类重组蛋白片段的蛋白阵列。

Physical form

在含有 40% 甘油和 0.02% 叠氮化钠的磷酸盐缓冲盐水(pH 7.2)中的溶液。

Other Notes

相应抗原APREST85088

Legal Information

Prestige Antibodies is a registered trademark of Merck KGaA, Darmstadt, Germany

Disclaimer

除非我们的产品目录或产品附带的其他公司文档另有说明,否则我们的产品仅供研究使用,不得用于任何其他目的,包括但不限于未经授权的商业用途、体外诊断用途、离体或体内治疗用途或任何类型的消费或应用于人类或动物。


Still not finding the right product?

Explore all of our products under 抗-CD68 兔抗

或者

试用我们的 产品选型工具 工具缩小选择范围


存储类别

10 - Combustible liquids

wgk

WGK 1

flash_point_f

Not applicable

flash_point_c

Not applicable

法规信息

常规特殊物品
低风险生物材料

此项目有



历史批次信息供参考:

分析证书(COA)

Lot/Batch Number

没有发现合适的版本?

如果您需要特殊版本,可通过批号或批次号查找具体证书。

已有该产品?

在文件库中查找您最近购买产品的文档。

访问文档库


相关内容

抗体的质量决定了整个免疫检测的成败, 是在选择抗体时首选的考虑因素。基于Sigma®、Chemicon®、Upstate®、Mil l ipore®、 Calbiochem®和Novagen®等子品牌的强强联合,默克在创新的 免疫原设计、免疫、挑选、筛选和验证等方面有着数十年的经验, 创造出许多被广泛使用的抗体,如4G10,Neun,组蛋白修饰等抗 体都是相关领域的“金标”抗体。 我们的技术和科研背景使默克成为高质量抗体的主要设计者和生产 者,而不仅仅是经销商。毋庸置疑,我们的每个小瓶中的抗体都包 含着大量的科学研究成果。


Netrin-1 is associated with macrophage infiltration and polarization in human epicardial adipose tissue in coronary artery disease
Gurses KM, et al.
Journal of Cardiology, 69(6) (2017)
Laura L Swystun et al.
The Journal of clinical investigation, 128(9), 4057-4073 (2018-08-21)
Quantitative abnormalities of the von Willebrand factor-factor VIII (VWF-FVIII) complex associate with inherited bleeding or thrombotic disorders. Receptor-mediated interactions between plasma VWF-FVIII and phagocytic or immune cells can influence their hemostatic and immunogenic activities. Genetic association studies have demonstrated that
Fulvio D'Angelo et al.
Nature medicine, 25(1), 176-187 (2018-12-12)
Neurofibromatosis type 1 (NF1) is a common tumor predisposition syndrome in which glioma is one of the prevalent tumors. Gliomagenesis in NF1 results in a heterogeneous spectrum of low- to high-grade neoplasms occurring during the entire lifespan of patients. The



全球贸易项目编号

货号GTIN
HPA048982-100UL04061837130816