跳转至内容
Merck
CN

ZRB1101

Anti-OCT4 Antibody, clone 4N8, ZooMAb® Rabbit Monoclonal

greener alternative

recombinant, expressed in HEK 293 cells

登录 查看组织和合同定价。

选择尺寸

变更视图

关于此项目

NACRES:
NA.41
UNSPSC Code:
12352203
Conjugate:
unconjugated
Clone:
4N8, recombinant monoclonal
Application:
FACS, ICC, IHC (p), WB
Citations:
-
技术服务
需要帮助?我们经验丰富的科学家团队随时乐意为您服务。
让我们为您提供帮助


biological source

rabbit (recombinant)

Quality Level

recombinant

expressed in HEK 293 cells

conjugate

unconjugated

antibody form

purified antibody

antibody product type

primary antibodies

clone

4N8, recombinant monoclonal

product line

ZooMAb® learn more

form

lyophilized

mol wt

calculated mol wt 38.57 kDa, observed mol wt ~42 kDa

species reactivity

human, mouse

packaging

antibody small pack of 25 μL

greener alternative product characteristics

Waste Prevention
Designing Safer Chemicals
Design for Energy Efficiency
Learn more about the Principles of Green Chemistry.

enhanced validation

recombinant expression
Learn more about Antibody Enhanced Validation

sustainability

Greener Alternative Product

technique(s)

flow cytometry: suitable, immunocytochemistry: suitable, immunohistochemistry (formalin-fixed, paraffin-embedded sections): suitable, western blot: suitable (peptide)

isotype

IgG

UniProt accession no.

greener alternative category

shipped in

ambient

storage temp.

2-8°C

target post-translational modification

unmodified

Gene Information

human ... POU5F1(5460)
mouse ... Pou5F1(18999)

General description

POU domain, class 5, transcription factor 1 (UniProt: Q01860 also known as Octamer-binding protein 3, Oct-3, Octamer-binding protein 4, OCT4, Octamer-binding transcription factor 3, OTF-3) is encoded by the POU5F1 (also known as OCT3, OCT4, and OTF3) (Gene ID: 5460) in human. OCT4 is a transcription factor that binds to the octamer motif (5′-ATTTGCAT-3′). It forms a trimeric complex with SOX2 on DNA and controls the expression of several genes involved in embryonic development such as YES1, FGF4, UTF1 and ZFP206. It is shown to be critical for early embryogenesis and for embryonic stem cell pluripotency. OCT4 is highly expressed in undifferentiated embryonic stem cells and its expression decreases gradually after embryoid body (EB) formation. In humans two isoforms of OCT4 have been described that are generated by alternative splicing. The isoforms, OCT4-IA (360 amino acids) and OCT4-IB (265 amino acids) have identical C-terminal (225 amino acids), but differ in sequence at their N- terminal region. It has been reported that OCT4-IA is essential to sustain stem cell self-renewal and OCT4-IB is not related to stemness. OCT4 contains a POU-specific domain (aa 138-212) that mediates its interaction with pyruvate kinase isozyme type M2 (PKM2), which regulates its transcriptional activity in as positive manner. Human Oct-4 can undergo phosphorylation by protein kinase A and/or ERK at a highly conserved serine 236 within the POU DNA-binding homeodomain. Phosphorylation at this site sterically hinders both its DNA binding and homodimer assembly. OCT4 can undergo sumoylation that enhances its stability, DNA binding and transactivation activity. WWP2, an E3 ubiquitin ligase is shown to specifically interact with OCT4 through its tryptophan-based WW domains, which promotes its ubiquitination and proteasomal degradation. This ZooMAb recombinant monoclonal antibody, generated by our propriety technology, offers significantly enhanced specificity, affinity, reproducibility, and stability over conventional monoclonals. (Ref.: Lee, J., et al. (2008). Int. J. Biochem. Cell Biol. 40(5); 1043-54; Zeineddine, D., et al. (2014). Am. J. Stem Cells. 3(2);74-82).
We are committed to bringing you greener alternative products, which adhere to one or more of The 12 Principles of Green Chemistry.This antibody is Preservative-free, produced without the harm or sacrifice of animals and exceptionally stable to allow for ambient shipping and storage if needed and thus aligns with "Waste Prevention", "Designing Safer Chemicals" and "Design for Energy Efficiency". Click here for more information.
ZooMAb antibodies represent an entirely new generation of recombinant monoclonal antibodies.

Each ZooMAb antibody is manufactured using our proprietary recombinant expression system, purified to homogeneity, and precisely dispensed to produce robust and highly reproducible lot-to-lot consistency. Only top-performing clones are released for use by researchers. Each antibody is validated for high specificity and affinity across multiple applications, including its most commonly used application. ZooMAb antibodies are reliably available and ready to ship when you need them.

Learn more about ZooMAb here.

Immunogen

His-tagged recombinant fragment corresponding to the first 134 amino acids from human Octamer-binding protein 4 (OCT4).

Application

Anti-OCT4, clone 4N8 ZooMAb , Cat. No. ZRB1101, is a highly specific recombinant rabbit monoclonal antibody that detects OCT4 and has been tested for use in Flow Cytometry, Immunocytochemistry, Immunohistochemistry (Paraffin), and Western Blotting.
Immunocytochemistry Analysis: A 1:100 dilution from a representative lot detected OCT4 in NTERA2 cell line.

Flow Cytometry Analysis: 1 μg from a representative lot detected OCT4 in NTERA2 cells.

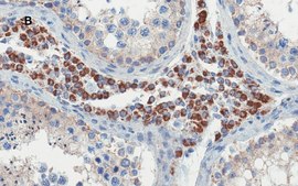
Immunohistochemistry (Paraffin) Analysis: A 1:100 dilution from a representative lot detected OCT4 in human testis tissue sections.

Note: Actual optimal working dilutions must be determined by end user as specimens, and experimental conditions may vary with the end user.

Biochem/physiol Actions

Clone 4N8 is a ZooMAb rabbit recombinant monoclonal antibody that specifically detects Octamer-binding protein 4 (OCT4) in human and mouse tissues. It targets an epitope with in the N-terminal region.

Physical form

Purified recombinant rabbit monoclonal antibody IgG, lyophilized in PBS with 5% Trehalose. Normal appearance is a coarse or translucent resin. Contains no biocide or preservatives, such as azide, or any animal by-products. Larger pack sizes provided as multiples of 25 μL.

Preparation Note

Recommend storage of lyophilized product at 2-8°C; Before reconstitution, micro-centrifuge vials briefly to spin down material to bottom of the vial; Reconstitute each vial by adding 25 μL of filtered lab grade water or PBS; Reconstituted antibodies can be stored at 2-8°C, or -20°C for long term storage. Avoid repeated freeze-thaws.
Reconstitute lyophilized antibody pellet with 25μL of ultrapure water or Phosphate Buffered Saline (PBS). Please refer to our reconstitution protocol and the specific application guidance on the suggested starting dilutions and sample type.

Legal Information

ZooMAb is a registered trademark of Merck KGaA, Darmstadt, Germany

Disclaimer

Unless otherwise stated in our catalog or other company documentation accompanying the product(s), our products are intended for research use only and are not to be used for any other purpose, which includes but is not limited to, unauthorized commercial uses, in vitro diagnostic uses, ex vivo or in vivo therapeutic uses or any type of consumption or application to humans or animals.


Still not finding the right product?

试用我们的 产品选型工具 工具缩小选择范围


存储类别

11 - Combustible Solids

wgk

WGK 2

flash_point_f

Not applicable

flash_point_c

Not applicable

法规信息

常规特殊物品
常规特殊物品

此项目有



历史批次信息供参考:

分析证书(COA)

Lot/Batch Number

没有发现合适的版本?

如果您需要特殊版本,可通过批号或批次号查找具体证书。

已有该产品?

在文件库中查找您最近购买产品的文档。

访问文档库