biological source
rabbit (recombinant)
Quality Level
recombinant
expressed in HEK 293 cells
conjugate
unconjugated
antibody form
purified antibody
antibody product type
primary antibodies
clone
1N12, recombinant monoclonal
product line
ZooMAb® learn more
form
lyophilized
mol wt
calculated mol wt 184.65 kDa, observed mol wt ~185 kDa
species reactivity
mouse, human
packaging
antibody small pack of 25 μL
greener alternative product characteristics
Waste Prevention
Designing Safer Chemicals
Design for Energy Efficiency
Learn more about the Principles of Green Chemistry.
enhanced validation
recombinant expression
Learn more about Antibody Enhanced Validation
sustainability
Greener Alternative Product
technique(s)
immunocytochemistry: suitable, immunohistochemistry (formalin-fixed, paraffin-embedded sections): suitable, western blot: suitable (peptide)
isotype
IgG
UniProt accession no.
greener alternative category
, Aligned
shipped in
ambient
storage temp.
2-8°C
target post-translational modification
unmodified
Gene Information
human ... SMARCA4(6597)
General description
Transcription activator BRG1 (UniProt: P51532; also known as ATP-dependent helicase, SMARCA4, BRG1-associated factor 190A, BAF190A, Mitotic growth and transcription activator, Protein BRG-1, Protein brahma homolog 1, SNF2-beta, SWI/SNF-related matrix-associated actin-dependent regulator of chromatin subfamily A member 4) is encoded by the SMARCA4 (also known as BAF190A, BRG1, SNF2B, SNF2L4) gene (Gene ID: 6597) in human. BRG1 is a component of the multiprotein chromatin-remodeling complexes SWI/SNF: SWI/SNF-A (BAF), SWI/SNF-B (PBAF) and related complexes. The SWI/SNF complexes contain 10-12 interchangeable subunits, with either BRG1/SMARCA4 or BRM/SMARCA2 as the ATPase subunit. These complexes drive conformational changes of nucleosomes in an ATP-dependent manner and play important roles in cell-cycle progression, DNA repair, and development. BRG1 is shown to maintain Polycomb-mediated repression of non-mesodermal developmental regulators. Studies have shown that BRG1 knockout leads to disruption of murine ESC cardiomyocyte differentiation and dysregulation of lineage-specific gene expression during mesoderm induction. Mutations in SMARCA4/BRG1 gene can cause rhabdoid tumor predisposition syndrome 2 that predisposes subject to renal or extrarenal malignant rhabdoid tumors. This ZooMAb recombinant monoclonal antibody, generated by our propriety technology, offers significantly enhanced specificity, affinity, reproducibility, and stability over conventional monoclonals.
We are committed to bringing you greener alternative products, which adhere to one or more of The 12 Principles of Green Chemistry.This antibody is Preservative-free, produced without the harm or sacrifice of animals and exceptionally stable to allow for ambient shipping and storage if needed and thus aligns with "Waste Prevention", "Designing Safer Chemicals" and "Design for Energy Efficiency". Click here for more information.
ZooMAb antibodies represent an entirely new generation of recombinant monoclonal antibodies.
Each ZooMAb antibody is manufactured using our proprietary recombinant expression system, purified to homogeneity, and precisely dispensed to produce robust and highly reproducible lot-to-lot consistency. Only top-performing clones are released for use by researchers. Each antibody is validated for high specificity and affinity across multiple applications, including its most commonly used application. ZooMAb antibodies are reliably available and ready to ship when you need them.
Learn more about ZooMAb here.
Each ZooMAb antibody is manufactured using our proprietary recombinant expression system, purified to homogeneity, and precisely dispensed to produce robust and highly reproducible lot-to-lot consistency. Only top-performing clones are released for use by researchers. Each antibody is validated for high specificity and affinity across multiple applications, including its most commonly used application. ZooMAb antibodies are reliably available and ready to ship when you need them.
Learn more about ZooMAb here.
Immunogen
His-tagged recombinant fragment corresponding to 65 amino acids from the N-terminal region of human Transcription activator BRG1.
Application
Anti-BRG1, clone 1N12 ZooMAb, Cat. No. ZRB1148, is a highly specific recombinant rabbit monoclonal antibody that specifically targets Transcription activator BRG1 and has been tested for use in Immunocytochemistry, Immunohistochemistry (Paraffin), and Western Blotting.
Western Blotting Analysis: A 1:1,000 dilution from a representative lot detected BRG1 in HeLa cells nuclear extract.
Immunocytochemistry Analysis: A 1:100 dilution from a representative lot detected BRG1 in HeLa, A431, HUVEC, and NIH 3T3 cells.
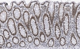
Immunohistochemistry (Paraffin) Analysis: A 1:100 dilution from a representative lot detected BRG1 in human colon and mouse colon tissue sections.
Note: Actual optimal working dilutions must be determined by the end user as specimens and experimental conditions may vary.
Immunocytochemistry Analysis: A 1:100 dilution from a representative lot detected BRG1 in HeLa, A431, HUVEC, and NIH 3T3 cells.
Immunohistochemistry (Paraffin) Analysis: A 1:100 dilution from a representative lot detected BRG1 in human colon and mouse colon tissue sections.
Note: Actual optimal working dilutions must be determined by the end user as specimens and experimental conditions may vary.
Biochem/physiol Actions
Clone 1N12 is a ZooMAb rabbit recombinant monoclonal antibody that specifically detects Transcription activator BRG1. It targets an epitope within 65 amino acids from the N-terminal region.
Physical form
Purified recombinant rabbit monoclonal antibody IgG, lyophilized in PBS with 5% Trehalose. Normal appearance is a coarse or translucent resin. Contains no biocide or preservatives, such as azide, or any animal by-products. Larger pack sizes provided as multiples of 25 μL.
Preparation Note
Recommend storage of lyophilized product at 2-8°C; Before reconstitution, micro-centrifuge vials briefly to spin down material to bottom of the vial; Reconstitute each vial by adding 25 μL of filtered lab grade water or PBS; Reconstituted antibodies can be stored at 2-8°C, or -20°C for long term storage. Avoid repeated freeze-thaws.
Reconstitute lyophilized antibody pellet with 25μL of ultrapure water or Phosphate Buffered Saline (PBS). Please refer to our reconstitution protocol and the specific application guidance on the suggested starting dilutions and sample type.
Legal Information
ZooMAb is a registered trademark of Merck KGaA, Darmstadt, Germany
Disclaimer
Unless otherwise stated in our catalog or other company documentation accompanying the product(s), our products are intended for research use only and are not to be used for any other purpose, which includes but is not limited to, unauthorized commercial uses, in vitro diagnostic uses, ex vivo or in vivo therapeutic uses or any type of consumption or application to humans or animals.
Still not finding the right product?
试用我们的 产品选型工具 工具缩小选择范围
存储类别
11 - Combustible Solids
wgk
WGK 2
flash_point_f
Not applicable
flash_point_c
Not applicable
法规信息
常规特殊物品
常规特殊物品
此项目有