跳转至内容
Merck
CN

ZRB1525

Anti-Dopamine Transporter Antibody, clone 1D2 ZooMAb® Rabbit Monoclonal

greener alternative

recombinant, expressed in HEK 293 cells

别名:

DA transporter, DAT, Sodium-dependent dopamine transporter, Solute carrier family 6 member 3

登录 查看组织和合同定价。

选择尺寸

变更视图

关于此项目

NACRES:
NA.43
UNSPSC Code:
12352203
Conjugate:
unconjugated
Clone:
1D2, monoclonal, recombinant monoclonal
Application:
IHC (p), WB, affinity binding assay
Citations:
-
技术服务
需要帮助?我们经验丰富的科学家团队随时乐意为您服务。
让我们为您提供帮助


biological source

rabbit

Quality Level

recombinant

expressed in HEK 293 cells

conjugate

unconjugated

antibody form

purified antibody

antibody product type

primary antibodies

clone

1D2, monoclonal, recombinant monoclonal

product line

ZooMAb® learn more

form

lyophilized

mol wt

calculated mol wt 68.49 kDa, observed mol wt ~65 kDa

species reactivity

mouse, rat

species reactivity (predicted by homology)

human

packaging

antibody small pack of 25 μL

greener alternative product characteristics

Waste Prevention
Designing Safer Chemicals
Design for Energy Efficiency
Learn more about the Principles of Green Chemistry.

enhanced validation

recombinant expression
Learn more about Antibody Enhanced Validation

sustainability

Greener Alternative Product

technique(s)

affinity binding assay: suitable, immunohistochemistry (formalin-fixed, paraffin-embedded sections): suitable, western blot: suitable

isotype

IgG

UniProt accession no.

greener alternative category

shipped in

ambient

storage temp.

2-8°C

target post-translational modification

unmodified

Gene Information

human ... SLC6A3(6531)
mouse ... Slc6A3(13162)
rat ... Slc6A3(24898)

General description

Sodium-dependent dopamine transporter (UniProt: Q01959; also known as DA transporter, DAT, Solute carrier family 6 member 3) is encoded by the SLC6A3 (also known DAT1) gene (Gene ID: 6531) in human. Dopamine transporter is a multi-pass membrane protein with one extracellular domain (aa 161-237), two cytoplasmic domains (aa 1-68 and 589-620), and twelve transmembrane domains. It serves as an sodium/chloride-dependent amine transporter protein that pumps dopamine out of the synaptic cleft back into cytosol and terminates the effects of dopamine. It is shown to be highly expressed in substantia nigra. The dopamine transporter has been a target of several drugs, including psychostimulants, such as amphetamine and cocaine and is also subject to short- and long-term regulation by several drugs and mechanisms. Mutations in SCL6A3 gene are known to cause Infantile Parkinsonism-dystonia that is characterized by infantile onset of parkinsonism and dystonia along with global developmental delay and bradykinesia. Mice deficient in dopamine transporter exhibit reduced bone mass due to diminished cancellous bone volume, increased trabecular spacing, and reduced trabecular volume. This ZooMAb recombinant monoclonal antibody, generated by our propriety technology, offers significantly enhanced specificity, affinity, reproducibility, and stability over conventional monoclonals.
We are committed to bringing you greener alternative products, which adhere to one or more of The 12 Principles of Green Chemistry.This antibody is Preservative-free, produced without the harm or sacrifice of animals and exceptionally stable to allow for ambient shipping and storage if needed and thus aligns with "Waste Prevention", "Designing Safer Chemicals" and "Design for Energy Efficiency". Click here for more information.
ZooMAb antibodies represent an entirely new generation of recombinant monoclonal antibodies.

Each ZooMAb antibody is manufactured using our proprietary recombinant expression system, purified to homogeneity, and precisely dispensed to produce robust and highly reproducible lot-to-lot consistency. Only top-performing clones are released for use by researchers. Each antibody is validated for high specificity and affinity across multiple applications, including its most commonly used application. ZooMAb antibodies are reliably available and ready to ship when you need them.

Learn more about ZooMAb here.

Immunogen

KLH-conjugated linear peptide corresponding to 18 amino acids from the N-terminal region of human Dopamine transporter.

Application

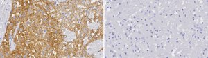
Immunohistochemistry (Paraffin) Analysis: A 1:100 dilution from a representative lot detected Dopamine Transporter in mouse brain and rat brain tissue sections.

Affinity Binding Assay: A representative lot of this antibody bound human Dopamine Transporter peptide with a KD of 2.4 x 10-8 in an affinity binding assay.

Note: Actual optimal working dilutions must be determined by end user as specimens, and experimental conditions may vary with the end user
Anti-Dopamine Transporter, clone 1D2 ZooMAb, Cat. No. ZRB1525, is a recombinant Rabbit monoclonal antibody that targets Dopamine Transporter (DAT) and is tested Affinity Binding Assay, Immunohistochemistry (Paraffin), and Western Blotting.

Biochem/physiol Actions

Clone 1D2 is a ZooMAb rabbit recombinant monoclonal antibody that specifically detects Dopamine transporter. It targets an epitope within 18 amino acids from the N-terminal region.

Physical form

Purified recombinant rabbit monoclonal antibody IgG, lyophilized in PBS with 5% Trehalose, normal appearance a coarse or translucent resin. Contains no biocide or preservatives, such as azide, or any animal by-products. Larger pack sizes provided as multiples of 25 μL.

Preparation Note

Recommend storage of lyophilized product at 2-8°C; Before reconstitution, micro-centrifuge vials briefly to spin down material to bottom of the vial; Reconstitute each vial by adding 25 μL of filtered lab grade water or PBS; Reconstituted antibodies can be stored at 2-8°C, or -20°C for long term storage. Avoid repeated freeze-thaws.
Reconstitute lyophilized antibody pellet with 25μL of ultrapure water or Phosphate Buffered Saline (PBS). Please refer to our reconstitution protocol and the specific application guidance on the suggested starting dilutions and sample type.

Legal Information

ZooMAb is a registered trademark of Merck KGaA, Darmstadt, Germany

Disclaimer

Unless otherwise stated in our catalog or other company documentation accompanying the product(s), our products are intended for research use only and are not to be used for any other purpose, which includes but is not limited to, unauthorized commercial uses, in vitro diagnostic uses, ex vivo or in vivo therapeutic uses or any type of consumption or application to humans or animals.


Still not finding the right product?

试用我们的 产品选型工具 工具缩小选择范围


存储类别

11 - Combustible Solids

wgk

WGK 1

法规信息

常规特殊物品

此项目有



历史批次信息供参考:

分析证书(COA)

Lot/Batch Number

没有发现合适的版本?

如果您需要特殊版本,可通过批号或批次号查找具体证书。

已有该产品?

在文件库中查找您最近购买产品的文档。

访问文档库



全球贸易项目编号

货号GTIN
ZRB1525-4X25UL04061842162659
ZRB1525-25UL04061842162642