跳转至内容
Merck
CN

ZRB1675

Anti-BRCA1 Antibody, clone 2C15 ZooMAb® Rabbit Monoclonal

greener alternative

recombinant, expressed in HEK 293 cells

别名:

Breast cancer type 1 susceptibility protein

登录 查看组织和合同定价。

选择尺寸

变更视图

关于此项目

NACRES:
NA.41
UNSPSC Code:
12352203
Conjugate:
unconjugated
Clone:
2C15, recombinant monoclonal
Application:
ICC, IHC (p), WB, affinity binding assay
Citations:
-
技术服务
需要帮助?我们经验丰富的科学家团队随时乐意为您服务。
让我们为您提供帮助


biological source

rabbit

Quality Level

recombinant

expressed in HEK 293 cells

conjugate

unconjugated

antibody form

purified antibody

antibody product type

primary antibodies

clone

2C15, recombinant monoclonal

description

recombinant, expressed in HEK 293 cells

product line

ZooMAb® learn more

form

lyophilized

mol wt

calculated mol wt 207.72 kDa, observed mol wt ~200 kDa

purified by

using Protein A

species reactivity

human, mouse

packaging

antibody small pack of 25 μL

greener alternative product characteristics

Waste Prevention
Designing Safer Chemicals
Design for Energy Efficiency
Learn more about the Principles of Green Chemistry.

enhanced validation

recombinant expression
Learn more about Antibody Enhanced Validation

sustainability

Greener Alternative Product

technique(s)

affinity binding assay: suitable, immunocytochemistry: suitable, immunohistochemistry (formalin-fixed, paraffin-embedded sections): suitable, western blot: suitable

isotype

IgG

epitope sequence

C-terminal

Protein ID accession no.

UniProt accession no.

greener alternative category

shipped in

ambient

storage temp.

2-8°C

target post-translational modification

unmodified

Gene Information

human ... BRCA1(672)

General description

Breast cancer type 1 susceptibility protein (UniProt: P38398; also known as EC:2.3.2.27, RING finger protein 53, RING-type E3 ubiquitin transferase BRCA1) is encoded by the BRCA1 (also known as RNF53) gene (Gene ID: 672) in human. BRCA1 and BRCA2 are important in maintaining genomic stability by promoting efficient and precise repair of double-strand breaks. BRCA1 is expressed in all cells and plays a broader role in various cellular processes in response to DNA damage. It promotes the protection of nascent DNA at stalled replication forks independently of the canonical BRCA1-PALB2 interaction. Its recruitment to DNA damage sites is mediated by ABRAXAS1 and the BRCA1-A complex. BRCA1 contains two BRCT domains (aa 1642-1736 and 1756-1855) that recognize and bind phosphorylated pSXXF motif on proteins. The interaction with the phosphorylated pSXXF motif of ABRAXAS1 recruits BRCA1 at DNA damage sites. BRCA1 is reported to exist as a heterodimeric complex with BARD1, a structurally related protein that also contains a N-terminal RING-finger domain and two C-terminal BRCT motifs. This heterodimer regulates the localization and loading of RAD51 at break sites through PALB2-BRCA2. Their association is mediated through their respective RING domains, and together they exhibit E3 ubiquitin ligase activity, which can be disrupted by mutations within the RING domain of BRCA1. BRCA1 and BARD1 are shown to be phosphorylated at residues that are located close to the site of interaction between BARD1 and RAD51 (Ser148 on BARD1 and Ser114 on BRCA1) and Ser114 phosphorylation promotes BRCA1 interaction with PIN1. PIN1 increases interactions between the BRCA1-BARD1 complex and RAD51 resulting in recruitment of RAD51 to stalled replication forks and enhance protection of the nascent DNA strand. Cells lacking BRCA1 show defects in DNA repair by homologous recombination. Mutations in BRCA1 gene have been linked to breast and ovarian cancers. A vast majority of inherited breast cancers result from mutations in the BRCA 1 gene. Male subjects with BRCA1 mutations exhibit about 3-fold increase in risk of prostate cancer. This ZooMAb® recombinant monoclonal antibody, generated by our propriety technology, offers significantly enhanced specificity, affinity, reproducibility, and stability over conventional monoclonals. (Ref.: Daza-Martin, M., et al. (2019). Nature. 571(7766); 521-527; Gudumundsdottir, K., and Ashworth, A. (2006). Oncogene 25; 5864-5874).
We are committed to bringing you greener alternative products, which adhere to one or more of The 12 Principles of Green Chemistry.This antibody is Preservative-free, produced without the harm or sacrifice of animals and exceptionally stable to allow for ambient shipping and storage if needed and thus aligns with "Waste Prevention", "Designing Safer Chemicals" and "Design for Energy Efficiency". Click here for more information.
ZooMAb® antibodies represent an entirely new generation of recombinant monoclonal antibodies.

Each ZooMAb® antibody is manufactured using our proprietary recombinant expression system, purified to homogeneity, and precisely dispensed to produce robust and highly reproducible lot-to-lot consistency. Only top-performing clones are released for use by researchers. Each antibody is validated for high specificity and affinity across multiple applications, including its most commonly used application. ZooMAb® antibodies are reliably available and ready to ship when you need them.

Immunogen

KLH-conjugated linear peptide corresponding to 22 amino acids from the C-terminal region of human Breast cancer type 1 susceptibility protein (BRCA1).

Application

Quality Control Testing

Evaluated by Western Blotting in SK-BR-3 cell lysate.

Western Blotting Analysis (WB): A 1:1,000 dilution of this antibody detected BRCA1 in SK-BR-3 cell lysate.

Tested applications

Western Blotting Analysis: A 1:1,000 dilution from a representative lot detected BRCA1 in NIH3T3 cell lysate.

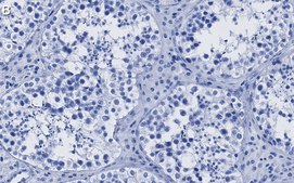
Immunohistochemistry (Paraffin) Analysis: A 1:100 dilution from a representative lot detected BRCA1 in human testis tissue sections.

Affinity Binding Assay:: A representative lot of this antibody bound BRCA 1 with a KD of 9.5 x 10-10 in an affinity binding assay.

Immunocytochemistry Analysis: A 1:100 dilution from a representative lot detected BRCA1 in MCF7 cells.

Note: Actual optimal working dilutions must be determined by end user as specimens, and experimental conditions may vary with the end user

Biochem/physiol Actions

Clone ZooMAb® Rabbit recombinant monoclonal antibody that specifically detects BRCA1. It targets an epitope within 22 amino acids from the C-terminal region.

Physical form

Purified recombinant rabbit monoclonal antibody IgG, lyophilized in PBS, 5% Trehalose, normal appearance a coarse or translucent resin. The PBS/trehalose components in the ZooMAb formulation can have the appearance of a semi-solid (bead like gel) after lyophilization. This is a normal phenomenon. Please follow the recommended reconstitution procedure in the data sheet to dissolve the semi-solid, bead-like, gel-appearing material. The resulting antibody solution is completely stable and functional as proven by full functional testing. Contains no biocide or preservatives, such as azide, or any animal by-products. Larger pack sizes provided as multiples of 25 μL.

Preparation Note

Recommend storage of lyophilized product at 2-8°C; Before reconstitution, micro-centrifuge vials briefly to spin down material to bottom of the vial; Reconstitute each vial by adding 25 μL of filtered lab grade water or PBS; Reconstituted antibodies can be stored at 2-8°C, or -20°C for long term storage. Avoid repeated freeze-thaws.
Reconstitute lyophilized antibody pellet with 25μL of ultrapure water or Phosphate Buffered Saline (PBS). Please refer to our reconstitution protocol and the specific application guidance on the suggested starting dilutions and sample type.

Legal Information

ZooMAb is a registered trademark of Merck KGaA, Darmstadt, Germany

Disclaimer

Unless otherwise stated in our catalog or other company documentation accompanying the product(s), our products are intended for research use only and are not to be used for any other purpose, which includes but is not limited to, unauthorized commercial uses, in vitro diagnostic uses, ex vivo or in vivo therapeutic uses or any type of consumption or application to humans or animals.


Still not finding the right product?

试用我们的 产品选型工具 工具缩小选择范围


存储类别

13 - Non Combustible Solids

wgk

WGK 1

flash_point_f

Not applicable

flash_point_c

Not applicable

法规信息

常规特殊物品

此项目有



历史批次信息供参考:

分析证书(COA)

Lot/Batch Number

It looks like we've run into a problem, but you can still download Certificates of Analysis from our 文件 section.

如需帮助,请联系 客户支持

已有该产品?

在文件库中查找您最近购买产品的文档。

访问文档库


商品

Learn about the hallmarks of cancer and find reliable ZooMAb® recombinant antibodies to study them, conveniently organized by cancer hallmark.





全球贸易项目编号

货号GTIN
ZRB1675-4X25UL04065267788241
ZRB1675-25UL04065267788234