跳转至内容
Merck
CN

ZRB2290

Anti-MAP2 Antibody, clone 3C19, ZooMAb® Rabbit Monoclonal

greener alternative

recombinant, expressed in HEK 293 cells

别名:

Microtubule-associated protein 2

登录 查看组织和合同定价。

选择尺寸

变更视图

关于此项目

NACRES:
NA.43
UNSPSC Code:
12352203
Conjugate:
unconjugated
Clone:
3C19, monoclonal, recombinant monoclonal
Application:
ICC, IHC (p), WB
Citations:
-
技术服务
需要帮助?我们经验丰富的科学家团队随时乐意为您服务。
让我们为您提供帮助


biological source

rabbit (recombinant)

Quality Level

recombinant

expressed in HEK 293 cells

conjugate

unconjugated

antibody form

purified antibody

antibody product type

primary antibodies

clone

3C19, monoclonal, recombinant monoclonal

description

3C19 Clone

product line

ZooMAb® learn more

form

lyophilized

mol wt

calculated mol wt 199.53 kDa, observed mol wt ~260 kDa

species reactivity

rat, mouse, human

packaging

antibody small pack of 25 μL

greener alternative product characteristics

Waste Prevention
Designing Safer Chemicals
Design for Energy Efficiency
Learn more about the Principles of Green Chemistry.

enhanced validation

recombinant expression
Learn more about Antibody Enhanced Validation

sustainability

Greener Alternative Product

technique(s)

immunocytochemistry: suitable using 1:100, immunohistochemistry (formalin-fixed, paraffin-embedded sections): suitable using 1:100, western blot: suitable using 1:1,000

isotype

IgG

UniProt accession no.

greener alternative category

shipped in

ambient

storage temp.

2-8°C

target post-translational modification

unmodified

Gene Information

human ... MAP2(4133)

General description

Microtubule-associated protein 2 (UniProt: P11137; also known as MAP-2) is encoded by the MAP2 gene (Gene ID: 4133) in human. MAPs are a family of thermostable cytoskeletal proteins that bind to and stabilize microtubules. MAP4 is expressed ubiquitously while MAP1 and MAP2 are expressed primarily in neurons. MAP2 is an abundant neuronal cytoskeletal protein that binds to tubulin and stabilizes microtubules against depolymerization. In the central nervous system, MAP2 is confined to neuronal cell bodies and dendrites. However, some axons may also have small amounts of MAP2. It is shown to be essential for the development and maintenance of neuronal morphology. Three primary isoforms of MAP-2, the high molecular weight MAP2a and MAP2b, and the low molecular weight MAP2c (resulting from alternate splicing of the MAP2 gene) have been identified in neurons. The low molecular weight isoform, MAP2c, is expressed in developing brain and is down-regulated during brain maturation, whereas the high molecular weight MAP2b is expressed in both developing and adult brain. The MAP2a appears only after brain maturation. All these forms bind to microtubules through a domain near the carboxyl terminus that contains either three or four similar repeats of a 31-amino-acid motif. MAP2 can be phosphorylated at serine residues in K-X-G-S motifs by MAP/microtubule affinity-regulating kinase (MARK1 or MARK2) that causes its detachment from microtubules and results in their disassembly. This ZooMAb recombinant monoclonal antibody, generated by our propriety technology, offers significantly enhanced specificity, affinity, reproducibility, and stability over conventional monoclonals.
We are committed to bringing you greener alternative products, which adhere to one or more of The 12 Principles of Green Chemistry.This antibody is Preservative-free, produced without the harm or sacrifice of animals and exceptionally stable to allow for ambient shipping and storage if needed and thus aligns with "Waste Prevention", "Designing Safer Chemicals" and "Design for Energy Efficiency". Click here for more information.
ZooMAb antibodies represent an entirely new generation of recombinant monoclonal antibodies.

Each ZooMAb antibody is manufactured using our proprietary recombinant expression system, purified to homogeneity, and precisely dispensed to produce robust and highly reproducible lot-to-lot consistency. Only top-performing clones are released for use by researchers. Each antibody is validated for high specificity and affinity across multiple applications, including its most commonly used application. ZooMAb antibodies are reliably available and ready to ship when you need them.

Learn more about ZooMAb here.

Immunogen

KLH-conjugated linear peptide corresponding to 17 amino acids from the C-terminal half of human Microtubule-associated protein 2 (MAP2).

Application

Anti-MAP2, clone 3C19 ZooMAb, Cat. No. ZRB2290, is a recombinant Rabbit Monoclonal Antibody that specifically targets Microtubule-associated protein 2 (MAP2) and has been tested for use in Immunocytochemistry, Immunohistochemistry (Paraffin), and Western Blotting.
Western Blotting Analysis: A 1:1,000 dilution from a representative lot detected MAP2 in mouse brain tissue lysate.

Immunocytochemistry Analysis: A 1:100 dilution from a representative lot detected MAP2 in E18 cortical cells.

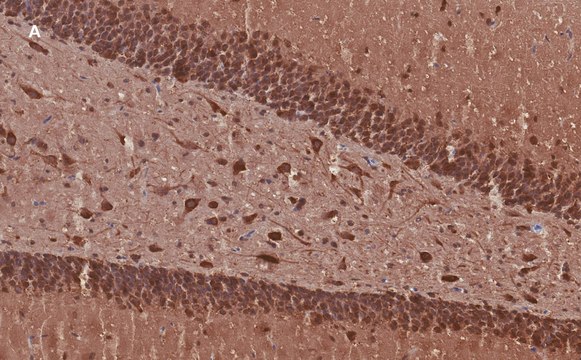
Immunohistochemistry (Paraffin) Analysis: A 1:100 dilution from a representative lot detected MAP2 in rat brain, mouse brain, human brain and in rat kidney tissue sections.

Biochem/physiol Actions

Clone 3C19 is a ZooMAb rabbit recombinant monoclonal antibody that specifically detects human Microtubule-associated protein 2. It targets an epitope with in 17 amino acids from the C-terminal half.

Physical form

Purified recombinant rabbit monoclonal antibody IgG, lyophilized in PBS with 5% Trehalose, normal appearance a coarse or translucent resin. Contains no biocide or preservatives, such as azide, or any animal by-products. Larger pack sizes provided as multiples of 25 μL.

Preparation Note

Recommend storage of lyophilized product at 2-8°C; Before reconstitution, micro-centrifuge vials briefly to spin down material to bottom of the vial; Reconstitute each vial by adding 25 μL of filtered lab grade water or PBS; Reconstituted antibodies can be stored at 2-8°C, or -20°C for long term storage. Avoid repeated freeze-thaws.
Reconstitute lyophilized antibody pellet with 25μL of ultrapure water or Phosphate Buffered Saline (PBS). Please refer to our reconstitution protocol and the specific application guidance on the suggested starting dilutions and sample type.

Legal Information

ZooMAb is a registered trademark of Merck KGaA, Darmstadt, Germany

Disclaimer

Unless otherwise stated in our catalog or other company documentation accompanying the product(s), our products are intended for research use only and are not to be used for any other purpose, which includes but is not limited to, unauthorized commercial uses, in vitro diagnostic uses, ex vivo or in vivo therapeutic uses or any type of consumption or application to humans or animals.


Still not finding the right product?

试用我们的 产品选型工具 工具缩小选择范围


wgk

WGK 1

存储类别

11 - Combustible Solids

flash_point_f

Not applicable

flash_point_c

Not applicable

法规信息

常规特殊物品
常规特殊物品

此项目有



历史批次信息供参考:

分析证书(COA)

Lot/Batch Number

没有发现合适的版本?

如果您需要特殊版本,可通过批号或批次号查找具体证书。

已有该产品?

在文件库中查找您最近购买产品的文档。

访问文档库


实验方案

Follow this short antibody reconstitution protocol and see how easy it is to reconstitute ZooMAb® recombinant antibodies.