跳转至内容
Merck
CN

ZRB2383

抗-GFAP抗体,克隆2E8,ZooMAb®兔单克隆抗体

greener alternative

recombinant, expressed in HEK 293 cells

别名:

GFAP

登录 查看组织和合同定价。

选择尺寸

变更视图

关于此项目

NACRES:
NA.43
UNSPSC Code:
12352203
Conjugate:
unconjugated
Clone:
2E8, monoclonal, recombinant monoclonal
Application:
ICC, IF, IHC (p), WB
Citations:
-
技术服务
需要帮助?我们经验丰富的科学家团队随时乐意为您服务。
让我们为您提供帮助


biological source

rabbit (recombinant)

Quality Level

recombinant

expressed in HEK 293 cells

conjugate

unconjugated

antibody form

purified antibody

antibody product type

primary antibodies

clone

2E8, monoclonal, recombinant monoclonal

description

2E8 Clone

product line

ZooMAb® learn more

form

lyophilized

mol wt

calculated mol wt 49.88 kDa, observed mol wt ~51 kDa

species reactivity

human, rat, mouse

packaging

antibody small pack of 25 μL

greener alternative product characteristics

Waste Prevention
Designing Safer Chemicals
Design for Energy Efficiency
Learn more about the Principles of Green Chemistry.

enhanced validation

recombinant expression
Learn more about Antibody Enhanced Validation

sustainability

Greener Alternative Product

technique(s)

immunocytochemistry: suitable using 1:100, immunofluorescence: suitable using 1:100, immunohistochemistry (formalin-fixed, paraffin-embedded sections): suitable using 1:100, western blot: suitable using 1:1,000

isotype

IgG

UniProt accession no.

greener alternative category

shipped in

ambient

storage temp.

2-8°C

target post-translational modification

unmodified

Gene Information

human ... GFAP(2670)

General description

ZooMAb抗体代表了新一代的重组单克隆抗体。

每个ZooMAb抗体均使用我们专有的重组表达系统制造,纯化均一,并精确分配以产生可靠且高度可重复的批次间一致性。只发布性能最高的克隆供研究人员使用。每种抗体在多种应用(包括其最常用的应用)中均具有高度特异性和亲和力。ZooMAb抗体通过可靠的程序进行制备,并在您需要时可随时发货。

在此处了解有关ZooMAb的更多信息。
我们致力于遵循绿色化学12原则中的一个或多个原则,为您提供更环保的替代产品。这种抗体不含防腐剂,生产时不会伤害或牺牲动物,化学性质稳定,可以在需要时进行环境运输和储存,因此符合“废物产生预防”,“设计更安全的化学品”和“设计节能”规范。 点击此处以获取更多信息。
胶质原纤维酸性蛋白(UniProt:P14136;又称GFAP)是由人的GFAP基因(基因ID:2670)所编码的。GFAP是一种III类中间丝,可作为细胞特异性标记物,可将星形胶质细胞与其他神经胶质细胞区分开。在中枢神经系统外未检测到GFAP。它在缺乏纤连蛋白的细胞中表达。GFAP是星形胶质细胞损伤的良好标志,其水平持续上调。在啮齿动物和人类中,GFAP水平也显示出随着年龄的增长而上调。因此,它可以作为大脑衰老的替代标志。GFAP具有相对较慢的代谢更新速率,这与其结构作用是一致的。GFAP由三个不同的区域组成:N端头部区域,中心ROD区域和C端尾部区域。ROD区域在中间丝蛋白之间高度保守。但是,头部和尾部区域的大小和氨基酸序列可以有很大差异。已经描述了通过选择性剪接产生的GFAP的三种不同亚型。已知GFAP基因的突变会导致亚历山大病,其特征是中央髓鞘逐渐衰竭,通常在头十年内导致死亡。通过我们的专有技术生成的ZooMAb重组单克隆抗体与常规单克隆抗体相比,具有明显增强的特异性、亲和力、可重复性和稳定性。

Immunogen

KLH偶联的线性肽,对应人神经胶质纤维酸性蛋白(GFAP)的C端区域的11个氨基酸。

Application

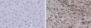
免疫荧光分析:代表性批次的1:100稀释液在人脑和大鼠脑组织切片中检测到GFAP。

免疫细胞化学分析:代表性批次的1:100稀释液在C6胶质母细胞瘤细胞和大鼠神经胶质前体细胞的原代培养物中检测到GFAP。

免疫组织化学(石蜡)分析:代表性批次的1:100稀释液在大鼠脑和人脑组织切片中检测到GFAP。
抗GFAP,克隆2E8,ZooMAb,目录号ZRB2383,是一种重组兔单克隆抗体,可特异性靶向神经胶质纤维酸性蛋白(GFAP),并已测试可用于免疫细胞化学、免疫组织化学(石蜡)、免疫荧光和蛋白质印迹。

Biochem/physiol Actions

克隆2E8是一种ZooMAb兔重组单克隆抗体,可特异性检测神经胶质纤维酸性蛋白(GFAP)。它靶向C端区域的11个氨基酸的表位。

Physical form

纯化的重组兔单克隆抗体IgG,在含有5%海藻糖的PBS中冻干,外观正常,为粗糙或半透明的树脂状。不含抗微生物剂或防腐剂(例如叠氮化物)或任何动物副产品。较大的包装尺寸以25 μL的倍数形式提供。

Preparation Note

建议将冻干产品在2-8℃下储存;复溶前,将微量离心管瓶短暂离心以将内容物离心至管瓶底部;通过添加25 μL过滤后的实验室级水或PBS来复溶每个小瓶;复溶的抗体可在2-8℃下储存或-20℃下长期储存。 避免反复冻融。
Reconstitute lyophilized antibody pellet with 25μL of ultrapure water or Phosphate Buffered Saline (PBS). Please refer to our reconstitution protocol and the specific application guidance on the suggested starting dilutions and sample type.

Legal Information

ZooMAb is a registered trademark of Merck KGaA, Darmstadt, Germany

Disclaimer

除非我们的产品目录或产品附带的其他公司文档另有说明,否则我们的产品仅供研究使用,不得用于任何其他目的,包括但不限于未经授权的商业用途、体外诊断用途、离体或体内治疗用途或任何类型的消费或应用于人类或动物。


Still not finding the right product?

试用我们的 产品选型工具 工具缩小选择范围


存储类别

11 - Combustible Solids

wgk

WGK 1

flash_point_f

Not applicable

flash_point_c

Not applicable

法规信息

常规特殊物品
常规特殊物品

此项目有



历史批次信息供参考:

分析证书(COA)

Lot/Batch Number

没有发现合适的版本?

如果您需要特殊版本,可通过批号或批次号查找具体证书。

已有该产品?

在文件库中查找您最近购买产品的文档。

访问文档库


相关内容

选择更绿色环保的ZooMAb® 重组抗体,助力科研可持续发展。该重组抗体不含BSA和载体,采用低废料的包装运输,可在不影响性能的情况下最大限度提高稳定性。

Greener ZooMAb® antibodies offer sustainable options with low-waste packaging and BSA-free formulation.