跳转至内容
Merck
CN

A4979

Anti-Water Channel Aquaporin 5 antibody produced in rabbit

affinity isolated antibody, lyophilized powder

别名:

Anti-AQP-5, Anti-PPKB

登录 查看组织和合同定价。

选择尺寸

变更视图

关于此项目

UNSPSC Code:
12352203
NACRES:
NA.41
MDL number:
Conjugate:
unconjugated
Clone:
polyclonal
Application:
WB
Citations:
7
技术服务
需要帮助?我们经验丰富的科学家团队随时乐意为您服务。
让我们为您提供帮助


biological source

rabbit

Quality Level

conjugate

unconjugated

antibody form

affinity isolated antibody

antibody product type

primary antibodies

clone

polyclonal

form

lyophilized powder

species reactivity

mouse, rat

technique(s)

western blot: 1:200-1:500 using mouse salivary gland and rat lung

UniProt accession no.

shipped in

dry ice

storage temp.

−20°C

target post-translational modification

unmodified

Gene Information

mouse ... Aqp5(11830)
rat ... Aqp5(25241)

General description

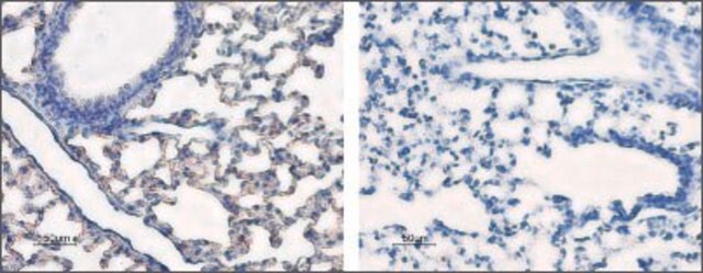
Anti-Water Channel Aquaporin 5 binds to aquaporin 5 from mouse salivary gland and rat lung membranes.
Aquaporin-5 is part of a family of aquaporins that function to transport water across cell membranes. AQP5 is involved in tear, saliva, and sweat production.
Aquaporins are a family of small integral membrane proteins related to the major intrinsic protein (MIP or AQP0).

Immunogen

peptide corresponding to residues 251-265 of rat AQP5. The sequence is identical in mouse and 10/16 residues identical in human.

Application

Rabbit Anti-Water Channel Aquaporin 5 antibody can be used for western blot at a dilution of 1:200-1:500 using mouse salivary gland and rat lung tissue extracts.

Physical form

Lyophilized from phosphate buffered saline, pH 7.4, 1% BSA, ≤0.1% sodium azide.

Disclaimer

Unless otherwise stated in our catalog or other company documentation accompanying the product(s), our products are intended for research use only and are not to be used for any other purpose, which includes but is not limited to, unauthorized commercial uses, in vitro diagnostic uses, ex vivo or in vivo therapeutic uses or any type of consumption or application to humans or animals.


Still not finding the right product?

试用我们的 产品选型工具 工具缩小选择范围


存储类别

10 - Combustible liquids

wgk

WGK 2

flash_point_f

Not applicable

flash_point_c

Not applicable

法规信息

常规特殊物品
低风险生物材料

此项目有



历史批次信息供参考:

分析证书(COA)

Lot/Batch Number

没有发现合适的版本?

如果您需要特殊版本,可通过批号或批次号查找具体证书。

已有该产品?

在文件库中查找您最近购买产品的文档。

访问文档库


相关内容


Christian Müller et al.
The Journal of experimental biology, 209(Pt 20), 4067-4076 (2006-10-07)
Using primers against highly conserved regions of mammalian and bird aquaporins in RT-PCR experiments, we amplified products derived from duck (Anas platyrhynchos) nasal gland RNA that were identified as homologues of mammalian and chicken aquaporin 1 and aquaporin 5 cDNAs
A S Verkman et al.
American journal of physiology. Renal physiology, 278(1), F13-F28 (2000-02-08)
The aquaporins (AQPs) are a family of small membrane-spanning proteins (monomer size approximately 30 kDa) that are expressed at plasma membranes in many cells types involved in fluid transport. This review is focused on the molecular structure and function of
J W Snuggs et al.
Scientific reports, 11(1), 3164-3164 (2021-02-06)
The central region of the intervertebral disc (IVD) is rich in proteoglycans, leading to a hyperosmotic environment, which fluctuates with daily loading. The cells of the nucleus pulposus (NP cells) have adapted to this environment via the function of tonicity



全球贸易项目编号

货号GTIN
A4979-200UL04061838102270
A4979-50UL04061838160768