跳转至内容
Merck
CN

AV30074

Anti-EEA1 antibody produced in rabbit

affinity isolated antibody

别名:

Anti-Early endosome antigen 1

登录 查看组织和合同定价。

选择尺寸

变更视图

关于此项目

NACRES:
NA.41
UNSPSC Code:
12352203
Conjugate:
unconjugated
Clone:
polyclonal
Application:
IHC, IP, WB
Citations:
5
技术服务
需要帮助?我们经验丰富的科学家团队随时乐意为您服务。
让我们为您提供帮助


biological source

rabbit

Quality Level

conjugate

unconjugated

antibody form

affinity isolated antibody

antibody product type

primary antibodies

clone

polyclonal

form

buffered aqueous solution

mol wt

162 kDa

species reactivity

human

concentration

0.5 mg - 1 mg/mL

technique(s)

immunohistochemistry: suitable, immunoprecipitation (IP): suitable, western blot: suitable

NCBI accession no.

UniProt accession no.

shipped in

wet ice

storage temp.

−20°C

target post-translational modification

unmodified

Gene Information

human ... EEA1(8411)

General description

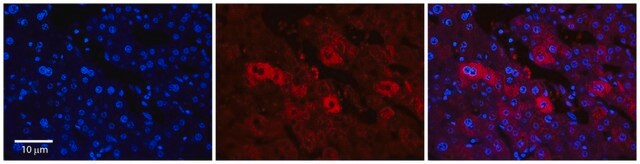
Early Endosome Antigen1 (EEA1) is a conserved protein that regulates vesicular transport of proteins in early endosomes. Rabbit Anti-EEA1 antibody recognizes mouse and human EEA1.

Immunogen

Synthetic peptide directed towards the N terminal region of human EEA1

Application

Rabbit Anti-EEA1 antibody can be used for western blot (0.6μg/ml) applications.

Biochem/physiol Actions

EEA1 is involved in neuronal synaptic vesicle function and axonal transport and growth. EEA1 may undergo calcium-dependent conformational changes that are required for binding to SNAP-25.

Physical form

Purified antibody supplied in 1x PBS buffer with 0.09% (w/v) sodium azide and 2% sucrose.

Other Notes

Synthetic peptide located within the following region: LTENLLKKEQDYTKLEEKHNEESVSKKNIQATLHQKDLDCQQLQSRLSAS

Disclaimer

Unless otherwise stated in our catalog or other company documentation accompanying the product(s), our products are intended for research use only and are not to be used for any other purpose, which includes but is not limited to, unauthorized commercial uses, in vitro diagnostic uses, ex vivo or in vivo therapeutic uses or any type of consumption or application to humans or animals.


Still not finding the right product?

Explore all of our products under

或者

试用我们的 产品选型工具 工具缩小选择范围


存储类别

10 - Combustible liquids

wgk

WGK 3

flash_point_f

Not applicable

flash_point_c

Not applicable

法规信息

常规特殊物品

此项目有



历史批次信息供参考:

分析证书(COA)

Lot/Batch Number

没有发现合适的版本?

如果您需要特殊版本,可通过批号或批次号查找具体证书。

已有该产品?

在文件库中查找您最近购买产品的文档。

访问文档库



F T Mu et al.
The Journal of biological chemistry, 270(22), 13503-13511 (1995-06-02)
Early endosomes are cellular compartments receiving endocytosed material and sorting them for vesicular transport to late endosomes and lysosomes or for recycling to the plasma membrane. We have cloned a human cDNA encoding an evolutionarily conserved 180-kDa protein on early
M de Graauw et al.
Oncogene, 33(20), 2610-2619 (2013-06-25)
Enhanced epidermal growth factor receptor (EGFR) activity has been strongly linked to breast cancer progression and mediators of EGFR endocytosis may well be involved. We developed a semi-automated high-content fluorescence microscopy-based EGFR endocytosis screen to identify proteins that mediate EGFR
Mahdi Mojallal et al.
Nature communications, 5, 4557-4557 (2014-08-02)
The establishment and maintenance of apical-basal cell polarity is essential for the functionality of glandular epithelia. Cell polarity is often lost in advanced tumours correlating with acquisition of invasive and malignant properties. Despite extensive knowledge regarding the formation and maintenance



全球贸易项目编号

货号GTIN
AV30074-100UL04061836189129