跳转至内容
Merck
CN

AV32512

Anti-HEY1 antibody produced in rabbit

IgG fraction of antiserum

别名:

Anti-Hairy/enhancer-of-split related with YRPW motif 1

登录 查看组织和合同定价。

选择尺寸

变更视图

关于此项目

NACRES:
NA.41
UNSPSC Code:
12352203
Clone:
polyclonal
Species reactivity:
human
Application:
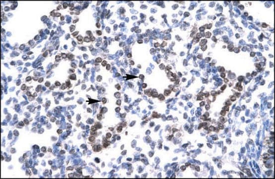
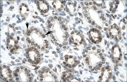
IHC, WB
Citations:
-
技术服务
需要帮助?我们经验丰富的科学家团队随时乐意为您服务。
让我们为您提供帮助


antibody form

IgG fraction of antiserum

Quality Level

antibody product type

primary antibodies

clone

polyclonal

form

buffered aqueous solution

mol wt

32 kDa

species reactivity

human

concentration

0.5 mg - 1 mg/mL

technique(s)

immunohistochemistry: suitable, western blot: suitable

NCBI accession no.

UniProt accession no.

shipped in

wet ice

storage temp.

−20°C

target post-translational modification

unmodified

Gene Information

human ... HEY1(23462)

General description

Hairy/enhancer-of-split related with YRPW motif 1 (HEY1, HESR1, HERP2, HRT1, CHF2), a basic helix-loop-helix (bHLH)-type transcription factor/repressor, is a downstream effector of Notch and c-Jun signaling. HEY1/HESR1 is involved in the regulation of cardiovascular, skeletal muscle, osteoblast, osteoclast, chondrocyte and neural development. HEY1/HESR1 is a repressor of myoblast differentiation/myogenesis and human dopamine transporter (DAT1) gene expression.

Immunogen

Synthetic peptide directed towards the C-terminal region of Human HEY1

Application

Rabbit polyclonal anti-HEY1/HESR1 antibody is used to tag Hairy/enhancer-of-split related with YRPW motif 1 for detection and quantitation by immunocytochemical and immunohistochemical (IHC) techniques. It is used as a probe to determine the presence and roles of Hairy/enhancer-of-split related with YRPW motif 1 in cardiovascular, skeletal muscle, osteoblast, osteoclast, chondrocyte and neural development.

Biochem/physiol Actions

Hairy/enhancer of split-related proteins, such as HEY1, are basic helix-loop-helix (bHLH) transcription factors implicated in cell fate decision and boundary formation. HEY genes are direct transcriptional targets of the Notch signaling pathways in Drosophila and vertebrates.
Rabbit polyclonal anti-HEY1/HESR1 antibody reacts with human, mouse, rat, bovine, and canine Hairy/enhancer-of-split related with YRPW motif 1 transcription factors.

Physical form

Purified antibody supplied in 1x PBS buffer with 0.09% (w/v) sodium azide and 2% sucrose.

Other Notes

Synthetic peptide located within the following region: PQNGHGNAGTTASPTEPHHQGRLGSAHPEAPALRAPPSGSFGPVLPVVTS

Disclaimer

Unless otherwise stated in our catalog or other company documentation accompanying the product(s), our products are intended for research use only and are not to be used for any other purpose, which includes but is not limited to, unauthorized commercial uses, in vitro diagnostic uses, ex vivo or in vivo therapeutic uses or any type of consumption or application to humans or animals.


Still not finding the right product?

Explore all of our products under

或者

试用我们的 产品选型工具 工具缩小选择范围


存储类别

10 - Combustible liquids

wgk

WGK 1

flash_point_f

Not applicable

flash_point_c

Not applicable

法规信息

低风险生物材料
常规特殊物品

此项目有



历史批次信息供参考:

分析证书(COA)

Lot/Batch Number

没有发现合适的版本?

如果您需要特殊版本,可通过批号或批次号查找具体证书。

已有该产品?

在文件库中查找您最近购买产品的文档。

访问文档库



全球贸易项目编号

货号GTIN
AV32512-100UL04061836179885