biological source
rabbit
Quality Level
conjugate
unconjugated
antibody form
affinity isolated antibody
antibody product type
primary antibodies
clone
polyclonal
form
buffered aqueous solution
mol wt
37 kDa
species reactivity
dog, bovine, horse, human, mouse, guinea pig, rat
concentration
0.5 mg - 1 mg/mL
technique(s)
immunohistochemistry: suitable, western blot: suitable
NCBI accession no.
UniProt accession no.
shipped in
wet ice
storage temp.
−20°C
target post-translational modification
unmodified
Gene Information
human ... PTCH1(5727)
General description
Protein patched homolog 1 (PTCH1) is the receptor for secreted sonic hedgehog ligand and belongs to the patched gene family. It is mapped to human chromosome 9q22.32. Ptch1 has 12 transmembrane regions, intracellular middle-loop domain (MLD) and C-terminal domain (CTD) essential for oligomerization.
Immunogen
Synthetic peptide directed towards the C terminal region of human PTCH1
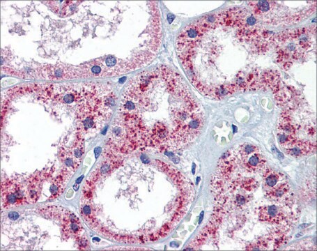
Application
Anti-PTCH1 antibody produced in rabbit has been used in Flow cytometry/Cell sorting. It is suitable for western blotting at a concentration of 0.25μg/ml and for immunohistochemistry of paraffin-embedded tissue sections at a concentration of 4-8μg/ml.
Applications in which this antibody has been used successfully, and the associated peer-reviewed papers, are given below.
Flow cytometry/Cell sorting (1 paper)
Flow cytometry/Cell sorting (1 paper)
Biochem/physiol Actions
Mutations in protein patched homolog 1(PTCH1) is implicated in autosomal dominant disorder called the Gorlin syndrome, resulting in developmental abnormalities.
PTCH1 (patched 1; PTC) activates the sonic hedgehog (Hh) signaling pathway that is involved in the development of embryonic structures. PTCH1 is a tumor suppressor that maintains the activity of GLI1, the downstream target of Hh signaling. Mutations and methylation status in PTCH1 gene result in tumorigenesis and malignancy in cancers including colorectal, gastric, melanoma and osteosarcoma.
Physical form
Purified antibody supplied in 1x PBS buffer with 0.09% (w/v) sodium azide and 2% sucrose.
Other Notes
Synthetic peptide located within the following region: TILGVLNGLVLLPVLLSFFGPYPEVSPANGLNRLPTPSPEPPPSVVRFAM
Disclaimer
Unless otherwise stated in our catalog or other company documentation accompanying the product(s), our products are intended for research use only and are not to be used for any other purpose, which includes but is not limited to, unauthorized commercial uses, in vitro diagnostic uses, ex vivo or in vivo therapeutic uses or any type of consumption or application to humans or animals.
存储类别
10 - Combustible liquids
wgk
WGK 3
flash_point_f
Not applicable
flash_point_c
Not applicable
法规信息
常规特殊物品
低风险生物材料
此项目有
Swan Hwang et al.
PloS one, 8(7), e68271-e68271 (2013-08-13)
The sonic hedgehog (Shh) signaling pathway is necessary for a variety of development and differentiation during embryogenesis as well as maintenance and renascence of diverse adult tissues. However, an abnormal activation of the signaling pathway is related to various cancers.
Gorlin syndrome patient with large deletion in 9q22. 32-q22. 33 detected by quantitative multiplex fluorescent PCR
Musani V, et al.
Dermatology (Basel, Switzerland), 219(2), 111-118 (2009)
The protein-specific activities of the transmembrane modules of Ptch1 and Ptch2 are determined by their adjacent protein domains
Fleet AJ and Hamel PA
The Journal of Biological Chemistry, 293(43), 16583-16595 (2018)
全球贸易项目编号
| 货号 | GTIN |
|---|---|
| AV44249-100UL | 04061836213053 |