biological source
rabbit
Quality Level
conjugate
unconjugated
antibody form
affinity isolated antibody
antibody product type
primary antibodies
clone
polyclonal
product line
Prestige Antibodies® Powered by Atlas Antibodies
form
buffered aqueous glycerol solution
species reactivity
rat, human, mouse
enhanced validation
RNAi knockdown
independent
Learn more about Antibody Enhanced Validation
technique(s)
immunoblotting: 0.04-0.4 μg/mL, immunofluorescence: 0.25-2 μg/mL, immunohistochemistry: 1:500-1:1000
immunogen sequence
TSPSPKAGAATGRIVAVIGAVVDVQFDEGLPPILNALEVQGRETRLVLEVAQHLGESTVRTIAMDGTEGLVRGQKVLDSGAPIKIPVGPETLGRIMNVIGEPIDERGPIKTKQFAPIHAEAPEFMEMSVEQEILVTGIKVVD
shipped in
wet ice
storage temp.
−20°C
target post-translational modification
unmodified
Gene Information
human ... ATP5B(506)
General description
ATP5B gene is located on human chromosome 12q13.3. It is located in the inner mitochondrial membrane and majorly expressed in heart.
Adenosine triphosphate (ATP) synthase, H+ transporting, mitochondrial F1 complex, β polypeptide (ATP5B) gene encodes a subunit of mitochondrial ATP synthase that catalyzes ATP synthesis from ADP in the presence of a proton gradient across the membrane. ATP synthase is composed of the catalytic core, F1 and the proton channel, Fo. F1 consists of three each of α and β, and one each of γ, δ and ε subunits. The gene encodes the β subunit.
Immunogen
ATP synthase subunit β, mitochondrial precursor recombinant protein epitope signature tag (PrEST)
Application
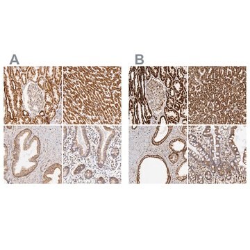
All Prestige Antibodies Powered by Atlas Antibodies are developed and validated by the Human Protein Atlas (HPA) project and as a result, are supported by the most extensive characterization in the industry.
The Human Protein Atlas project can be subdivided into three efforts: Human Tissue Atlas, Cancer Atlas, and Human Cell Atlas. The antibodies that have been generated in support of the Tissue and Cancer Atlas projects have been tested by immunohistochemistry against hundreds of normal and disease tissues and through the recent efforts of the Human Cell Atlas project, many have been characterized by immunofluorescence to map the human proteome not only at the tissue level but now at the subcellular level. These images and the collection of this vast data set can be viewed on the Human Protein Atlas (HPA) site by clicking on the Image Gallery link. We also provide Prestige Antibodies® protocols and other useful information.
The Human Protein Atlas project can be subdivided into three efforts: Human Tissue Atlas, Cancer Atlas, and Human Cell Atlas. The antibodies that have been generated in support of the Tissue and Cancer Atlas projects have been tested by immunohistochemistry against hundreds of normal and disease tissues and through the recent efforts of the Human Cell Atlas project, many have been characterized by immunofluorescence to map the human proteome not only at the tissue level but now at the subcellular level. These images and the collection of this vast data set can be viewed on the Human Protein Atlas (HPA) site by clicking on the Image Gallery link. We also provide Prestige Antibodies® protocols and other useful information.
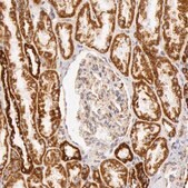
Anti-ATP5B antibody produced in rabbit has been used in immunoperoxidase (IPOX) staining.
Anti-ATP5B antibody produced in rabbit, a Prestige Antibody, is developed and validated by the Human Protein Atlas (HPA) project . Each antibody is tested by immunohistochemistry against hundreds of normal and disease tissues. These images can be viewed on the Human Protein Atlas (HPA) site by clicking on the Image Gallery link. The antibodies are also tested using immunofluorescence and western blotting. To view these protocols and other useful information about Prestige Antibodies and the HPA, visit sigma.com/prestige.
Biochem/physiol Actions
Adenosine triphosphate (ATP) synthase, H+ transporting, mitochondrial F1 complex, β polypeptide (ATP5B) is implicated in colorectal, breast, lung and hepatocellular cancer. Mutations in this gene are associated with acute myeloid leukemia, Parkinson and Huntington disease.
Features and Benefits
Prestige Antibodies® are highly characterized and extensively validated antibodies with the added benefit of all available characterization data for each target being accessible via the Human Protein Atlas portal linked just below the product name at the top of this page. The uniqueness and low cross-reactivity of the Prestige Antibodies® to other proteins are due to a thorough selection of antigen regions, affinity purification, and stringent selection. Prestige antigen controls are available for every corresponding Prestige Antibody and can be found in the linkage section.
Every Prestige Antibody is tested in the following ways:
Every Prestige Antibody is tested in the following ways:
- IHC tissue array of 44 normal human tissues and 20 of the most common cancer type tissues.
- Protein array of 364 human recombinant protein fragments.
Physical form
Solution in phosphate-buffered saline, pH 7.2, containing 40% glycerol and 0.02% sodium azide
Other Notes
Corresponding Antigen APREST84512
Legal Information
Prestige Antibodies is a registered trademark of Merck KGaA, Darmstadt, Germany
Disclaimer
Unless otherwise stated in our catalog or other company documentation accompanying the product(s), our products are intended for research use only and are not to be used for any other purpose, which includes but is not limited to, unauthorized commercial uses, in vitro diagnostic uses, ex vivo or in vivo therapeutic uses or any type of consumption or application to humans or animals.
存储类别
10 - Combustible liquids
wgk
WGK 1
ppe
Eyeshields, Gloves, multi-purpose combination respirator cartridge (US)
法规信息
常规特殊物品
低风险生物材料
此项目有
相关内容
Prestige Antibodies Immunofluorescence Procedure
ATP5B (ATP synthase, H+ transporting, mitochondrial F1 complex, beta polypeptide)
Bozgeyik E, et al.
Atlas of Genetics and Cytogenetics in Oncology and Haematology (2015)
Surrogate antigens as targets for proteome-wide binder selection.
Gustavsson, E., et al.
Nature Biotechnology, 28(4), 302-311 (2011)
Functional dyspepsia and chronic gastritis associated with enteroviruses
Chia JK, et al.
Open Journal of Gastroenterology, 5(4), 21-21 (2015)
全球贸易项目编号
| 货号 | GTIN |
|---|---|
| HPA001520-100UL | 04061837132858 |
| HPA001520-25UL | 04061842773114 |