biological source
rabbit
Quality Level
conjugate
unconjugated
antibody form
affinity isolated antibody
antibody product type
primary antibodies
clone
polyclonal
product line
Prestige Antibodies® Powered by Atlas Antibodies
form
buffered aqueous glycerol solution
species reactivity
human
technique(s)
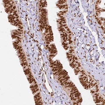
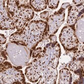
immunoblotting: 0.04-0.4 μg/mL, immunohistochemistry: 1:200-1:500
immunogen sequence
ETTDESLRSHFERWGMLTDCAVMRDPNTKRSRGFGFVTYATVEEVDAATNARPHKVDGKVVEPRRTVSREDYQRSGAHLTVKKIFVGGIKENTEKHQLRDYFEQHGKMEVIEIMTEAVARKGALPL
UniProt accession no.
shipped in
wet ice
storage temp.
−20°C
target post-translational modification
unmodified
Gene Information
human ... HNRNPA1(3178)
General description
HNRNPA1 (heterogeneous nuclear ribonucleoprotein A1) is a ribonucleoprotein, which functions as an RNA-binding protein. It can interact with both RNA and DNA, through its two nucleic acid-binding domains. It is proteolytically cleaved into a 196-amino acid protein called UP1 (unwinding protein 1). This protein retains the two parent nucleic acid-binding domains. It is one of the major RNA-binding proteins, and though it localizes to nucleus, it can shuttle to cytoplasm as well.
Immunogen
heterogeneous nuclear ribonucleoprotein A1 recombinant protein epitope signature tag (PrEST)
Application
All Prestige Antibodies Powered by Atlas Antibodies are developed and validated by the Human Protein Atlas (HPA) project and as a result, are supported by the most extensive characterization in the industry.
The Human Protein Atlas project can be subdivided into three efforts: Human Tissue Atlas, Cancer Atlas, and Human Cell Atlas. The antibodies that have been generated in support of the Tissue and Cancer Atlas projects have been tested by immunohistochemistry against hundreds of normal and disease tissues and through the recent efforts of the Human Cell Atlas project, many have been characterized by immunofluorescence to map the human proteome not only at the tissue level but now at the subcellular level. These images and the collection of this vast data set can be viewed on the Human Protein Atlas (HPA) site by clicking on the Image Gallery link. We also provide Prestige Antibodies® protocols and other useful information.
The Human Protein Atlas project can be subdivided into three efforts: Human Tissue Atlas, Cancer Atlas, and Human Cell Atlas. The antibodies that have been generated in support of the Tissue and Cancer Atlas projects have been tested by immunohistochemistry against hundreds of normal and disease tissues and through the recent efforts of the Human Cell Atlas project, many have been characterized by immunofluorescence to map the human proteome not only at the tissue level but now at the subcellular level. These images and the collection of this vast data set can be viewed on the Human Protein Atlas (HPA) site by clicking on the Image Gallery link. We also provide Prestige Antibodies® protocols and other useful information.
Biochem/physiol Actions
HNRNPA1 (heterogeneous nuclear ribonucleoprotein A1) functions in mRNA metabolism. It shuttles continuously between nucleus and cytoplasm and functions in several processes such as mRNA export, internal ribosome entry site (IRES)-mediated translation and mRNA stability. In humans, it acts as an auxiliary factor for the processing of a specific miRNA substrate by binding specifically to pri-miR-18a, the stem-loop precursor of miR-18a and regulating its Drosha-mediated processing. Defects in this gene are associated with multisystem proteinopathy and ALS (Amyotrophic lateral sclerosis 20). An alternatively spliced isoform of this protein is capable of controlling the splicing and replication of human immunodeficiency virus (HIV)-1.
Features and Benefits
Prestige Antibodies® are highly characterized and extensively validated antibodies with the added benefit of all available characterization data for each target being accessible via the Human Protein Atlas portal linked just below the product name at the top of this page. The uniqueness and low cross-reactivity of the Prestige Antibodies® to other proteins are due to a thorough selection of antigen regions, affinity purification, and stringent selection. Prestige antigen controls are available for every corresponding Prestige Antibody and can be found in the linkage section.
Every Prestige Antibody is tested in the following ways:
Every Prestige Antibody is tested in the following ways:
- IHC tissue array of 44 normal human tissues and 20 of the most common cancer type tissues.
- Protein array of 364 human recombinant protein fragments.
Physical form
Solution in phosphate buffered saline, pH 7.2, containing 40% glycerol and 0.02% sodium azide.
Other Notes
Corresponding Antigen APREST74297
Legal Information
Prestige Antibodies is a registered trademark of Merck KGaA, Darmstadt, Germany
Disclaimer
Unless otherwise stated in our catalog or other company documentation accompanying the product(s), our products are intended for research use only and are not to be used for any other purpose, which includes but is not limited to, unauthorized commercial uses, in vitro diagnostic uses, ex vivo or in vivo therapeutic uses or any type of consumption or application to humans or animals.
存储类别
10 - Combustible liquids
wgk
WGK 1
flash_point_f
Not applicable
flash_point_c
Not applicable
法规信息
新产品
此项目有
Xiaotong Gao et al.
Theranostics, 9(19), 5642-5656 (2019-09-20)
Rationale: Reciprocal interactions between leukemic cells and bone marrow mesenchymal stromal cells (BMMSC) remodel the normal niche into a malignant niche, leading to leukemia progression. Exosomes have emerged as an essential mediator of cell-cell communication. Whether leukemic exosomes involved in
Fen-Rong Chen et al.
Cancer medicine, 9(7), 2524-2534 (2020-02-14)
Recent studies have demonstrated that various long non-coding RNAs (lncRNAs) participate in the gastric cancer (GC) development and metastasis. Some lncRNAs exert their regulatory function by interacting with microRNAs. Here we identified a novel lncRNA RP11-81H3.2 that was highly expressed
Jason S Hudson et al.
Biochemistry, 53(20), 3347-3356 (2014-05-17)
The specific recognition by proteins of G-quadruplex structures provides evidence of a functional role for in vivo G-quadruplex structures. As previously reported, the ribonucleoprotein, hnRNP Al, and it is proteolytic derivative, unwinding protein 1 (UP1), bind to and destabilize G-quadruplex
全球贸易项目编号
| 货号 | GTIN |
|---|---|
| HPA001609-100UL | 04061837132988 |
| HPA001609-25UL | 04061842773480 |