跳转至内容
Merck
CN

HPA007534

Anti-PDPN antibody produced in rabbit

Prestige Antibodies® Powered by Atlas Antibodies, affinity isolated antibody, buffered aqueous glycerol solution

别名:

Anti-Aggrus, Anti-Glycoprotein 36, Anti-Gp36, Anti-PA226 antigen, Anti-Podoplanin precursor, Anti-T1-alpha, Anti-T1A

登录 查看组织和合同定价。

选择尺寸

变更视图

关于此项目

UNSPSC Code:
12352203
NACRES:
NA.43
Human Protein Atlas Number:
Conjugate:
unconjugated
Clone:
polyclonal
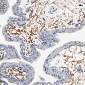
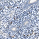
Application:
IHC
Citations:
8
技术服务
需要帮助?我们经验丰富的科学家团队随时乐意为您服务。
让我们为您提供帮助


biological source

rabbit

Quality Level

conjugate

unconjugated

antibody form

affinity isolated antibody

antibody product type

primary antibodies

clone

polyclonal

product line

Prestige Antibodies® Powered by Atlas Antibodies

form

buffered aqueous glycerol solution

species reactivity

human

enhanced validation

orthogonal RNAseq
Learn more about Antibody Enhanced Validation

technique(s)

immunoblotting: 0.04-0.4 μg/mL, immunohistochemistry: 1:500-1:1000

immunogen sequence

RLPRVWEARAPSLSGAPAPTPPAPPPSRSSRLGLWPRCFLIFPQLRILLLGPQESNNSTGTMWKVSALLFVLGSASLWVLAEGASTGQPEDDTETTGLEGGVAMPGAEDDVVTPGTSEDRYKSGLTTLVATSVNS

UniProt accession no.

shipped in

wet ice

storage temp.

−20°C

target post-translational modification

unmodified

Gene Information

human ... PDPN(10630)

General description

PDPN (podoplanin) gene is expressed as 2 transcripts of 0.9 and 2.7 kb in normal tissues including placenta, skeletal muscle, heart and lung, in humans. It has also been detected in oral squamous cell carcinomas.

Immunogen

Podoplanin precursor recombinant protein epitope signature tag (PrEST)

Application

Applications in which this antibody has been used successfully, and the associated peer-reviewed papers, are given below.
Immunohistochemistry (1 paper)

Features and Benefits

Prestige Antibodies® are highly characterized and extensively validated antibodies with the added benefit of all available characterization data for each target being accessible via the Human Protein Atlas portal linked just below the product name at the top of this page. The uniqueness and low cross-reactivity of the Prestige Antibodies® to other proteins are due to a thorough selection of antigen regions, affinity purification, and stringent selection. Prestige antigen controls are available for every corresponding Prestige Antibody and can be found in the linkage section.

Every Prestige Antibody is tested in the following ways:
  • IHC tissue array of 44 normal human tissues and 20 of the most common cancer type tissues.
  • Protein array of 364 human recombinant protein fragments.

Physical form

Solution in phosphate-buffered saline, pH 7.2, containing 40% glycerol and 0.02% sodium azide

Other Notes

Corresponding Antigen APREST79912

Legal Information

Prestige Antibodies is a registered trademark of Merck KGaA, Darmstadt, Germany

Disclaimer

Unless otherwise stated in our catalog or other company documentation accompanying the product(s), our products are intended for research use only and are not to be used for any other purpose, which includes but is not limited to, unauthorized commercial uses, in vitro diagnostic uses, ex vivo or in vivo therapeutic uses or any type of consumption or application to humans or animals.


Still not finding the right product?

Explore all of our products under

或者

试用我们的 产品选型工具 工具缩小选择范围


存储类别

10 - Combustible liquids

wgk

WGK 1

flash_point_f

Not applicable

flash_point_c

Not applicable

ppe

Eyeshields, Gloves, multi-purpose combination respirator cartridge (US)

法规信息

常规特殊物品
低风险生物材料

此项目有



历史批次信息供参考:

分析证书(COA)

Lot/Batch Number

没有发现合适的版本?

如果您需要特殊版本,可通过批号或批次号查找具体证书。

已有该产品?

在文件库中查找您最近购买产品的文档。

访问文档库



Yukinari Kato et al.
The Journal of biological chemistry, 278(51), 51599-51605 (2003-10-03)
Platelets play an important role in hemostasis, thrombosis, and antimicrobial host defense and are also involved in the induction of inflammation, tissue repair, and tumor metastasis. We have previously characterized the platelet aggregation-inducing sialoglycoprotein (Aggrus/gp44) overexpressed on the surface of
Ester Martín-Villar et al.
International journal of cancer, 113(6), 899-910 (2004-10-30)
We report the full cDNA sequence encoding the human homologue of murine PA2.26 (T1alpha-2, podoplanin), a small mucin-type transmembrane glycoprotein originally identified as a cell-surface antigen induced in keratinocytes during mouse skin carcinogenesis. The human PA2.26 gene is expressed as
Harini Krishnan et al.
The Journal of biological chemistry, 288(17), 12215-12221 (2013-03-27)
Podoplanin (PDPN) is a transmembrane receptor that affects the activities of Rho, ezrin, and other proteins to promote tumor cell motility, invasion, and metastasis. PDPN is found in many types of cancer and may serve as a tumor biomarker and



全球贸易项目编号

货号GTIN
HPA007534-25UL04061842789139
HPA007534-100UL04061836320010