跳转至内容
Merck
CN

HPA010558

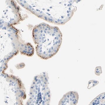
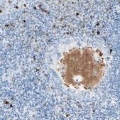
Anti-IL6ST antibody produced in rabbit

Prestige Antibodies® Powered by Atlas Antibodies, affinity isolated antibody, buffered aqueous glycerol solution

别名:

Anti-CD130 antigen antibody produced in rabbit, Anti-CDw130 antibody produced in rabbit, Anti-IL-6R-β antibody produced in rabbit, Anti-Interleukin-6 receptor subunit β precursor antibody produced in rabbit, Anti-Interleukin-6 signal transducer antibody produced in rabbit, Anti-Membrane glycoprotein 130 antibody produced in rabbit, Anti-Oncostatin-M receptor α-subunit antibody produced in rabbit, Anti-gp130 antibody produced in rabbit

登录 查看组织和合同定价。

选择尺寸

变更视图

关于此项目

UNSPSC Code:
12352203
NACRES:
NA.41
Human Protein Atlas Number:
Conjugate:
unconjugated
Clone:
polyclonal
Application:
IHC
Citations:
7
技术服务
需要帮助?我们经验丰富的科学家团队随时乐意为您服务。
让我们为您提供帮助


biological source

rabbit

Quality Level

conjugate

unconjugated

antibody form

affinity isolated antibody

antibody product type

primary antibodies

clone

polyclonal

product line

Prestige Antibodies® Powered by Atlas Antibodies

form

buffered aqueous glycerol solution

species reactivity

human

technique(s)

immunohistochemistry: 1:50- 1:200

immunogen sequence

CYLITVTPVYADGPGSPESIKAYLKQAPPSKGPTVRTKKVGKNEAVLEWDQLPVDVQNGFIRNYTIFYRTIIGNETAVNVDSSHTEYTLSSLTSDTLYMVRMAAYTDEGGKDGPEFTFTTPKFAQGEI

UniProt accession no.

shipped in

wet ice

storage temp.

−20°C

target post-translational modification

unmodified

Gene Information

human ... IL6ST(3572)

General description

IL6ST (interleukin 6 signal transducer) is produced as a polypeptide with a molecular weight of 130kDa, and its glycosylated to a form of 150kDa weight. It functions a part of receptor signaling complexes for around eight cytokines.

Immunogen

interleukin 6 signal transducer

Application

Anti-IL6ST antibody produced in rabbit, a Prestige Antibody, is developed and validated by the Human Protein Atlas (HPA) project . Each antibody is tested by immunohistochemistry against hundreds of normal and disease tissues. These images can be viewed on the Human Protein Atlas (HPA) site by clicking on the Image Gallery link. The antibodies are also tested using immunofluorescence and western blotting. To view these protocols and other useful information about Prestige Antibodies and the HPA, visit sigma.com/prestige.

Biochem/physiol Actions

Deletion mutation in IL6ST (interleukin 6 signal transducer) is linked with inflammatory hepatocellular adenoma. Mutations in this gene lead to tumorigenesis, which might be a result of dysfunctional intracellular compartment signaling. Activation of this protein follows ligand-binding, and is succeeded by activation of multiple signaling pathways including, JAK/STAT (Janus kinase/signal transducer and activator of transcription), RAS (rat sarcoma)/RAF/MAPK (mitogen activated kinase), and PI3K (phosphoinositide 3-kinase)/AKT pathways. Circulating levels of soluble IL6ST is linked with the risk of myocardial infarction.

Features and Benefits

Prestige Antibodies® are highly characterized and extensively validated antibodies with the added benefit of all available characterization data for each target being accessible via the Human Protein Atlas portal linked just below the product name at the top of this page. The uniqueness and low cross-reactivity of the Prestige Antibodies® to other proteins are due to a thorough selection of antigen regions, affinity purification, and stringent selection. Prestige antigen controls are available for every corresponding Prestige Antibody and can be found in the linkage section.

Every Prestige Antibody is tested in the following ways:
  • IHC tissue array of 44 normal human tissues and 20 of the most common cancer type tissues.
  • Protein array of 364 human recombinant protein fragments.

Physical form

Solution in phosphate-buffered saline, pH 7.2, containing 40% glycerol and 0.02% sodium azide

Other Notes

Corresponding Antigen APREST71953

Legal Information

Prestige Antibodies is a registered trademark of Merck KGaA, Darmstadt, Germany

Disclaimer

Unless otherwise stated in our catalog or other company documentation accompanying the product(s), our products are intended for research use only and are not to be used for any other purpose, which includes but is not limited to, unauthorized commercial uses, in vitro diagnostic uses, ex vivo or in vivo therapeutic uses or any type of consumption or application to humans or animals.


Still not finding the right product?

Explore all of our products under

或者

试用我们的 产品选型工具 工具缩小选择范围


存储类别

10 - Combustible liquids

wgk

WGK 1

flash_point_f

Not applicable

flash_point_c

Not applicable

ppe

Eyeshields, Gloves, multi-purpose combination respirator cartridge (US)

法规信息

常规特殊物品
低风险生物材料

此项目有



历史批次信息供参考:

分析证书(COA)

Lot/Batch Number

没有发现合适的版本?

如果您需要特殊版本,可通过批号或批次号查找具体证书。

已有该产品?

在文件库中查找您最近购买产品的文档。

访问文档库



Dirk Schmidt-Arras et al.
Journal of cell science, 127(Pt 2), 341-353 (2013-11-12)
Interleukin 6 (IL-6) and, hence, activation of the IL-6 receptor signalling subunit glycoprotein 130 (gp130; also known as interleukin-6 receptor subunit β, IL6ST), has been linked to inflammation and tumour formation. Recently, deletion mutations in gp130 have been identified in
Ilais Moreno Velásquez et al.
Atherosclerosis, 240(2), 477-481 (2015-04-25)
To investigate the association between circulating levels of the soluble interleukin 6 receptor (sIL6R) and the soluble gp130 (sgp130) with myocardial infarction (MI) and to explore the potential interaction between sIL6R and sgp130 in this association. Study population is the
Yin-Huai Chen et al.
The Journal of experimental medicine, 217(3) (2020-01-09)
The gene IL6ST encodes GP130, the common signal transducer of the IL-6 cytokine family consisting of 10 cytokines. Previous studies have identified cytokine-selective IL6ST defects that preserve LIF signaling. We describe three unrelated families with at least five affected individuals



全球贸易项目编号

货号GTIN
HPA010558-25UL04061841341680
HPA010558-100UL04061836300753