跳转至内容
Merck
CN

HPA014030

Anti-KANK4 antibody produced in rabbit

Prestige Antibodies® Powered by Atlas Antibodies, affinity isolated antibody, buffered aqueous glycerol solution

别名:

Anti-Ankyrin repeat domain-containing protein 38, Anti-KN motif and ankyrin repeat domain-containing protein 4

登录 查看组织和合同定价。

选择尺寸

变更视图

关于此项目

UNSPSC Code:
12352203
NACRES:
NA.41
Human Protein Atlas Number:
Conjugate:
unconjugated
Clone:
polyclonal
Application:
IHC, WB
Citations:
3
技术服务
需要帮助?我们经验丰富的科学家团队随时乐意为您服务。
让我们为您提供帮助


biological source

rabbit

Quality Level

conjugate

unconjugated

antibody form

affinity isolated antibody

antibody product type

primary antibodies

clone

polyclonal

product line

Prestige Antibodies® Powered by Atlas Antibodies

form

buffered aqueous glycerol solution

species reactivity

human

technique(s)

immunohistochemistry: 1:50-1:200, western blot: 0.04-0.4 μg/mL

immunogen sequence

IKAREQRIRELEFTVAQLEGQFHQENAKDTQGQTDVMVNTDPVHGLLTRESCDKGIEVNLLGSMESESWGHRGEENGLLWGPDGHKQGNQSPAERVLLPQLSLPQGPEQVLTSSVHSFLSTELRIEEAGTEQEGGPQGGTRGAGGFLWGS

UniProt accession no.

shipped in

wet ice

storage temp.

−20°C

target post-translational modification

unmodified

Gene Information

human ... KANK4(163782)

General description

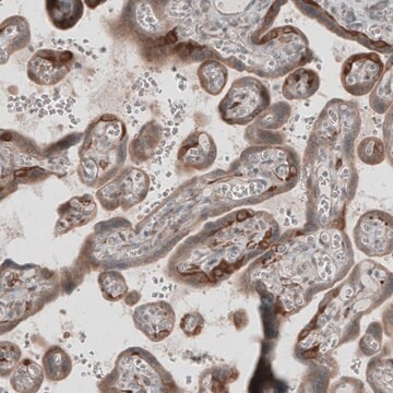
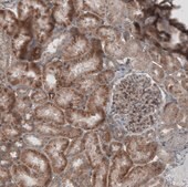
The gene KANK4 (KN motif and ankyrin repeat domains 4) encodes a member of the KANK family of proteins that contain the conserved ankyrin-repeat and coiled-coil domains at the C-terminus. The encoded protein also contains a conserved motif at the N-terminal (KN motif) containing motifs that may be involved in nuclear localization and export signals. In rat glomeruli, KANK4 is found to localize to podocyte cell bodies and primary processes. The gene is mapped to human chromosome 1.

Immunogen

KN motif and ankyrin repeat domain-containing protein 4 recombinant protein epitope signature tag (PrEST)

Application

Anti-KANK4 antibody produced in rabbit has been used for immunoprecipitation.
Anti-KANK4 antibody produced in rabbit, a Prestige Antibody, is developed and validated by the Human Protein Atlas (HPA) project . Each antibody is tested by immunohistochemistry against hundreds of normal and disease tissues. These images can be viewed on the Human Protein Atlas (HPA) site by clicking on the Image Gallery link. The antibodies are also tested using immunofluorescence and western blotting. To view these protocols and other useful information about Prestige Antibodies and the HPA, visit sigma.com/prestige.

Biochem/physiol Actions

The gene KANK4 (KN motif and ankyrin repeat domains 4) encodes a protein that may function in the formation of actin stress fibers.

Features and Benefits

Prestige Antibodies® are highly characterized and extensively validated antibodies with the added benefit of all available characterization data for each target being accessible via the Human Protein Atlas portal linked just below the product name at the top of this page. The uniqueness and low cross-reactivity of the Prestige Antibodies® to other proteins are due to a thorough selection of antigen regions, affinity purification, and stringent selection. Prestige antigen controls are available for every corresponding Prestige Antibody and can be found in the linkage section.

Every Prestige Antibody is tested in the following ways:
  • IHC tissue array of 44 normal human tissues and 20 of the most common cancer type tissues.
  • Protein array of 364 human recombinant protein fragments.

Physical form

Solution in phosphate-buffered saline, pH 7.2, containing 40% glycerol and 0.02% sodium azide

Other Notes

Corresponding Antigen APREST72620

Legal Information

Prestige Antibodies is a registered trademark of Merck KGaA, Darmstadt, Germany

Disclaimer

Unless otherwise stated in our catalog or other company documentation accompanying the product(s), our products are intended for research use only and are not to be used for any other purpose, which includes but is not limited to, unauthorized commercial uses, in vitro diagnostic uses, ex vivo or in vivo therapeutic uses or any type of consumption or application to humans or animals.


Still not finding the right product?

试用我们的 产品选型工具 工具缩小选择范围


存储类别

10 - Combustible liquids

wgk

WGK 1

flash_point_f

Not applicable

flash_point_c

Not applicable

ppe

Eyeshields, Gloves, multi-purpose combination respirator cartridge (US)

法规信息

常规特殊物品
低风险生物材料

此项目有



历史批次信息供参考:

分析证书(COA)

Lot/Batch Number

没有发现合适的版本?

如果您需要特殊版本,可通过批号或批次号查找具体证书。

已有该产品?

在文件库中查找您最近购买产品的文档。

访问文档库



Heon Yung Gee et al.
The Journal of clinical investigation, 125(6), 2375-2384 (2015-05-12)
Steroid-resistant nephrotic syndrome (SRNS) is a frequent cause of progressive renal function decline and affects millions of people. In a recent study, 30% of SRNS cases evaluated were the result of monogenic mutations in 1 of 27 different genes. Here
Yun Zhu et al.
Biochimica et biophysica acta, 1780(2), 128-133 (2007-11-13)
The human Kank gene was found as a candidate tumor suppressor for renal cell carcinoma, and encodes an ankyrin-repeat domain-containing protein, Kank. Here, we report a new family of proteins consisting of three Kank (Kank1)-associated members, Kank2, Kank3 and Kank4
Shiny Shengzhen Guo et al.
Experimental cell research, 398(1), 112391-112391 (2020-12-01)
Kidney Ankyrin Repeat-containing Proteins (KANKs) comprise a family of four evolutionary conserved proteins (KANK1 to 4) that localize to the belt of mature focal adhesions (FAs) where they regulate integrin-mediated adhesion, actomyosin contractility, and link FAs to the cortical microtubule



全球贸易项目编号

货号GTIN
HPA014030-100UL04061836320942
HPA014030-25UL04061842792979