biological source
rabbit
Quality Level
conjugate
unconjugated
antibody form
affinity isolated antibody
antibody product type
primary antibodies
clone
polyclonal
product line
Prestige Antibodies® Powered by Atlas Antibodies
form
buffered aqueous glycerol solution
species reactivity
human
enhanced validation
orthogonal RNAseq
Learn more about Antibody Enhanced Validation
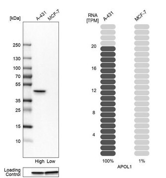
technique(s)
immunoblotting: 0.04-0.4 μg/mL, immunohistochemistry: 1:2500-1:5000
immunogen sequence
SNFLSLAGNTYQLTRGIGKDIRALRRARANLQSVPHASASRPRVTEPISAESGEQVERVNEPSILEMSRGVKLTDVAPVSFFLVLDVVYLVYESKHLHEGAKSETAEELKKVAQELEEKLNILNN
UniProt accession no.
shipped in
wet ice
storage temp.
−20°C
target post-translational modification
unmodified
Gene Information
human ... APOL1(8542)
General description
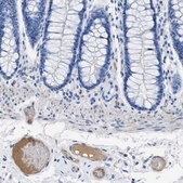
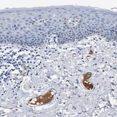
APOL1是HDL的主要载脂蛋白,在宿主防御和细胞稳态机制中发挥关键作用。APOL1功能改变会导致非洲昏睡病、脂质紊乱、精神分裂症、动脉粥样硬化、癌症和慢性肾病。 APOL1多克隆抗体可用于细胞培养和组织表征。APOL1多克隆抗体对APOL1蛋白具有特异性。它也会与人类发生特异性反应。
Immunogen
载脂蛋白-L1前体重组蛋白表位标记标签(PrEST)
Application
由Atlas Antibodies提供技术支持的所有Prestige Antibodies抗体均由人类蛋白质图集(HPA)项目开发和验证,因此受到业内最广泛的表征支持。
人类蛋白质图集项目可以分为三大部分: 人体组织图谱、癌症图谱和人类细胞图谱。在组织和癌症图谱项目支持下产生的抗体已通过对数百种正常和疾病组织的免疫组织化学分析得到了验证,并且通过近期人类细胞图谱项目的努力,许多抗体已经过免疫荧光分析的表征,从而绘制人类蛋白质组图谱,不仅是在组织水平上,现在已经达到亚细胞水平。在人类蛋白质图集项目网站上单击图像库链接,可以查看这些图像和庞大的数据集。我们还提供Prestige Antibodies® 抗体的实验方案和其他有用信息。
人类蛋白质图集项目可以分为三大部分: 人体组织图谱、癌症图谱和人类细胞图谱。在组织和癌症图谱项目支持下产生的抗体已通过对数百种正常和疾病组织的免疫组织化学分析得到了验证,并且通过近期人类细胞图谱项目的努力,许多抗体已经过免疫荧光分析的表征,从而绘制人类蛋白质组图谱,不仅是在组织水平上,现在已经达到亚细胞水平。在人类蛋白质图集项目网站上单击图像库链接,可以查看这些图像和庞大的数据集。我们还提供Prestige Antibodies® 抗体的实验方案和其他有用信息。
Features and Benefits
Prestige Antibodies®是经过高度表征和广泛验证的抗体,同时还有一个优点是其每个靶标的所有可用表征数据都可以通过位于此页面顶部产品名称下方的人类蛋白质图谱门户进行访问。Prestige Antibodies®对其他蛋白质的独特性和低交叉反应性是通过严密的抗原区域选择、亲和纯化和严格的选择来实现的。针对每一个Prestige Antibody都存在有对应的Prestige抗原对照,并可在链接区域内找到。
每个Prestige Antibody都是按照以下方法进行测试的:
每个Prestige Antibody都是按照以下方法进行测试的:
- 44例正常人类组织以及20例最常见癌症类型组织的IHC组织阵列。
- 364个人类重组蛋白片段的蛋白阵列。
Physical form
溶于磷酸盐缓冲盐水,pH 7.2,含有40%甘油和0.02%叠氮化钠
Other Notes
对应抗原APREST84510
Legal Information
Prestige Antibodies is a registered trademark of Merck KGaA, Darmstadt, Germany
Disclaimer
除非我们的产品目录或产品附带的其他公司文档另有说明,否则我们的产品仅供研究使用,不得用于任何其他目的,包括但不限于未经授权的商业用途、体外诊断用途、离体或体内治疗用途或任何类型的消费或应用于人类或动物。
Still not finding the right product?
存储类别
10 - Combustible liquids
wgk
WGK 1
flash_point_f
Not applicable
flash_point_c
Not applicable
ppe
Eyeshields, Gloves, multi-purpose combination respirator cartridge (US)
法规信息
低风险生物材料
常规特殊物品
常规特殊物品
此项目有
Frédéric Fontaine et al.
Nature microbiology, 2(11), 1500-1506 (2017-09-20)
The primate-specific serum protein apolipoprotein L1 (APOL1) is the only secreted member of a family of cell death promoting proteins 1-4 . APOL1 kills the bloodstream parasite Trypanosoma brucei brucei, but not the human sleeping sickness agents T.b. rhodesiense and
Jung-Hwa Ryu et al.
PloS one, 14(4), e0211559-e0211559 (2019-04-19)
Apolipoprotein L1 (APOL1) genetic variants G1 and G2, compared to the common allele G0, are major risk factors for non-diabetic kidney disease in African descent populations. APOL1 is a minor protein component of HDL, as well as being expressed in
Esther Liu et al.
Kidney360, 1(3), 203-215 (2020-07-14)
DNA variants in APOL1 associate with kidney disease, but the pathophysiologic mechanisms remain incompletely understood. Model organisms lack the APOL1 gene, limiting the degree to which disease states can be recapitulated. Here we present single-cell RNA sequencing (scRNA-seq) of genome-edited
全球贸易项目编号
| 货号 | GTIN |
|---|---|
| HPA018885-100UL | 04061833816202 |
| HPA018885-25UL | 04061842866335 |