biological source
rabbit
Quality Level
conjugate
unconjugated
antibody form
affinity isolated antibody
antibody product type
primary antibodies
clone
polyclonal
product line
Prestige Antibodies® Powered by Atlas Antibodies
form
buffered aqueous glycerol solution
species reactivity
human
availability
not available in USA
enhanced validation
independent
Learn more about Antibody Enhanced Validation
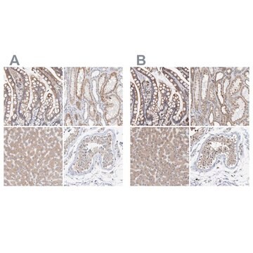
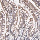
technique(s)
immunoblotting: 0.04-0.4 μg/mL, immunofluorescence: 0.25-2 μg/mL, immunohistochemistry: 1:20-1:50
immunogen sequence
SRDFDIYRLSNLMTAKGWNLNQLQFPPSIHFCITLLHARKRVAIQFLKDIRESVTQIMKNPKAKTTGMGAIYGMAQTTVDRNMVAELSSVFLDSLYSTDTVTQGSQMNGSPK
UniProt accession no.
shipped in
wet ice
storage temp.
−20°C
target post-translational modification
unmodified
Gene Information
human ... SGPL1(8879)
General description
The gene SGPL1 (sphingosine-1-phosphate lyase 1) is mapped to human chromosome 10q22. It is strongly expressed in the liver. The protein localizes in the endoplasmic reticulum.
Immunogen
Sphingosine-1-phosphate lyase 1 recombinant protein epitope signature tag (PrEST)
Application
All Prestige Antibodies Powered by Atlas Antibodies are developed and validated by the Human Protein Atlas (HPA) project and as a result, are supported by the most extensive characterization in the industry.
The Human Protein Atlas project can be subdivided into three efforts: Human Tissue Atlas, Cancer Atlas, and Human Cell Atlas. The antibodies that have been generated in support of the Tissue and Cancer Atlas projects have been tested by immunohistochemistry against hundreds of normal and disease tissues and through the recent efforts of the Human Cell Atlas project, many have been characterized by immunofluorescence to map the human proteome not only at the tissue level but now at the subcellular level. These images and the collection of this vast data set can be viewed on the Human Protein Atlas (HPA) site by clicking on the Image Gallery link. We also provide Prestige Antibodies® protocols and other useful information.
The Human Protein Atlas project can be subdivided into three efforts: Human Tissue Atlas, Cancer Atlas, and Human Cell Atlas. The antibodies that have been generated in support of the Tissue and Cancer Atlas projects have been tested by immunohistochemistry against hundreds of normal and disease tissues and through the recent efforts of the Human Cell Atlas project, many have been characterized by immunofluorescence to map the human proteome not only at the tissue level but now at the subcellular level. These images and the collection of this vast data set can be viewed on the Human Protein Atlas (HPA) site by clicking on the Image Gallery link. We also provide Prestige Antibodies® protocols and other useful information.
Biochem/physiol Actions
SGPL1 (sphingosine-1-phosphate lyase 1) cleaves phosphorylated sphingoid bases, for instance sphingenine-1-phosphate and is crucial for last step of sphingolipid breakdown. It also regulates ceramide metabolism in cells. SGPL1 is up-regulated in Alzheimer′s disease and causes deregulated sphingosine 1-phosphate signaling.
Features and Benefits
Prestige Antibodies® are highly characterized and extensively validated antibodies with the added benefit of all available characterization data for each target being accessible via the Human Protein Atlas portal linked just below the product name at the top of this page. The uniqueness and low cross-reactivity of the Prestige Antibodies® to other proteins are due to a thorough selection of antigen regions, affinity purification, and stringent selection. Prestige antigen controls are available for every corresponding Prestige Antibody and can be found in the linkage section.
Every Prestige Antibody is tested in the following ways:
Every Prestige Antibody is tested in the following ways:
- IHC tissue array of 44 normal human tissues and 20 of the most common cancer type tissues.
- Protein array of 364 human recombinant protein fragments.
Physical form
Solution in phosphate-buffered saline, pH 7.2, containing 40% glycerol and 0.02% sodium azide
Other Notes
Corresponding Antigen APREST74227
Legal Information
Prestige Antibodies is a registered trademark of Merck KGaA, Darmstadt, Germany
Disclaimer
Unless otherwise stated in our catalog or other company documentation accompanying the product(s), our products are intended for research use only and are not to be used for any other purpose, which includes but is not limited to, unauthorized commercial uses, in vitro diagnostic uses, ex vivo or in vivo therapeutic uses or any type of consumption or application to humans or animals.
存储类别
10 - Combustible liquids
wgk
WGK 1
flash_point_f
Not applicable
flash_point_c
Not applicable
法规信息
常规特殊物品
低风险生物材料
此项目有
相关内容
Prestige Antibodies Immunofluorescence Procedure
P P Van Veldhoven et al.
Biochimica et biophysica acta, 1487(2-3), 128-134 (2000-10-06)
Sphingosine-1-phosphate lyase catalyzes the last step in sphingolipid breakdown, the cleavage of phosphorylated sphingoid bases such as sphingenine-1-phosphate. The latter lipid is not only a catabolite, but can influence as an inter- and/or intracellular second messenger many cellular processes. To
Ulrike Reiss et al.
The Journal of biological chemistry, 279(2), 1281-1290 (2003-10-23)
Sphingosine-1-phosphate lyase is a widely expressed enzyme that catalyzes the essentially irreversible cleavage of the signaling molecule sphingosine 1-phosphate. To investigate whether sphingosine-1-phosphate lyase influences mammalian cell fate decisions, a recombinant human sphingosine-1-phosphate lyase fused to green fluorescent protein was
Johnatan Ceccom et al.
Acta neuropathologica communications, 2, 12-12 (2014-01-29)
The accumulation of beta amyloid (Aβ) peptides, a hallmark of Alzheimer's disease (AD) is related to mechanisms leading to neurodegeneration. Among its pleiotropic cellular effects, Aβ accumulation has been associated with a deregulation of sphingolipid metabolism. Sphingosine 1-phosphate (S1P) derived
全球贸易项目编号
| 货号 | GTIN |
|---|---|
| HPA021125-25UL | 04061842875351 |
| HPA021125-100UL | 04061837139420 |