biological source
rabbit
Quality Level
conjugate
unconjugated
antibody form
affinity isolated antibody
antibody product type
primary antibodies
clone
polyclonal
product line
Prestige Antibodies® Powered by Atlas Antibodies
form
buffered aqueous glycerol solution
species reactivity
human
enhanced validation
orthogonal RNAseq
Learn more about Antibody Enhanced Validation
technique(s)
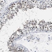
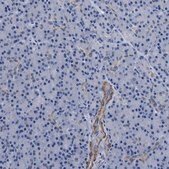
immunofluorescence: 0.25-2 μg/mL, immunohistochemistry: 1:50-1:200
immunogen sequence
WQRRCTEIVAIDALHFRRYLDQFVPEKMRRELNKAYCGFLRPGVSSENLSAVATGNWGCGAFGGDARLKALIQILAAAA
UniProt accession no.
shipped in
wet ice
storage temp.
−20°C
target post-translational modification
unmodified
Gene Information
human ... PARG(8505)
General description
PARG (Poly ADP-ribose glycohydrolase) is a catabolic enzyme with molecular mass ranging from 60-74kDa. It has four isoforms named as G1, G2, G3 and G4 with high protease sensitivity.
Immunogen
Poly recombinant protein epitope signature tag (PrEST)
Application
All Prestige Antibodies Powered by Atlas Antibodies are developed and validated by the Human Protein Atlas (HPA) project and as a result, are supported by the most extensive characterization in the industry.
The Human Protein Atlas project can be subdivided into three efforts: Human Tissue Atlas, Cancer Atlas, and Human Cell Atlas. The antibodies that have been generated in support of the Tissue and Cancer Atlas projects have been tested by immunohistochemistry against hundreds of normal and disease tissues and through the recent efforts of the Human Cell Atlas project, many have been characterized by immunofluorescence to map the human proteome not only at the tissue level but now at the subcellular level. These images and the collection of this vast data set can be viewed on the Human Protein Atlas (HPA) site by clicking on the Image Gallery link. We also provide Prestige Antibodies® protocols and other useful information.
The Human Protein Atlas project can be subdivided into three efforts: Human Tissue Atlas, Cancer Atlas, and Human Cell Atlas. The antibodies that have been generated in support of the Tissue and Cancer Atlas projects have been tested by immunohistochemistry against hundreds of normal and disease tissues and through the recent efforts of the Human Cell Atlas project, many have been characterized by immunofluorescence to map the human proteome not only at the tissue level but now at the subcellular level. These images and the collection of this vast data set can be viewed on the Human Protein Atlas (HPA) site by clicking on the Image Gallery link. We also provide Prestige Antibodies® protocols and other useful information.
Biochem/physiol Actions
PARG (Poly ADP-ribose glycohydrolase) is involved in several gene regulation processes such as maintenance of chromatin structure, transcription, DNA repair and apoptosis. It regulates retinoic acid receptor (RAR)-mediated transcription during chromatin remodeling. It catabolically separate ADP-ribose polymers synthesized by poly-(ADP-ribose) polymerases. A study shows that PARG plays a therapeutic role in various physiological conditions such as inflammation, ischemia, stroke, and cancer chemotherapy.
Features and Benefits
Prestige Antibodies® are highly characterized and extensively validated antibodies with the added benefit of all available characterization data for each target being accessible via the Human Protein Atlas portal linked just below the product name at the top of this page. The uniqueness and low cross-reactivity of the Prestige Antibodies® to other proteins are due to a thorough selection of antigen regions, affinity purification, and stringent selection. Prestige antigen controls are available for every corresponding Prestige Antibody and can be found in the linkage section.
Every Prestige Antibody is tested in the following ways:
Every Prestige Antibody is tested in the following ways:
- IHC tissue array of 44 normal human tissues and 20 of the most common cancer type tissues.
- Protein array of 364 human recombinant protein fragments.
Physical form
Solution in phosphate-buffered saline, pH 7.2, containing 40% glycerol and 0.02% sodium azide
Other Notes
Corresponding Antigen APREST75169
Legal Information
Prestige Antibodies is a registered trademark of Merck KGaA, Darmstadt, Germany
存储类别
10 - Combustible liquids
wgk
WGK 1
flash_point_f
Not applicable
flash_point_c
Not applicable
法规信息
新产品
此项目有
Wookee Min et al.
Frontiers in bioscience (Landmark edition), 14, 1619-1626 (2009-03-11)
Poly (ADP-robose) glycohydrolase (PARG) is a catabolic enzyme that cleaves ADP-ribose polymers synthesized by members of the poly (ADP-ribose) polymerase (PARP) family of enzymes. The growing evidence supports the importance of a tight control of poly (ADP-ribose) metabolism by the
M-E Bonicalzi et al.
Cellular and molecular life sciences : CMLS, 62(7-8), 739-750 (2005-05-04)
Poly(ADP-ribose) glycohydrolase (PARG) is a catabolic enzyme that cleaves ADP-ribose polymers formed by members of the PARP family of enzymes. Despite its discovery and subsequent partial purification in the 1970s and the cloning of its single gene in the late
Nicolas Le May et al.
Molecular cell, 48(5), 785-798 (2012-10-30)
Poly-(ADP-ribose) glycohydrolase (PARG) is a catabolic enzyme that cleaves ADP-ribose polymers synthesized by poly-(ADP-ribose) polymerases. Here, transcriptome profiling and differentiation assay revealed a requirement of PARG for retinoic acid receptor (RAR)-mediated transcription. Mechanistically, PARG accumulates early at promoters of RAR-responsive
全球贸易项目编号
| 货号 | GTIN |
|---|---|
| HPA021819-100UL | 04061835685493 |
| HPA021819-25UL | 04061842879359 |