跳转至内容
Merck
CN

HPA023086

Anti-SGPL1 antibody produced in rabbit

Prestige Antibodies® Powered by Atlas Antibodies, affinity isolated antibody, buffered aqueous glycerol solution, Ab2

别名:

Anti-SP-lyase, Anti-Sphingosine-1-phosphate aldolase, Anti-Sphingosine-1-phosphate lyase 1, Anti-hSPL

登录 查看组织和合同定价。

选择尺寸

变更视图

关于此项目

UNSPSC Code:
12352203
NACRES:
NA.41
Human Protein Atlas Number:
Conjugate:
unconjugated
Clone:
polyclonal
Application:
IHC
Citations:
4
技术服务
需要帮助?我们经验丰富的科学家团队随时乐意为您服务。
让我们为您提供帮助


biological source

rabbit

Quality Level

conjugate

unconjugated

antibody form

affinity isolated antibody

antibody product type

primary antibodies

clone

polyclonal

product line

Prestige Antibodies® Powered by Atlas Antibodies

form

buffered aqueous glycerol solution

species reactivity

human

availability

not available in USA

enhanced validation

independent
Learn more about Antibody Enhanced Validation

technique(s)

immunohistochemistry: 1:500- 1:1000

immunogen sequence

GEEKLTELLVKAYGDFAWSNPLHPDIFPGLRKIEAEIVRIACSLFNGGPDSCGCVTSGGTESILMACKAYRDLAFEKGIKTPEIVAPQSAHAAFNKAASYFGMKIVRVPLTKMMEVDVRAMRRAISRNTAMLVCSTPQFPHGVI

UniProt accession no.

shipped in

wet ice

storage temp.

−20°C

target post-translational modification

unmodified

Gene Information

human ... SGPL1(8879)

General description

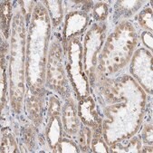
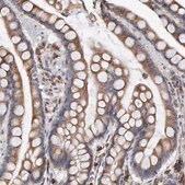
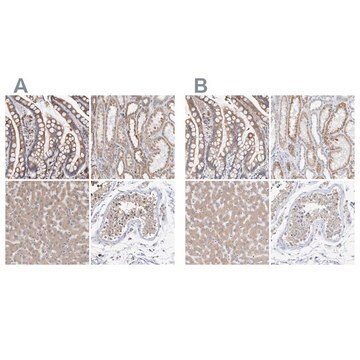
SGPL1 (sphingosine-1-phosphate lyase 1) is strongly expressed in differentiated enterocytes and is involved in catabolism of S1P (sphingosine-1-phosphate). The gene is mapped to human chromosome 10q21.

Immunogen

Sphingosine-1-phosphate lyase 1 recombinant protein epitope signature tag (PrEST)

Application

Anti-SGPL1 antibody produced in rabbit, a Prestige Antibody, is developed and validated by the Human Protein Atlas (HPA) project . Each antibody is tested by immunohistochemistry against hundreds of normal and disease tissues. These images can be viewed on the Human Protein Atlas (HPA) site by clicking on the Image Gallery link. The antibodies are also tested using immunofluorescence and western blotting. To view these protocols and other useful information about Prestige Antibodies and the HPA, visit sigma.com/prestige.
Applications in which this antibody has been used successfully, and the associated peer-reviewed papers, are given below.
Immunohistochemistry (1 paper)
Western Blotting (1 paper)

Biochem/physiol Actions

SGPL1 (sphingosine-1-phosphate lyase 1) converts S1P (sphingosine-1-phosphate) into hexadecenal and ethanolamine phosphate. It is also activated in the presence of DNA damage. Upregulation of SGPL1 enhances apoptosis.

Features and Benefits

Prestige Antibodies® are highly characterized and extensively validated antibodies with the added benefit of all available characterization data for each target being accessible via the Human Protein Atlas portal linked just below the product name at the top of this page. The uniqueness and low cross-reactivity of the Prestige Antibodies® to other proteins are due to a thorough selection of antigen regions, affinity purification, and stringent selection. Prestige antigen controls are available for every corresponding Prestige Antibody and can be found in the linkage section.

Every Prestige Antibody is tested in the following ways:
  • IHC tissue array of 44 normal human tissues and 20 of the most common cancer type tissues.
  • Protein array of 364 human recombinant protein fragments.

Physical form

Solution in phosphate-buffered saline, pH 7.2, containing 40% glycerol and 0.02% sodium azide

Other Notes

Corresponding Antigen APREST74229

Legal Information

Prestige Antibodies is a registered trademark of Merck KGaA, Darmstadt, Germany

Disclaimer

Unless otherwise stated in our catalog or other company documentation accompanying the product(s), our products are intended for research use only and are not to be used for any other purpose, which includes but is not limited to, unauthorized commercial uses, in vitro diagnostic uses, ex vivo or in vivo therapeutic uses or any type of consumption or application to humans or animals.


Still not finding the right product?

Explore all of our products under

或者

试用我们的 产品选型工具 工具缩小选择范围


存储类别

10 - Combustible liquids

wgk

WGK 1

flash_point_f

Not applicable

flash_point_c

Not applicable

法规信息

低风险生物材料
常规特殊物品

此项目有



历史批次信息供参考:

分析证书(COA)

Lot/Batch Number

没有发现合适的版本?

如果您需要特殊版本,可通过批号或批次号查找具体证书。

已有该产品?

在文件库中查找您最近购买产品的文档。

访问文档库



Mariam Gachechiladze et al.
Oncology letters, 18(2), 1259-1266 (2019-08-20)
Sphingosine 1-phosphate (S1P) is a bioactive lipid metabolite associated with cancer cell proliferation, survival, migration and regulation of tumor angiogenesis in various cellular and animal models. Sphingosine kinase-1 (SphK1) and S1P lyase are the main enzymes that respectively control the
Sandra Colié et al.
Cancer research, 69(24), 9346-9353 (2009-11-26)
Sphingosine 1-phosphate (S1P) is a bioactive sphingolipid metabolite involved in cancer development through stimulation of cell survival, proliferation, migration, and angiogenesis. Irreversible degradation of S1P is catalyzed by S1P lyase (SPL). The human SGPL1 gene that encodes SPL maps to
Johnatan Ceccom et al.
Acta neuropathologica communications, 2, 12-12 (2014-01-29)
The accumulation of beta amyloid (Aβ) peptides, a hallmark of Alzheimer's disease (AD) is related to mechanisms leading to neurodegeneration. Among its pleiotropic cellular effects, Aβ accumulation has been associated with a deregulation of sphingolipid metabolism. Sphingosine 1-phosphate (S1P) derived



全球贸易项目编号

货号GTIN
HPA023086-100UL04061837139864
HPA023086-25UL04061841697961