biological source
rabbit
Quality Level
conjugate
unconjugated
antibody form
affinity isolated antibody
antibody product type
primary antibodies
clone
polyclonal
product line
Prestige Antibodies® Powered by Atlas Antibodies
form
buffered aqueous glycerol solution
species reactivity
human
enhanced validation
independent
Learn more about Antibody Enhanced Validation
technique(s)
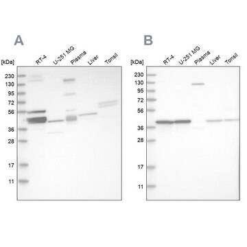
immunoblotting: 0.04-0.4 μg/mL, immunohistochemistry: 1:200-1:500
immunogen sequence
FHGATFVPRVPLHVAYAVGEDDLMPVYCGNEVTPTEAAQAPEVTYEAEEGSLWTLLLTSLDGHLLEPDAEYLHWLLTNIPGNRVAE
UniProt accession no.
shipped in
wet ice
storage temp.
−20°C
target post-translational modification
unmodified
Gene Information
human ... MRPL38(64978)
General description
MRPL38 (mitochondrial ribosomal protein L38) is a mitochondrial protein of the large ribosomal subunit. It is a structural subunit of the mitochondrial ribosome. In mouse model, MRPL38 is upregulated in precursor T-cell lymphoblastic lymphoma/leukemia. The gene is mapped to human chromosome 17q25.
Immunogen
39S ribosomal protein L38, mitochondrial Precursor recombinant protein epitope signature tag (PrEST)
Application
Anti-MRPL38 antibody produced in rabbit, a Prestige Antibody, is developed and validated by the Human Protein Atlas (HPA) project . Each antibody is tested by immunohistochemistry against hundreds of normal and disease tissues. These images can be viewed on the Human Protein Atlas (HPA) site by clicking on the Image Gallery link. The antibodies are also tested using immunofluorescence and western blotting. To view these protocols and other useful information about Prestige Antibodies and the HPA, visit sigma.com/prestige.
Features and Benefits
Prestige Antibodies® are highly characterized and extensively validated antibodies with the added benefit of all available characterization data for each target being accessible via the Human Protein Atlas portal linked just below the product name at the top of this page. The uniqueness and low cross-reactivity of the Prestige Antibodies® to other proteins are due to a thorough selection of antigen regions, affinity purification, and stringent selection. Prestige antigen controls are available for every corresponding Prestige Antibody and can be found in the linkage section.
Every Prestige Antibody is tested in the following ways:
Every Prestige Antibody is tested in the following ways:
- IHC tissue array of 44 normal human tissues and 20 of the most common cancer type tissues.
- Protein array of 364 human recombinant protein fragments.
Physical form
Solution in phosphate-buffered saline, pH 7.2, containing 40% glycerol and 0.02% sodium azide
Other Notes
Corresponding Antigen APREST75986
Legal Information
Prestige Antibodies is a registered trademark of Merck KGaA, Darmstadt, Germany
存储类别
10 - Combustible liquids
wgk
WGK 1
flash_point_f
Not applicable
flash_point_c
Not applicable
法规信息
新产品
此项目有
Y-W Lin et al.
Leukemia, 21(6), 1276-1284 (2007-04-13)
We compared the gene expression pattern of thymic tumors from precursor T-cell lymphoblastic lymphoma/leukemia (pre-T LBL) that arose in transgenic mice that overexpressed SCL, LMO1 or NUP98-HOXD13 (NHD13) with that of thymocytes from normal littermates. Only two genes, Ccl8 and
Cornelia Luban et al.
Gene, 354, 72-79 (2005-05-24)
Studies of yeast, algae and plants have provided genetic and biochemical evidence that the splicing reaction of organellar localized group II introns either depends on proteins encoded by the introns themselves ('maturases') or encoded by other genes of the host
Rosita Accardi et al.
Yeast (Chichester, England), 21(7), 539-548 (2004-05-28)
Members of the YERO57c/YJGFc/UK114 protein family have been identified in bacteria and eukaryotes. The budding yeast Saccharomyces cerevisiae contains two different proteins of this family, Hmf1p and Mmf1p. We have previously shown that Mmf1p is a mitochondrial protein functionally related
全球贸易项目编号
| 货号 | GTIN |
|---|---|
| HPA023135-25UL | 04061842883332 |
| HPA023135-100UL | 04061835686346 |