跳转至内容
Merck
CN

HPA024223

Anti-MYO10 antibody produced in rabbit

Prestige Antibodies® Powered by Atlas Antibodies, affinity isolated antibody, buffered aqueous glycerol solution

别名:

Anti-Myosin-X, Anti-Unconventional myosin-10

登录 查看组织和合同定价。

选择尺寸

变更视图

关于此项目

UNSPSC Code:
12352203
NACRES:
NA.41
Human Protein Atlas Number:
Conjugate:
unconjugated
Clone:
polyclonal
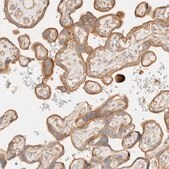
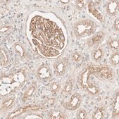
Application:
IF, IHC
Citations:
29
技术服务
需要帮助?我们经验丰富的科学家团队随时乐意为您服务。
让我们为您提供帮助


biological source

rabbit

Quality Level

conjugate

unconjugated

antibody form

affinity isolated antibody

antibody product type

primary antibodies

clone

polyclonal

product line

Prestige Antibodies® Powered by Atlas Antibodies

form

buffered aqueous glycerol solution

species reactivity

mouse, human

technique(s)

immunofluorescence: 0.25-2 μg/mL, immunohistochemistry: 1:500-1:1000

immunogen sequence

QRMKEQQELSLTEASLQKLQERRDQELRRLEEEACRAAQEFLESLNFDEIDECVRNIERSLSVGSEFSSELAESACEEKPNFNFSQPYPEEEVDEGFEADDDAFKDSPNPSEHGHSDQRTSGIRTSDDSSEEDPYMNDTVVPTSPSA

UniProt accession no.

shipped in

wet ice

storage temp.

−20°C

target post-translational modification

unmodified

Gene Information

human ... MYO10(4651)

General description

The gene MYO10 (unconventional myosin-10) is mapped to human chromosome 5p15.1. It belongs to the MyTH4-FERM (myosin tail homology 4-band 4.1, ezrin, radixin, moesin, or MF) family of myosins. The protein has a myosin motor domain, a neck consisting of three IQ motifs and a tail region with three pleckstrin homology domains.

Immunogen

Myosin-X recombinant protein epitope signature tag (PrEST)

Application

All Prestige Antibodies®Powered by Atlas Antibodies is developed and validated by the Human Protein Atlas (HPA) project . Each antibody is tested by immunohistochemistry against hundreds of normal and disease tissues. These images can be viewed on the Human Protein Atlas (HPA) site by clicking on the Image Gallery link. We also provide Prestige Antibodies® protocols and other useful information.
Anti-MYO10 antibody produced in rabbit has ben used in western blotting and immunofluorescence.

Biochem/physiol Actions

MYO10 (unconventional myosin-10) is a microtubule-binding myosin. It is essential for centrosome positioning. It is a target gene for microRNA miR-340. In breast cancer, miR-340 inhibits invasion by silencing MYO10, which is responsible for aggressiveness and metastasis in breast cancer. The MYO10 gene is also a direct target of miR-124. Silencing of this gene suppresses cell invasion and metastasis in node-positive non-small cell lung cancer. MYO10 also plays a significant role in wound healing, invadopodia formation and angiogenesis.

Features and Benefits

Prestige Antibodies® are highly characterized and extensively validated antibodies with the added benefit of all available characterization data for each target being accessible via the Human Protein Atlas portal linked just below the product name at the top of this page. The uniqueness and low cross-reactivity of the Prestige Antibodies® to other proteins are due to a thorough selection of antigen regions, affinity purification, and stringent selection. Prestige antigen controls are available for every corresponding Prestige Antibody and can be found in the linkage section.

Every Prestige Antibody is tested in the following ways:
  • IHC tissue array of 44 normal human tissues and 20 of the most common cancer type tissues.
  • Protein array of 364 human recombinant protein fragments.

Physical form

Solution in phosphate-buffered saline, pH 7.2, containing 40% glycerol and 0.02% sodium azide

Other Notes

Corresponding Antigen APREST85234

Legal Information

Prestige Antibodies is a registered trademark of Merck KGaA, Darmstadt, Germany

Disclaimer

Unless otherwise stated in our catalog or other company documentation accompanying the product(s), our products are intended for research use only and are not to be used for any other purpose, which includes but is not limited to, unauthorized commercial uses, in vitro diagnostic uses, ex vivo or in vivo therapeutic uses or any type of consumption or application to humans or animals.


Still not finding the right product?

试用我们的 产品选型工具 工具缩小选择范围


存储类别

10 - Combustible liquids

wgk

WGK 1

flash_point_f

Not applicable

flash_point_c

Not applicable

法规信息

常规特殊物品
低风险生物材料

此项目有



历史批次信息供参考:

分析证书(COA)

Lot/Batch Number

没有发现合适的版本?

如果您需要特殊版本,可通过批号或批次号查找具体证书。

已有该产品?

在文件库中查找您最近购买产品的文档。

访问文档库



Xiqian Wang et al.
Biomedicine & pharmacotherapy = Biomedecine & pharmacotherapie, 103, 1312-1318 (2018-06-06)
Although the treatment strategies for neuroblastoma (NB) develop rapidly, a considerable number of patients could not benefit from chemotherapy. Here, we revealed a miR-129-MYO10 axis that regulated neuroblastoma growth and chemosensitivity. Mechanistically, MYO10 was up-regulated in neuroblastoma tissues and associated
Myosin-X and disease.
Courson DS and Cheney RE
Experimental Cell Research, 334, 10-15 (2015)
MiR-340 suppresses cell migration and invasion by targeting MYO10 in breast cancer.
Chen CP, et al.
Oncology Reports, 35, 709-716 (2016)



全球贸易项目编号

货号GTIN
HPA024223-100UL04061837127069
HPA024223-25UL04061842844395