跳转至内容
Merck
CN

HPA038846

抗HSPA5 兔抗

Prestige Antibodies® Powered by Atlas Antibodies, affinity isolated antibody, buffered aqueous glycerol solution

别名:

抗 热休克70kDa蛋白 5 (葡萄糖调节蛋白,78kDa), 抗BiP, 抗GRP78

登录 查看组织和合同定价。

选择尺寸

变更视图

关于此项目

UNSPSC Code:
12352203
NACRES:
NA.43
Human Protein Atlas Number:
Conjugate:
unconjugated
Clone:
polyclonal
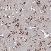
Application:
IHC
Citations:
11
技术服务
需要帮助?我们经验丰富的科学家团队随时乐意为您服务。
让我们为您提供帮助


biological source

rabbit

Quality Level

conjugate

unconjugated

antibody form

affinity isolated antibody

antibody product type

primary antibodies

clone

polyclonal

product line

Prestige Antibodies® Powered by Atlas Antibodies

form

buffered aqueous glycerol solution

species reactivity

human, mouse, rat

enhanced validation

independent
Learn more about Antibody Enhanced Validation

technique(s)

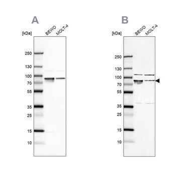
immunoblotting: 0.04-0.4 μg/mL, immunohistochemistry: 1:500-1:1000

immunogen sequence

GEDFDQRVMEHFIKLYKKKTGKDVRKDNRAVQKLRREVEKAKRALSSQHQARIEIESFYEGEDFSETLTRAK

UniProt accession no.

shipped in

wet ice

storage temp.

−20°C

target post-translational modification

unmodified

Gene Information

human ... HSPA5(3309)

General description

热休克蛋白家族 A(Hsp70)成员 5(HSPA5),也称为葡萄糖/调节蛋白 78(GRP78),是一种应激相关蛋白,由定位于人类染色体 9q33.3 长臂的基因编码。编码的蛋白质属于热休克蛋白 70 家族,主要在内质网(ER)中表达。HSPA5 是一种 654 个氨基酸的蛋白质,其特征在于具有 ATP 酶活性的 N 端核苷酸结合域、底物结合域和可变 C 端尾。

Immunogen

热休克70kDa蛋白5(葡萄糖调节蛋白,78kDa)重组蛋白质表位标签(PrEST)

Application

由Atlas Antibodies提供技术支持的所有Prestige Antibodies抗体均由人类蛋白质图集(HPA)项目开发和验证,因此受到业内最广泛的表征支持。 人类蛋白质图集项目可以分为三大部分: 人体组织图谱、癌症图谱和人类细胞图谱。在组织和癌症图谱项目支持下产生的抗体已通过对数百种正常和疾病组织的免疫组织化学分析得到了验证,并且通过近期人类细胞图谱项目的努力,许多抗体已经过免疫荧光分析的表征,从而绘制人类蛋白质组图谱,不仅是在组织水平上,现在已经达到亚细胞水平。在人类蛋白质图集项目网站上单击图像库链接,可以查看这些图像和庞大的数据集。我们还提供Prestige Antibodies® 抗体的实验方案和其他有用信息。

Biochem/physiol Actions

热休克蛋白家族 A(Hsp70)成员 5(HSPA5)促进胚胎细胞生长和多能细胞存活。此外,它还促进各种细胞过程,例如蛋白质转入内质网(ER)、新生多肽的易位、蛋白质从头折叠和组装以及 ER 相关降解(ERAD)。它还参与钙稳态的调节。HSPA5 与应激相关疾病有关。该基因还促进各种重要人类疾病的进程,包括癌症、病毒感染和神经退行性疾病。该基因的多态性可能作为确定神经母细胞瘤(NB)的风险和不良预后的生物标志物。

Features and Benefits

Prestige Antibodies®是经过高度表征和广泛验证的抗体,同时还有一个优点是其每个靶标的所有可用表征数据都可以通过位于此页面顶部产品名称下方的人类蛋白质图谱门户进行访问。Prestige Antibodies®对其他蛋白质的独特性和低交叉反应性是通过严密的抗原区域选择、亲和纯化和严格的选择来实现的。每种Prestige 抗体都有相应的Prestige 抗原对照品,可在链接部分找到。

每种Prestige 抗体的检测方法如下:
  • 44种正常人体组织和20种最常见癌症组织的IHC组织阵列。
  • 364个人重组蛋白片段的蛋白阵列。

Physical form

磷酸盐缓冲盐水溶液,pH 7.2,含有 40%甘油和0.02%叠氮化钠

Other Notes

对应抗原APREST81776

Legal Information

Prestige Antibodies is a registered trademark of Merck KGaA, Darmstadt, Germany

Disclaimer

除非我们的产品目录或产品附带的其他公司文档另有说明,否则我们的产品仅供研究使用,不得用于任何其他目的,包括但不限于未经授权的商业用途、体外诊断用途、离体或体内治疗用途或任何类型的消费或应用于人类或动物。


Still not finding the right product?

Explore all of our products under 抗HSPA5 兔抗

或者

试用我们的 产品选型工具 工具缩小选择范围


存储类别

10 - Combustible liquids

wgk

WGK 1

flash_point_f

Not applicable

flash_point_c

Not applicable

法规信息

低风险生物材料
常规特殊物品

此项目有



历史批次信息供参考:

分析证书(COA)

Lot/Batch Number

没有发现合适的版本?

如果您需要特殊版本,可通过批号或批次号查找具体证书。

已有该产品?

在文件库中查找您最近购买产品的文档。

访问文档库



Polymorphisms of glucose-regulated protein 78 and clinical relevance of neuroblastoma: Risk and prognosis.
Zhang J
Journal of Cancer Research and Therapeutics, 12, 1178-1183 (2016)
Genetic polymorphisms and haplotype structures of HSPA5 gene in the Han population of Southern China.
Zhu X
Tissue Antigens, 74, 420-423 (2009)
High Level Soluble Expression and ATPase Characterization of Human Heat Shock Protein GRP78.
Wu S
Biochemistry. Biokhimiia, 82, 186-191 (2017)



全球贸易项目编号

货号GTIN
HPA038846-100UL04061837129872