跳转至内容
Merck
CN

HPA041309

Anti-BICD1 antibody produced in rabbit

Prestige Antibodies® Powered by Atlas Antibodies, affinity isolated antibody, buffered aqueous glycerol solution

别名:

Anti-Bicaudal d homolog 1 (Drosophila)

登录 查看组织和合同定价。

选择尺寸

变更视图

关于此项目

UNSPSC Code:
12352203
NACRES:
NA.41
Human Protein Atlas Number:
Conjugate:
unconjugated
Clone:
polyclonal
Application:
IHC
Citations:
8
技术服务
需要帮助?我们经验丰富的科学家团队随时乐意为您服务。
让我们为您提供帮助


biological source

rabbit

Quality Level

conjugate

unconjugated

antibody form

affinity isolated antibody

antibody product type

primary antibodies

clone

polyclonal

product line

Prestige Antibodies® Powered by Atlas Antibodies

form

buffered aqueous glycerol solution

species reactivity

human

technique(s)

immunoblotting: 0.04-0.4 μg/mL, immunohistochemistry: 1:50-1:200

immunogen sequence

YRQSRVTRSGSLKGPDDPRGLLSPRLARRGVSSPVETRTSSEPVAKESTEASKEPSPTKTPTISPVITAPPSSPVLDTSDIRKE

UniProt accession no.

shipped in

wet ice

storage temp.

−20°C

target post-translational modification

unmodified

Gene Information

human ... BICD1(636)

General description

The gene BICD1 (BICD cargo adaptor 1) is mapped to human chromosome 12p11. It is a coiled-coil protein.
BICD1 protein interacts with:

Immunogen

bicaudal D homolog 1 (Drosophila) recombinant protein epitope signature tag (PrEST)

Application

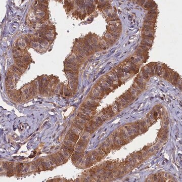
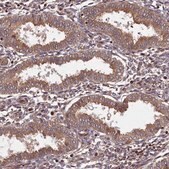
All Prestige Antibodies®Powered by Atlas Antibodies is developed and validated by the Human Protein Atlas (HPA) project . Each antibody is tested by immunohistochemistry against hundreds of normal and disease tissues. These images can be viewed on the Human Protein Atlas (HPA) site by clicking on the Image Gallery link. We also provide Prestige Antibodies® protocols and other useful information.
Anti-BICD1 antibody produced in rabbit has been used in western blotting and immunofluorescence.

Biochem/physiol Actions

BICD1 (BICD cargo adaptor 1) is needed for transport of mRNA transcripts and retrograde trafficking of vesicles from the Golgi to the endoplasmic reticulum. It interacts with Rab6B (Ras-related protein) to control retrograde transport of cargo in neuronal cells. It plays an important role in dynein function by forming a complex with dynein–dynactin. Dynein is needed for mitosis, nuclear migration, mRNA movements and axonal and dendritic vesicles transport. BICD1 also controls PAR1 (protease-activated receptor 1)-G protein signaling and endocytosis. PAR1 is a G protein-associated receptor which has important roles in cancer, angiogenesis, inflammation and thrombosis. BICD1 polymorphism rs2630778 is associated with telomere shortening. In addition, it is one of the susceptibility gene for emphysema.

Features and Benefits

Prestige Antibodies® are highly characterized and extensively validated antibodies with the added benefit of all available characterization data for each target being accessible via the Human Protein Atlas portal linked just below the product name at the top of this page. The uniqueness and low cross-reactivity of the Prestige Antibodies® to other proteins are due to a thorough selection of antigen regions, affinity purification, and stringent selection. Prestige antigen controls are available for every corresponding Prestige Antibody and can be found in the linkage section.

Every Prestige Antibody is tested in the following ways:
  • IHC tissue array of 44 normal human tissues and 20 of the most common cancer type tissues.
  • Protein array of 364 human recombinant protein fragments.

Physical form

Solution in phosphate buffered saline, pH 7.2, containing 40% glycerol and 0.02% sodium azide.

Other Notes

Corresponding Antigen APREST81102

Legal Information

Prestige Antibodies is a registered trademark of Merck KGaA, Darmstadt, Germany

Disclaimer

Unless otherwise stated in our catalog or other company documentation accompanying the product(s), our products are intended for research use only and are not to be used for any other purpose, which includes but is not limited to, unauthorized commercial uses, in vitro diagnostic uses, ex vivo or in vivo therapeutic uses or any type of consumption or application to humans or animals.


Still not finding the right product?

Explore all of our products under

或者

试用我们的 产品选型工具 工具缩小选择范围


wgk

WGK 1

存储类别

10 - Combustible liquids

法规信息

新产品

此项目有



历史批次信息供参考:

分析证书(COA)

Lot/Batch Number

没有发现合适的版本?

如果您需要特殊版本,可通过批号或批次号查找具体证书。

已有该产品?

在文件库中查找您最近购买产品的文档。

访问文档库



Genetics of COPD.
Nakamura H, et al.
Allergology International, 60.3, 253-258 (2011)
A novel protease-activated receptor-1 interactor, Bicaudal D1, regulates G protein signaling and internalization.
Swift S, et al.
The Journal of Biological Chemistry, 285, 11402-11410 (2010)
hTERT, BICD1 and chromosome 18 polymorphisms associated with telomere length affect kidney allograft function after transplantation.
Kloda K, et al.
Kidney & Blood Pressure Research, 40, 111-120 (2015)



全球贸易项目编号

货号GTIN
HPA041309-100UL04061836349042
HPA041309-25UL04061841248415