跳转至内容
Merck
CN

SAB2104153

Anti-ZFR antibody produced in rabbit

affinity isolated antibody

别名:

Anti-FLJ41312

登录 查看组织和合同定价。

选择尺寸

变更视图

关于此项目

NACRES:
NA.41
UNSPSC Code:
12352203
Conjugate:
unconjugated
Clone:
polyclonal
Application:
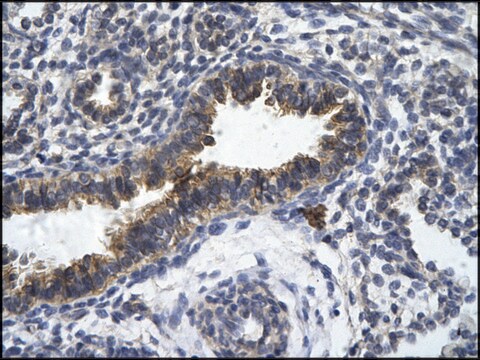
IHC, WB
Citations:
10
技术服务
需要帮助?我们经验丰富的科学家团队随时乐意为您服务。
让我们为您提供帮助


Quality Level

biological source

rabbit

conjugate

unconjugated

antibody form

affinity isolated antibody

antibody product type

primary antibodies

clone

polyclonal

form

buffered aqueous solution

mol wt

117 kDa

species reactivity

bovine, rat, mouse, horse, human, rabbit, dog

concentration

0.5 mg - 1 mg/mL

technique(s)

immunohistochemistry: suitable, western blot: suitable

NCBI accession no.

UniProt accession no.

shipped in

wet ice

storage temp.

−20°C

target post-translational modification

unmodified

Gene Information

human ... ZFR(51663)

General description

Zinc finger RNA binding protein (ZFR) is a highly conserved protein and is homologous to mouse ZFR. It is essential in the early developmental stages. ZFR has three N-terminal C2H2 zinc finger motifs and a C-terminal DZF (domain associated with zinc fingers) domain. ZFR is highly expressed in brain, whereas skeletal muscles is devoid of ZFR expression. In human chromosome, the gene ZFR is localized on 5p13.3.

Immunogen

Synthetic peptide directed towards the middle region of human ZFR

Application

Anti-ZFR antibody produced in rabbit has been used in western blot analysis.

Biochem/physiol Actions

Zinc finger RNA binding protein (ZFR) binds to RNA and DNA and promotes DNA repair and chromosome organisation. ZFR regulates alternative pre-mRNA splicing and suppress interferon 1 expression in tissues. ZFR is a key factor in regulating transcription in macrophages. ZFR is critical for Staufen 2 isoform specific nucleocytoplasmic shuttling in neurons. ZFR is a potent marker and therapeutic target in cancer. ZFR is highly expressed in pancreatic cancer and knockdown of which suppressed the tumor cell growth and proliferation. ZFR is overexpressed in non-small-cell lung carcinoma (NSCLC) and causes cell growth and metastasis.

Physical form

Purified antibody supplied in 1x PBS buffer with 0.09% (w/v) sodium azide and 2% sucrose.

Other Notes

Synthetic peptide located within the following region: RQIHKVLGMDPLPQMSQRFNIHNNRKRRRDSDGVDGFEAEGKKDKKDYDN

Disclaimer

Unless otherwise stated in our catalog or other company documentation accompanying the product(s), our products are intended for research use only and are not to be used for any other purpose, which includes but is not limited to, unauthorized commercial uses, in vitro diagnostic uses, ex vivo or in vivo therapeutic uses or any type of consumption or application to humans or animals.


Still not finding the right product?

Explore all of our products under

或者

试用我们的 产品选型工具 工具缩小选择范围


存储类别

10 - Combustible liquids

wgk

WGK 3

flash_point_f

Not applicable

flash_point_c

Not applicable

法规信息

新产品

此项目有



历史批次信息供参考:

分析证书(COA)

Lot/Batch Number

没有发现合适的版本?

如果您需要特殊版本,可通过批号或批次号查找具体证书。

已有该产品?

在文件库中查找您最近购买产品的文档。

访问文档库



Identification of a locus for autosomal dominant high myopia on chromosome 5p13. 3-p15. 1 in a Chinese family
Ma JH, et al.
Molecular Vision, 16(1), 2043-2043 (2010)
Xiaolan Zhao et al.
Biological research, 49(1), 26-26 (2016-05-15)
Zinc finger RNA binding protein (ZFR) is involved in the regulation of growth and cancer development. However, little is known about ZFR function in pancreatic cancer. Herein, to investigate whether ZFR is involved in tumor growth, Oncomine microarray data was
DHX9 suppresses RNA processing defects originating from the Alu invasion of the human genome
Aktas T, et al.
Nature, 544(7648), 115-115 (2017)



全球贸易项目编号

货号GTIN
SAB2104153-100UL04061836176266