跳转至内容
Merck
CN

SAB3500199

Anti-Clusterin antibody produced in rabbit

affinity isolated antibody, buffered aqueous solution

别名:

Anti-ApoJ, Anti-Apolipoprotein J, Anti-CLI, Anti-Complement lysis inhibitor

登录 查看组织和合同定价。

选择尺寸

变更视图

关于此项目

UNSPSC Code:
12352203
NACRES:
NA.41
MDL number:
Conjugate:
unconjugated
Clone:
polyclonal
Application:
ELISA (i), IF, IHC, WB
Citations:
5
技术服务
需要帮助?我们经验丰富的科学家团队随时乐意为您服务。
让我们为您提供帮助


biological source

rabbit

Quality Level

conjugate

unconjugated

antibody form

affinity isolated antibody

antibody product type

primary antibodies

clone

polyclonal

form

buffered aqueous solution

species reactivity

human, mouse

technique(s)

immunofluorescence: suitable, immunohistochemistry: suitable, indirect ELISA: suitable, western blot: suitable

NCBI accession no.

UniProt accession no.

shipped in

dry ice

storage temp.

−20°C

target post-translational modification

unmodified

Gene Information

human ... CLU(1191)

General description

The Clusterin (CLU) gene is mapped to human chromosome 8p21.1. The encoded protein is a chaperone and is conserved along with evolution. It is present in human tissues and fluids.

Immunogen

Clusterin antibody was raised recombinant human Clusterin isoform 1.

Application

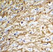
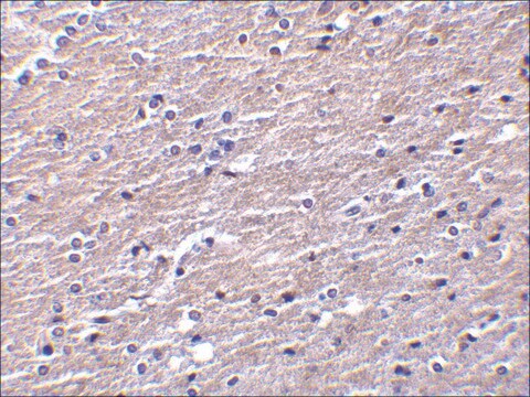
Anti-Clusterin antibody produced in rabbit has been used in immunohistochemical (IHC) staining (1:1,000 & 1:100).

Biochem/physiol Actions

Clusterin (CLU) is a multifunctional plasma protein and a fluid-phase complement inhibitor. It mediates the complement terminal pathway. Clusterin is an ATP-independent small heat shock protein-like chaperone. It functions as a redox sensor and a lipid transporter. Clusterin is associated with many age-related diseases such as neurodegeneration and metabolic syndrome. It is involved in cancer progression, promotion, metastasis, and chemoresistance. Increased serum CLU levels are observed in type 2 diabetes (T2D). It is known to suppress proteotoxicity. Clusterin might show anti or proapoptotic activities. This protein is associated with different functions of the brain. A single nucleotide polymorphism (SNP) in the CLU gene might cause the development of late-onset Alzheimer′s disease (LOAD).

Features and Benefits

Evaluate our antibodies with complete peace of mind. If the antibody does not perform in your application, we will issue a full credit or replacement antibody. Learn more.

Physical form

Supplied in PBS with 0.02% sodium azide.

Disclaimer

Unless otherwise stated in our catalog or other company documentation accompanying the product(s), our products are intended for research use only and are not to be used for any other purpose, which includes but is not limited to, unauthorized commercial uses, in vitro diagnostic uses, ex vivo or in vivo therapeutic uses or any type of consumption or application to humans or animals.


Still not finding the right product?

试用我们的 产品选型工具 工具缩小选择范围


存储类别

10 - Combustible liquids

wgk

WGK 2

flash_point_f

Not applicable

flash_point_c

Not applicable

法规信息

低风险生物材料
常规特殊物品

此项目有



历史批次信息供参考:

分析证书(COA)

Lot/Batch Number

没有发现合适的版本?

如果您需要特殊版本,可通过批号或批次号查找具体证书。

已有该产品?

在文件库中查找您最近购买产品的文档。

访问文档库



Prakash Priyadarshi Praharaj et al.
Biochimica et biophysica acta. Reviews on cancer, 1875(2), 188500-188500 (2021-01-02)
Clusterin (CLU) is an evolutionary conserved molecular chaperone present in different human tissues and fluids and established to be a significant cancer regulator. It controls several cancer-associated cellular events, including cancer cell proliferation, stemness, survival, metastasis, epithelial-mesenchymal transition, therapy resistance
Katina M Athanas et al.
Schizophrenia research, 169(1-3), 381-385 (2015-10-21)
The expression of the gene that encodes clusterin, a glycoprotein that has been implicated in the regulation of many cellular processes, has previously been found in gene expression profiling studies to be among the most significantly differentially expressed genes in
Martina Zandl-Lang et al.
Biochimica et biophysica acta, 1863(1), 40-60 (2017-09-25)
Amyloid-β peptides (Aβ) accumulate in cerebral capillaries indicating a central role of the blood-brain barrier (BBB) in the pathogenesis of Alzheimer's disease (AD). Although a relationship between apolipoprotein-, cholesterol- and Aβ metabolism is evident, the interconnecting mechanisms operating in brain



全球贸易项目编号

货号GTIN
SAB3500199-100UG04061832179353