跳转至内容
Merck
CN

SAB3501225

Anti-RIG-1 antibody produced in rabbit

purified antibody (DEAE)

登录 查看组织和合同定价。

选择尺寸

变更视图

关于此项目

NACRES:
NA.41
UNSPSC Code:
12352203
Conjugate:
unconjugated
Clone:
polyclonal
Application:
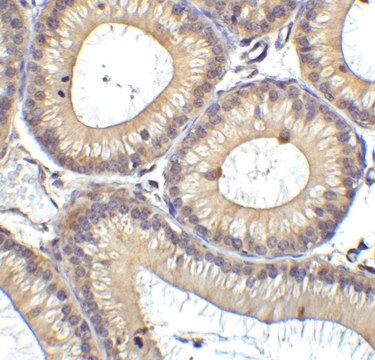
IHC, WB
Citations:
-
技术服务
需要帮助?我们经验丰富的科学家团队随时乐意为您服务。
让我们为您提供帮助


biological source

rabbit

Quality Level

conjugate

unconjugated

antibody form

purified antibody (DEAE)

antibody product type

primary antibodies

clone

polyclonal

form

liquid

species reactivity

rat, mouse, human

concentration

1 mg/mL

technique(s)

immunohistochemistry: suitable, western blot: suitable

isotype

IgG

UniProt accession no.

shipped in

wet ice

storage temp.

−20°C

target post-translational modification

unmodified

Gene Information

human ... DDX58(23586)

General description

RIG-1 Antibody: The innate immune system detects viral infection by recognizing various viral components and triggers antiviral responses. Like the toll-like receptor 3 (TLR3), the cytoplasmic helicase retinoic acid inducible gene protein 1 (RIG-1) recognizes double-stranded (ds) RNA, a molecular pattern associated with viral infection. Unlike TLR3 however, RIG-1 activates the kinases TBK1 and IKKε through the adaptor protein IPS-1. These kinases then phosphorylate the transcription factors IRF-3 and IRF-7 which are essential for the expression of type-I interferons. RIG-1 is required for the production of interferons in response to RNA viruses including paramyxoviruses, influenza virus, and Japanese encephalitis virus.

Immunogen

RIG-1 antibody was raised against human GST-tagged RIG-1 protein.

Application

RIG-1 antibody can be used for the detection of RIG-1 by Western blot at 0.5 - 2 μg/mL. Antibody can also be used for immunohistochemistry starting at 5 μg/mL. Antibody validated: Western Blot in mouse samples and Immunohistochemistry in human and rat samples. All other applications and species not yet tested.

Physical form

Supplied in PBS containing 0.02% sodium azide.


Still not finding the right product?

Explore all of our products under

或者

试用我们的 产品选型工具 工具缩小选择范围


存储类别

12 - Non Combustible Liquids

wgk

nwg

flash_point_f

Not applicable

flash_point_c

Not applicable

法规信息

低风险生物材料
常规特殊物品

此项目有



历史批次信息供参考:

分析证书(COA)

Lot/Batch Number

没有发现合适的版本?

如果您需要特殊版本,可通过批号或批次号查找具体证书。

已有该产品?

在文件库中查找您最近购买产品的文档。

访问文档库



全球贸易项目编号

货号GTIN
SAB3501225-100UG04065267510262