跳转至内容
Merck
CN

SAB4200704

Anti-EpCAM antibody, Mouse monoclonal

clone Ber-EP4, purified from hybridoma cell culture

别名:

Anti-CD326 antigen, Anti-EGP, Anti-Epithelial cell surface antigen, Anti-Epithelial glycoprotein, Anti-KS 1/4 antigen, Anti-KSA, Anti-Major gastrointestinal tumor-associated protein GA733-2, Anti-Tumor-associated calcium signal transducer 1

登录 查看组织和合同定价。

选择尺寸

变更视图

关于此项目

NACRES:
NA.41
UNSPSC Code:
12352203
Conjugate:
unconjugated
Clone:
Ber-EP4, monoclonal
Application:
IF, IHC, IP
Citations:
14
技术服务
需要帮助?我们经验丰富的科学家团队随时乐意为您服务。
让我们为您提供帮助


biological source

mouse

Quality Level

conjugate

unconjugated

antibody form

purified immunoglobulin

antibody product type

primary antibodies

clone

Ber-EP4, monoclonal

form

buffered aqueous solution

species reactivity

human

concentration

~1 mg/mL

technique(s)

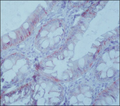
immunofluorescence: 1-2 μg/mL using human breast adenocarcinoma MCF-7 cell line., immunohistochemistry: 5-10 μg/mL using heat-retrieved formalin-fixed, paraffin-embedded human colon carcinoma sections., immunoprecipitation (IP): suitable

isotype

IgG1

UniProt accession no.

shipped in

dry ice

storage temp.

−20°C

target post-translational modification

unmodified

Gene Information

human ... EPCAM(4072)

General description

The epithelial cell adhesion molecule (EpCAM) is mapped to human chromosome 2p21 and has nine exons. EpCAM is a 40 kDa transmembrane glycoprotein present on cell surface. It has an intracellular domain called the EpICD, comprising of 26-amino acids. The extracellular domain (EpEX) has an epidermal growth factor (EGF) and a thyroglobulin repeat-like domain.

Immunogen

human breast carcinoma cell line MCF-7

Biochem/physiol Actions

The epithelial cell adhesion molecule (EpCAM) is highly expressed in carcinomas. It regulates cell signalling, proliferation, migration and adhesion. Proteolytic cleavage of EpICD domain is crucial for tumor progression. EpCAM is highly expressed in breast cancer and is considered as a potential target for gene therapy. Deletions in the 3′ region of the EpCAM gene is associated with colorectal cancer based lynch syndrome. Single nucleotide polymorphism in EpCAM gene is associated with infant diarrheal disorder, congenital tufting enteropathy(CTE).

Physical form

Solution in 0.01 M phosphate buffered saline pH 7.4, containing 15 mM sodium azide.

Disclaimer

Unless otherwise stated in our catalog or other company documentation accompanying the product(s), our products are intended for research use only and are not to be used for any other purpose, which includes but is not limited to, unauthorized commercial uses, in vitro diagnostic uses, ex vivo or in vivo therapeutic uses or any type of consumption or application to humans or animals.


Still not finding the right product?

Explore all of our products under

或者

试用我们的 产品选型工具 工具缩小选择范围


存储类别

10 - Combustible liquids

wgk

WGK 2

flash_point_f

Not applicable

flash_point_c

Not applicable

法规信息

常规特殊物品
低风险生物材料

此项目有



历史批次信息供参考:

分析证书(COA)

Lot/Batch Number

没有发现合适的版本?

如果您需要特殊版本,可通过批号或批次号查找具体证书。

已有该产品?

在文件库中查找您最近购买产品的文档。

访问文档库



EpCAM: structure and function in health and disease
Schnell U, et al.
Biochimica et Biophysica Acta - Biomembranes, 1828(8), 1989-2001 (2013)
EpCAM in carcinogenesis: the good, the bad or the ugly
van der Gun BT, et al.
Carcinogenesis, 31(11), 1913-1921 (2010)
Heritable somatic methylation and inactivation of MSH2 in families with Lynch syndrome due to deletion of the 3? exons of TACSTD1
Ligtenberg MJL, et al.
Nature Genetics, 41(1), 112-112 (2009)



全球贸易项目编号

货号GTIN
SAB4200704-100UL04061837875724