biological source
rabbit
Quality Level
conjugate
unconjugated
antibody form
affinity isolated antibody
antibody product type
primary antibodies
clone
polyclonal
form
buffered aqueous solution
mol wt
antigen 50 kDa
species reactivity
mouse, human
concentration
~1 mg/mL
technique(s)
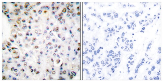
ELISA: 1:10000, immunofluorescence: 1:100-1:500, immunohistochemistry: 1:50-1:100, western blot: 1:500-1:1000
NCBI accession no.
UniProt accession no.
shipped in
wet ice
storage temp.
−20°C
target post-translational modification
unmodified
Gene Information
human ... RXRG(6258)
General description
Anti-Retinoid X Receptor γ Antibody detects endogenous levels of total Retinoid X Receptor γ protein.
Immunogen
The antiserum was produced against synthesized peptide derived from human Retinoid X Receptor gamma.
Immunogen Range: 171-220
Immunogen Range: 171-220
Features and Benefits
Evaluate our antibodies with complete peace of mind. If the antibody does not perform in your application, we will issue a full credit or replacement antibody. Learn more.
Physical form
Rabbit IgG in phosphate buffered saline (without Mg2+ and Ca2+), pH 7.4, 150mM NaCl, 0.02% sodium azide and 50% glycerol.
Disclaimer
Unless otherwise stated in our catalog or other company documentation accompanying the product(s), our products are intended for research use only and are not to be used for any other purpose, which includes but is not limited to, unauthorized commercial uses, in vitro diagnostic uses, ex vivo or in vivo therapeutic uses or any type of consumption or application to humans or animals.
Still not finding the right product?
试用我们的 产品选型工具 工具缩小选择范围
存储类别
10 - Combustible liquids
wgk
nwg
flash_point_f
Not applicable
flash_point_c
Not applicable
法规信息
常规特殊物品
低风险生物材料
此项目有
全球贸易项目编号
| 货号 | GTIN |
|---|---|
| SAB4502706-100UG | 04061837190841 |