biological source
rabbit
Quality Level
conjugate
unconjugated
antibody form
affinity isolated antibody
antibody product type
primary antibodies
clone
polyclonal
form
buffered aqueous solution
mol wt
antigen 53 kDa
species reactivity
human
concentration
~1 mg/mL
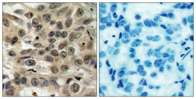
technique(s)
ELISA: 1:40000, immunohistochemistry: 1:50-1:100, western blot: 1:500-1:1000
NCBI accession no.
UniProt accession no.
shipped in
wet ice
storage temp.
−20°C
target post-translational modification
unmodified
Gene Information
human ... CDC25C(995)
General description
Anti-CDC25C Antibody detects endogenous levels of total CDC25C protein.
Immunogen
The antiserum was produced against synthesized peptide derived from human CDC25C.
Immunogen Range: 183-232
Immunogen Range: 183-232
Features and Benefits
Evaluate our antibodies with complete peace of mind. If the antibody does not perform in your application, we will issue a full credit or replacement antibody. Learn more.
Physical form
Rabbit IgG in phosphate buffered saline (without Mg2+ and Ca2+), pH 7.4, 150mM NaCl, 0.02% sodium azide and 50% glycerol.
存储类别
10 - Combustible liquids
wgk
nwg
flash_point_f
Not applicable
flash_point_c
Not applicable
法规信息
常规特殊物品
此项目有
全球贸易项目编号
| 货号 | GTIN |
|---|---|
| SAB4503746-100UG | 04061835729029 |